产品: TNF alpha 抗体
货号: AF7014
描述: Rabbit polyclonal antibody to TNF alpha
应用: WB IHC IF/ICC
文献验证: WB, IHC, IF/ICC
反应: Human, Mouse, Rat
预测: Pig, Bovine, Sheep, Dog
蛋白号: P01375
RRID: AB_2835319

浏览相似产品>>

   规格 价格 库存
 50ul RMB¥ 1250 现货
 100ul RMB¥ 2300 现货
 200ul RMB¥ 3000 现货

货期: 当天发货

联系销售

产品描述

来源:
Rabbit
应用:
WB 1:500, IHC 1:50-1:200, IF/ICC 1:100-1:500
*The optimal dilutions should be determined by the end user. For optimal experimental results, antibody reuse is not recommended.
*Tips:

WB: 适用于变性蛋白样本的免疫印迹检测. IHC: 适用于组织样本的石蜡(IHC-p)或冰冻(IHC-f)切片样本的免疫组化/荧光检测. IF/ICC: 适用于细胞样本的荧光检测. ELISA(peptide): 适用于抗原肽的ELISA检测.

反应:
Human, Mouse, Rat
克隆:
Polyclonal
特异性:
TNF alpha Antibody detects endogenous levels of total TNF alpha.
RRID:
AB_2835319
引用格式: Affinity Biosciences Cat# AF7014, RRID:AB_2835319.
偶联:
Unconjugated.
纯化:
The antiserum was purified by peptide affinity chromatography using SulfoLink™ Coupling Resin (Thermo Fisher Scientific).
保存:
PBS, pH 7.4,50% glycerol. Store at -20 °C. Stable for 12 months from date of receipt.
别名:

展开/折叠

APC1; APC1 protein; Cachectin; DIF; Differentiation inducing factor; Macrophage cytotoxic factor; Tnf; TNF superfamily, member 2; TNF, macrophage derived; TNF, monocyte derived; TNF-a; TNF-alpha; TNFA; TNFA_HUMAN; TNFSF2; Tumor necrosis factor alpha; Tumor necrosis factor; Tumor necrosis factor ligand superfamily member 2; Tumor Necrosis Factor, Membrane Form; Tumor necrosis factor, soluble form;

抗原和靶标

免疫原:

A synthesized peptide derived from human TNF alpha, corresponding to a region within the internal amino acids.

基因/基因ID:
描述:
This gene encodes a multifunctional proinflammatory cytokine that belongs to the tumor necrosis factor (TNF) superfamily. This cytokine is mainly secreted by macrophages. It can bind to, and thus functions through its receptors TNFRSF1A/TNFR1 and TNFRSF1B/TNFBR. This cytokine is involved in the regulation of a wide spectrum of biological processes including cell proliferation, differentiation, apoptosis, lipid metabolism, and coagulation.

研究领域

· Cellular Processes > Cell growth and death > Apoptosis.   (View pathway)

· Cellular Processes > Cell growth and death > Necroptosis.   (View pathway)

· Environmental Information Processing > Signal transduction > MAPK signaling pathway.   (View pathway)

· Environmental Information Processing > Signaling molecules and interaction > Cytokine-cytokine receptor interaction.   (View pathway)

· Environmental Information Processing > Signal transduction > NF-kappa B signaling pathway.   (View pathway)

· Environmental Information Processing > Signal transduction > Sphingolipid signaling pathway.   (View pathway)

· Environmental Information Processing > Signal transduction > mTOR signaling pathway.   (View pathway)

· Environmental Information Processing > Signal transduction > TGF-beta signaling pathway.   (View pathway)

· Environmental Information Processing > Signal transduction > TNF signaling pathway.   (View pathway)

· Human Diseases > Drug resistance: Antineoplastic > Antifolate resistance.

· Human Diseases > Endocrine and metabolic diseases > Type II diabetes mellitus.

· Human Diseases > Endocrine and metabolic diseases > Insulin resistance.

· Human Diseases > Endocrine and metabolic diseases > Non-alcoholic fatty liver disease (NAFLD).

· Human Diseases > Endocrine and metabolic diseases > Type I diabetes mellitus.

· Human Diseases > Neurodegenerative diseases > Alzheimer's disease.

· Human Diseases > Neurodegenerative diseases > Amyotrophic lateral sclerosis (ALS).

· Human Diseases > Infectious diseases: Bacterial > Pertussis.

