产品: IL1 beta 抗体
货号: AF5103
描述: Rabbit polyclonal antibody to IL1 beta
应用: WB IHC IF/ICC
文献验证: WB, IHC, IF/ICC
反应: Human, Mouse, Rat
预测: Horse, Rabbit
蛋白号: P01584
RRID: AB_2837589

浏览相似产品>>

   规格 价格 库存
 50ul RMB¥ 1000 1250 现货
 100ul RMB¥ 1840 2300 现货
 200ul RMB¥ 3000 现货

货期: 当天发货

联系销售

产品描述

来源:
Rabbit
应用:
WB 1:500-1:2000, IHC 1:50-1:200, IF/ICC 1:100-1:500
*The optimal dilutions should be determined by the end user. For optimal experimental results, antibody reuse is not recommended.
*Tips:

WB: 适用于变性蛋白样本的免疫印迹检测. IHC: 适用于组织样本的石蜡(IHC-p)或冰冻(IHC-f)切片样本的免疫组化/荧光检测. IF/ICC: 适用于细胞样本的荧光检测. ELISA(peptide): 适用于抗原肽的ELISA检测.

反应:
Human, Mouse, Rat
克隆:
Polyclonal
特异性:
IL1 beta Antibody detects endogenous levels of total IL1 beta.
RRID:
AB_2837589
引用格式: Affinity Biosciences Cat# AF5103, RRID:AB_2837589.
偶联:
Unconjugated.
纯化:
The antiserum was purified by peptide affinity chromatography using SulfoLink™ Coupling Resin (Thermo Fisher Scientific).
保存:
Rabbit IgG in phosphate buffered saline , pH 7.4, 150mM NaCl, 0.02% sodium azide and 50% glycerol. Store at -20 °C. Stable for 12 months from date of receipt.
别名:

展开/折叠

Catabolin; H1; IL 1; IL 1 beta; IL-1 beta; IL1 BETA; IL1B; IL1B_HUMAN; IL1F2; Interleukin 1 beta; Interleukin-1 beta; OAF; OTTHUMP00000162031; Preinterleukin 1 beta; Pro interleukin 1 beta;

抗原和靶标

免疫原:

A synthesized peptide derived from human IL1 beta, corresponding to a region within the internal amino acids.

基因/基因ID:
描述:
IL-1 production is generally thought to be associated with inflammation, but it has also been shown to be expressed during kidney development, thymocyte differentiation and cartilage degradation. IL-1 plays a critical role in the regulation of immune response and inflammation, acting as an activator of T and B lymphocytes and natural killer (NK) cells.

研究领域

· Cellular Processes > Cell growth and death > Necroptosis.   (View pathway)

· Environmental Information Processing > Signal transduction > MAPK signaling pathway.   (View pathway)

· Environmental Information Processing > Signaling molecules and interaction > Cytokine-cytokine receptor interaction.   (View pathway)

· Environmental Information Processing > Signal transduction > NF-kappa B signaling pathway.   (View pathway)

· Environmental Information Processing > Signal transduction > TNF signaling pathway.   (View pathway)

· Human Diseases > Drug resistance: Antineoplastic > Antifolate resistance.

· Human Diseases > Endocrine and metabolic diseases > Non-alcoholic fatty liver disease (NAFLD).

· Human Diseases > Endocrine and metabolic diseases > Type I diabetes mellitus.

· Human Diseases > Neurodegenerative diseases > Alzheimer's disease.

· Human Diseases > Neurodegenerative diseases > Prion diseases.

· Human Diseases > Infectious diseases: Bacterial > Salmonella infection.

· Human Diseases > Infectious diseases: Bacterial > Pertussis.

· Human Diseases > Infectious diseases: Bacterial > Legionellosis.

· Human Diseases > Infectious diseases: Parasitic > Leishmaniasis.

· Human Diseases > Infectious diseases: Parasitic > Chagas disease (American trypanosomiasis).

· Human Diseases > Infectious diseases: Parasitic > African trypanosomiasis.

· Human Diseases > Infectious diseases: Parasitic > Malaria.

· Human Diseases > Infectious diseases: Parasitic > Amoebiasis.

· Human Diseases > Infectious diseases: Bacterial > Tuberculosis.

· Human Diseases > Infectious diseases: Viral > Measles.

· Human Diseases > Infectious diseases: Viral > Influenza A.

· Human Diseases > Infectious diseases: Viral > Herpes simplex infection.

· Human Diseases > Immune diseases > Inflammatory bowel disease (IBD).

· Human Diseases > Immune diseases > Rheumatoid arthritis.

· Human Diseases > Immune diseases > Graft-versus-host disease.

· Organismal Systems > Development > Osteoclast differentiation.   (View pathway)

· Organismal Systems > Immune system > Toll-like receptor signaling pathway.   (View pathway)

· Organismal Systems > Immune system > NOD-like receptor signaling pathway.   (View pathway)

· Organismal Systems > Immune system > Cytosolic DNA-sensing pathway.   (View pathway)

· Organismal Systems > Immune system > Hematopoietic cell lineage.   (View pathway)

· Organismal Systems > Immune system > IL-17 signaling pathway.   (View pathway)

· Organismal Systems > Immune system > Th17 cell differentiation.   (View pathway)

· Organismal Systems > Sensory system > Inflammatory mediator regulation of TRP channels.   (View pathway)

文献引用

1). Galvanic Cell Bipolar Microneedle Patches for Reversing Photoaging Wrinkles. Advanced materials (Deerfield Beach, Fla.), 2025 (PubMed: 40066473) [IF=27.4]

