产品: Hexokinase 1 抗体
货号: DF6199
描述: Rabbit polyclonal antibody to Hexokinase 1
应用: WB IHC IF/ICC
文献验证: WB
反应: Human, Mouse, Rat
预测: Pig, Zebrafish, Bovine, Horse, Sheep, Rabbit, Dog, Chicken, Xenopus
蛋白号: P19367
RRID: AB_2838165

浏览相似产品>>

   规格 价格 库存
 50ul RMB¥ 1250 现货
 100ul RMB¥ 2300 现货
 200ul RMB¥ 3000 现货

货期: 当天发货

联系销售

产品描述

来源:
Rabbit
应用:
WB 1:500-1:2000, IHC 1:50-1:200, IF/ICC 1:100-1:500
*The optimal dilutions should be determined by the end user. For optimal experimental results, antibody reuse is not recommended.
*Tips:

WB: 适用于变性蛋白样本的免疫印迹检测. IHC: 适用于组织样本的石蜡(IHC-p)或冰冻(IHC-f)切片样本的免疫组化/荧光检测. IF/ICC: 适用于细胞样本的荧光检测. ELISA(peptide): 适用于抗原肽的ELISA检测.

反应:
Human, Mouse, Rat
克隆:
Polyclonal
特异性:
Hexokinase 1 Antibody detects endogenous levels of total Hexokinase 1.
RRID:
AB_2838165
引用格式: Affinity Biosciences Cat# DF6199, RRID:AB_2838165.
偶联:
Unconjugated.
纯化:
The antiserum was purified by peptide affinity chromatography using SulfoLink™ Coupling Resin (Thermo Fisher Scientific).
保存:
Rabbit IgG in phosphate buffered saline , pH 7.4, 150mM NaCl, 0.02% sodium azide and 50% glycerol. Store at -20 °C. Stable for 12 months from date of receipt.
别名:

展开/折叠

Brain form hexokinase; Hexokinase 1; Hexokinase type I; HK I; HK1 ta; HK1 tb; HK1 tc; HKI; HXK1;

抗原和靶标

免疫原:

A synthesized peptide derived from human Hexokinase 1, corresponding to a region within N-terminal amino acids.

基因/基因ID:
描述:
Hexokinase catalyzes the conversion of glucose to glucose-6-phosphate, the first step in glycolysis. Four distinct mammalian hexokinase isoforms, designated as hexokinase I, II, III, and IV (glucokinase), have been identified. Hexokinases I, II, and III are associated with the outer mitochondrial membrane and are critical for maintaining an elevated rate of aerobic glycolysis in cancer cells (Warburg Effect) (1) in order to compensate for the increased energy demands associated with rapid cell growth and proliferation (2,3).

研究领域

· Environmental Information Processing > Signal transduction > HIF-1 signaling pathway.   (View pathway)

· Human Diseases > Endocrine and metabolic diseases > Type II diabetes mellitus.

· Human Diseases > Cancers: Overview > Central carbon metabolism in cancer.   (View pathway)

· Metabolism > Carbohydrate metabolism > Glycolysis / Gluconeogenesis.

· Metabolism > Carbohydrate metabolism > Fructose and mannose metabolism.

· Metabolism > Carbohydrate metabolism > Galactose metabolism.

· Metabolism > Carbohydrate metabolism > Starch and sucrose metabolism.

· Metabolism > Carbohydrate metabolism > Amino sugar and nucleotide sugar metabolism.

· Metabolism > Biosynthesis of other secondary metabolites > Neomycin, kanamycin and gentamicin biosynthesis.

· Metabolism > Global and overview maps > Metabolic pathways.

· Metabolism > Global and overview maps > Carbon metabolism.

· Organismal Systems > Endocrine system > Insulin signaling pathway.   (View pathway)

· Organismal Systems > Digestive system > Carbohydrate digestion and absorption.

文献引用

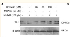
1). Crocetin antagonizes parthanatos in ischemic stroke via inhibiting NOX2 and preserving mitochondrial hexokinase-I. Cell death & disease, 2023 (PubMed: 36681688) [IF=8.1]

Application: WB    Species: Human    Sample: SHSY-5Y cells

Fig. 7 Crocetin reduced E3 ligase RNF146 mediated HK-I ubiquitination and proteasomal degradation. A Protein expression of HK-I in SHSY-5Y cells upon MNNG and crocetin-treatment. Cells were pretreated with concentrations of crocetin (25, 50, 100 μM) for 1 h before 4 h-MNNG (100 μM) stimulation. B Group quantification of (A) from three independent experiments. C mRNA expression of HK-I measured using qRT-PCR analysis. Cells were pretreated with concentrations of crocetin (25, 50, 100 μM) for 1 h before MNNG (100 μM) stimulation for 4 h. mRNA expression was normalized to GAPDH mRNA. D Protein expression of HK-II in SHSY-5Y cells upon MNNG and crocetin-treatment. E PAR, ubiquitination (Ub), and interaction with ubiquitin ligase RNF146 of HK-I protein in SHSY-5Y cells upon MNNG and crocetin-treatment. F–H Group quantification of Ub (F), PAR (G), and RNF146 (H) in (E). Data represent the mean ± SD from three independent experiments. I Expression of HK-I protein in SHSY-5Y cells upon RNF146-knock down (siRNA). J Group quantification of (I). Data represent the mean ± SD from three independent experiments. K Effect of RNF146 knock down (siRNA) on the PARylation and ubiquitination level of HK-I. L Docking analysis between RNF146 and PARylated HK-I. HK-I was represented in green and RNF146 shown in gray. The interaction types of residue pairs between RNF146 and HK-I were shown in detail. Significance was determined by one-way ANOVA. *p 

限制条款

产品的规格、报价、验证数据请以官网为准,官网链接:www.affbiotech.com | www.affbiotech.cn(简体中文)| www.affbiotech.jp(日本語)

产品的数据信息为Affinity所有,未经授权不得收集Affinity官网数据或资料用于商业用途,对抄袭产品数据的行为我们将保留诉诸法律的权利。

产品相关数据会因产品批次、产品检测情况随时调整,如您已订购该产品,请以订购时随货说明书为准,否则请以官网内容为准,官网内容有改动时恕不另行通知。

Affinity保证所销售产品均经过严格质量检测。如您购买的商品在规定时间内出现问题需要售后时,请您在Affinity官方渠道提交售后申请。

产品仅供科学研究使用。不用于诊断和治疗。 

产品未经授权不得转售。

Affinity Biosciences将不会对在使用我们的产品时可能发生的专利侵权或其他侵权行为负责。Affinity Biosciences, Affinity Biosciences标志和所有其他商标所有权归Affinity Biosciences LTD.