· Human Diseases > Infectious diseases: Bacterial > Legionellosis.

· Human Diseases > Infectious diseases: Parasitic > Leishmaniasis.

· Human Diseases > Infectious diseases: Parasitic > Chagas disease (American trypanosomiasis).

· Human Diseases > Infectious diseases: Parasitic > African trypanosomiasis.

· Human Diseases > Infectious diseases: Parasitic > Malaria.

· Human Diseases > Infectious diseases: Parasitic > Toxoplasmosis.

· Human Diseases > Infectious diseases: Parasitic > Amoebiasis.

· Human Diseases > Infectious diseases: Bacterial > Tuberculosis.

· Human Diseases > Infectious diseases: Viral > Hepatitis C.

· Human Diseases > Infectious diseases: Viral > Hepatitis B.

· Human Diseases > Infectious diseases: Viral > Influenza A.

· Human Diseases > Infectious diseases: Viral > Human papillomavirus infection.

· Human Diseases > Infectious diseases: Viral > HTLV-I infection.

· Human Diseases > Infectious diseases: Viral > Herpes simplex infection.

· Human Diseases > Cancers: Overview > Proteoglycans in cancer.

· Human Diseases > Immune diseases > Asthma.

· Human Diseases > Immune diseases > Inflammatory bowel disease (IBD).

· Human Diseases > Immune diseases > Systemic lupus erythematosus.

· Human Diseases > Immune diseases > Rheumatoid arthritis.

· Human Diseases > Immune diseases > Allograft rejection.

· Human Diseases > Immune diseases > Graft-versus-host disease.

· Human Diseases > Cardiovascular diseases > Hypertrophic cardiomyopathy (HCM).

· Human Diseases > Cardiovascular diseases > Dilated cardiomyopathy (DCM).

· Organismal Systems > Development > Osteoclast differentiation.   (View pathway)

· Organismal Systems > Immune system > Antigen processing and presentation.   (View pathway)

· Organismal Systems > Immune system > Toll-like receptor signaling pathway.   (View pathway)

· Organismal Systems > Immune system > NOD-like receptor signaling pathway.   (View pathway)

· Organismal Systems > Immune system > RIG-I-like receptor signaling pathway.   (View pathway)

· Organismal Systems > Immune system > Hematopoietic cell lineage.   (View pathway)

· Organismal Systems > Immune system > Natural killer cell mediated cytotoxicity.   (View pathway)

· Organismal Systems > Immune system > IL-17 signaling pathway.   (View pathway)

· Organismal Systems > Immune system > T cell receptor signaling pathway.   (View pathway)

· Organismal Systems > Immune system > Fc epsilon RI signaling pathway.   (View pathway)

· Organismal Systems > Endocrine system > Adipocytokine signaling pathway.

文献引用

1). Resolvin D1 delivery to lesional macrophages using antioxidative black phosphorus nanosheets for atherosclerosis treatment. Nature nanotechnology, 2024 (PubMed: 38898135) [IF=38.1]

2). Galvanic Cell Bipolar Microneedle Patches for Reversing Photoaging Wrinkles. Advanced materials (Deerfield Beach, Fla.), 2025 (PubMed: 40066473) [IF=27.4]

3). Bioactive antiinflammatory antibacterial hemostatic citrate-based dressing with macrophage polarization regulation for accelerating wound healing and hair follicle neogenesis. Bioactive Materials, 2021 (PubMed: 33005834) [IF=18.9]

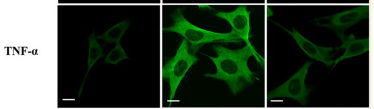
Application: IF/ICC    Species: Mice    Sample: wound tissues

Fig. 8 Immunofluorescence of inflammatory factor TNFα on wound tissue sections after treating by dressing at day 3. (A)The green channel showed TNFα expression while the sections were counterstained with DAPI; (B) The number of TNFα positive cells per mm2 were counted in each group; (C) Relative fluorescence intensity of TNFα expression. (**p < 0.01 and ***p < 0.001 relative to all other groups).