2). Natural Cell Patches: Melanin Nanoparticles for MR Imaging-Guided Antiatherosclerosis Therapy via Attenuating Macrophage Pyroptosis. ADVANCED FUNCTIONAL MATERIALS, 2023 [IF=18.5]

3). Single-atom nanozymes catalytically surpassing naturally occurring enzymes as sustained stitching for brain trauma. Nature Communications, 2022 (PubMed: 35961961) [IF=16.6]

4). Rescuing ACE2-Deficiency-Mediated Nucleus Pulposus Senescence and Intervertebral Disc Degeneration by a Nanotopology-Enhanced RNAi System. Advanced science (Weinheim, Baden-Wurttemberg, Germany), 2025 (PubMed: 39804951) [IF=15.1]

5). The Thyroid Hormone Analog GC-1 Mitigates Acute Lung Injury by Inhibiting M1 Macrophage Polarization. Advanced science (Weinheim, Baden-Wurttemberg, Germany), 2024 (PubMed: 39373388) [IF=15.1]

6). NAD+-Boosters Improve Mitochondria Quality Control In Parkinson's Disease Models Via Mitochondrial UPR. Advanced science (Weinheim, Baden-Wurttemberg, Germany), 2025 (PubMed: 40685704) [IF=15.1]

7). Turmeric-Derived Nanoparticles Functionalized Aerogel Regulates Multicellular Networks to Promote Diabetic Wound Healing. Advanced science (Weinheim, Baden-Wurttemberg, Germany), 2024 (PubMed: 38441389) [IF=15.1]

8). Opsonization Inveigles Macrophages Engulfing Carrier-Free Bilirubin/JPH203 Nanoparticles to Suppress Inflammation for Osteoarthritis Therapy. Advanced science (Weinheim, Baden-Wurttemberg, Germany), 2024 (PubMed: 38593402) [IF=15.1]

9). M2 Macrophage-Derived Extracellular Vesicles Reprogram Immature Neutrophils into Anxa1hi Neutrophils to Enhance Inflamed Bone Regeneration. Advanced science (Weinheim, Baden-Wurttemberg, Germany), 2025 (PubMed: 40277454) [IF=15.1]

10). The NLRX1-SLC39A7 complex orchestrates mitochondrial dynamics and mitophagy to rejuvenate intervertebral disc by modulating mitochondrial Zn2+ trafficking. Autophagy, 2024 (PubMed: 37876250) [IF=14.6]

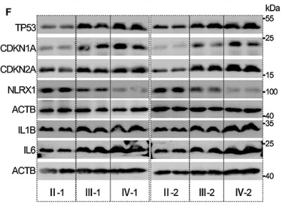
Application: WB    Species: human    Sample: NP cells

Figure 1. Downregulation of NLRX1 correlates with aggravated human NP cell senescence and IDD progression. Human NP tissue specimens with different degenerative grades were collected for histological analysis. (A) Representative MRI images at T2 weight sequence were evaluated by Pfirrmann grading system. II: grade II, III: grade III, IV: grade IV. (B) histological analysis of human NP samples by alcian blue staining, scale bar: 100 μm. (C) immunohistochemical staining of CDKN2A, MKI67 and NLRX1 in different degenerative NP tissues, scale bar: 100 μm. (D and E) linear regression analyses of the tissue staining intensity of CDKN2A and that of NLRX1 (D), or the intensity of MKI67 and that of NLRX1 (E). AOD, average optical density. (F-H) protein expressions of senescence indicators (TP53, CDKN1A, CDKN2A), SASP factors (IL1B, IL6) and NLRX1 in primary human NP cells isolated from different degenerative NP tissues with the treatment of TBHP (100 μM), as determined by western blotting. (I-L) cell senescence (SA-GLB1/β-gal staining), cell proliferation (EdU incorporation) and NLRX1 expression (immunofluorescent staining) in primary human NP cells isolated from different degenerative NP tissues with the treatment of TBHP (100 μM), scale bar: 100 μm. (M and N) MRI examination, hematoxylin and eosin (HE) and safranin-O (SO) staining in sham or operation-induced degenerated disc of rat, scale bar: 500 μm (left panel), 50 μm (right panel). (O and P) immunohistochemical staining of aggrecan, collagen type II, NLRX1 and CDKN2A in sham or operation-induced degenerated disc of rat, scale bar: 500 μm (left panel), 50 μm (right panel). Data are represented as mean ± SD.

加载更多

限制条款

产品的规格、报价、验证数据请以官网为准,官网链接:www.affbiotech.com | www.affbiotech.cn(简体中文)| www.affbiotech.jp(日本語)

产品的数据信息为Affinity所有,未经授权不得收集Affinity官网数据或资料用于商业用途,对抄袭产品数据的行为我们将保留诉诸法律的权利。

产品相关数据会因产品批次、产品检测情况随时调整,如您已订购该产品,请以订购时随货说明书为准,否则请以官网内容为准,官网内容有改动时恕不另行通知。

Affinity保证所销售产品均经过严格质量检测。如您购买的商品在规定时间内出现问题需要售后时,请您在Affinity官方渠道提交售后申请。

产品仅供科学研究使用。不用于诊断和治疗。 

产品未经授权不得转售。

Affinity Biosciences将不会对在使用我们的产品时可能发生的专利侵权或其他侵权行为负责。Affinity Biosciences, Affinity Biosciences标志和所有其他商标所有权归Affinity Biosciences LTD.