4). Functionally integrating nanoparticles alleviate deep vein thrombosis in pregnancy and rescue intrauterine growth restriction. Nature Communications, 2022 (PubMed: 36418325) [IF=16.6]

5). Upregulation of BCL-2 by acridone derivative through gene promoter i-motif for alleviating liver damage of NAFLD/NASH. NUCLEIC ACIDS RESEARCH, 2020 (PubMed: 32710621) [IF=16.6]

Application: WB    Species: mouse    Sample: liver

Figure 7. Effect of A22 on ameliorating apoptosis, ER stress, inflammation, metabolic syndrome, and fibrogenesis in HF diet-fed mice. (A) Effect of A22 on BCL-2 gene transcription. (B) Effect of A22 on BAX gene transcription. (C) Effect of A22 on expressions of apoptosis-related proteins in liver. The extracted proteins from the liver were immunoblotted with specific antibodies, and quantified based on the loading control of ACTIN. (D) Effect of A22 on ER stress. The UPR proteins (IRE-1, PERK, elF-2 and CHOP) were analyzed by using western Blot. (E) Effect of A22 on expressions of inflammatory factors. (F) Effect of A22 on expressions of fibrogenic proteins.

6). Brain Targeting Bacterial Extracellular Vesicles Enhance Ischemic Stroke Therapy via Efficient ROS Elimination and Suppression of Immune Infiltration. ACS nano, 2025 (PubMed: 40249658) [IF=15.8]

7). The Thyroid Hormone Analog GC-1 Mitigates Acute Lung Injury by Inhibiting M1 Macrophage Polarization. Advanced science (Weinheim, Baden-Wurttemberg, Germany), 2024 (PubMed: 39373388) [IF=15.1]

8). Opsonization Inveigles Macrophages Engulfing Carrier-Free Bilirubin/JPH203 Nanoparticles to Suppress Inflammation for Osteoarthritis Therapy. Advanced science (Weinheim, Baden-Wurttemberg, Germany), 2024 (PubMed: 38593402) [IF=15.1]

9). Injectable and Sprayable Thermoresponsive Hydrogel with Fouling-Resistance as an Effective Barrier to Prevent Postoperative Cardiac Adhesions. Advanced science (Weinheim, Baden-Wurttemberg, Germany), 2025 (PubMed: 40151892) [IF=15.1]

Application: IF/ICC    Species: Rat    Sample:

Figure 7 Effects of the PLEL hydrogel on the inflammatory response in a rat model of cardiac injury adhesion. A) IF staining images of TNF-α (green), TGF-β1 (green), IL-6 (red), IL-10 (red), and DAPI (blue) in heart and adhesion tissues from different groups two weeks after surgery. B–E) Fluorescent area ratios of TNF-α/DAPI, TGF-β1/DAPI, IL-6/DAPI, and IL-10/DAPI (n = 3). F) IF staining images of CD68 (red), CD206 (green), and DAPI (blue) in heart and adhesion tissues from different groups two weeks after surgery. The expression of CD68 represents total macrophages, and that of CD206 represents M2 macrophages. G) The number of total macrophages obtained by counting the number of CD68-positive cells (n = 3). H) The ratio of M2 macrophages labeled with CD206 to total macrophages (n = 3). The ns indicates no significant difference. *p < 0.05, **p < 0.01 and ***p < 0.001, ****p < 0.0001.

10). Programmed BRD9 Degradation and Hedgehog Signaling Activation via Silk-Based Core-Shell Microneedles Promote Diabetic Wound Healing. Advanced science (Weinheim, Baden-Wurttemberg, Germany), 2024 (PubMed: 39413023) [IF=15.1]

加载更多

限制条款

产品的规格、报价、验证数据请以官网为准,官网链接:www.affbiotech.com | www.affbiotech.cn(简体中文)| www.affbiotech.jp(日本語)

产品的数据信息为Affinity所有,未经授权不得收集Affinity官网数据或资料用于商业用途,对抄袭产品数据的行为我们将保留诉诸法律的权利。

产品相关数据会因产品批次、产品检测情况随时调整,如您已订购该产品,请以订购时随货说明书为准,否则请以官网内容为准,官网内容有改动时恕不另行通知。

Affinity保证所销售产品均经过严格质量检测。如您购买的商品在规定时间内出现问题需要售后时,请您在Affinity官方渠道提交售后申请。

产品仅供科学研究使用。不用于诊断和治疗。 

产品未经授权不得转售。

Affinity Biosciences将不会对在使用我们的产品时可能发生的专利侵权或其他侵权行为负责。Affinity Biosciences, Affinity Biosciences标志和所有其他商标所有权归Affinity Biosciences LTD.