产品: TRIM3 抗体
货号: AF0453
描述: Rabbit polyclonal antibody to TRIM3
应用: WB IHC IF/ICC
反应: Human, Mouse, Rat
预测: Pig, Bovine, Horse, Sheep, Rabbit, Dog
蛋白号: O75382
RRID: AB_2834181

浏览相似产品>>

   规格 价格 库存
 50ul RMB¥ 1250 现货
 100ul RMB¥ 2300 现货
 200ul RMB¥ 3000 现货

货期: 当天发货

联系销售

产品描述

来源:
Rabbit
应用:
WB 1:500-1:2000, IHC 1:50-1:200, IF/ICC 1:100-1:500
*The optimal dilutions should be determined by the end user. For optimal experimental results, antibody reuse is not recommended.
*Tips:

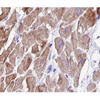
WB: 适用于变性蛋白样本的免疫印迹检测. IHC: 适用于组织样本的石蜡(IHC-p)或冰冻(IHC-f)切片样本的免疫组化/荧光检测. IF/ICC: 适用于细胞样本的荧光检测. ELISA(peptide): 适用于抗原肽的ELISA检测.

反应:
Human, Mouse, Rat
克隆:
Polyclonal
特异性:
TRIM3 Antibody detects endogenous levels of total TRIM3.
RRID:
AB_2834181
引用格式: Affinity Biosciences Cat# AF0453, RRID:AB_2834181.
偶联:
Unconjugated.
纯化:
The antiserum was purified by peptide affinity chromatography using SulfoLink™ Coupling Resin (Thermo Fisher Scientific).
保存:
Rabbit IgG in phosphate buffered saline , pH 7.4, 150mM NaCl, 0.02% sodium azide and 50% glycerol. Store at -20 °C. Stable for 12 months from date of receipt.
别名:

展开/折叠

BERP; Brain expressed ring finger; Brain-expressed RING finger protein; FLJ16135; HAC1; RING finger protein 22; RING finger protein 97; RNF22; RNF97; Trim3; TRIM3_HUMAN; Tripartite motif containing 3; Tripartite motif protein TRIM3; Tripartite motif-containing protein 3;

抗原和靶标

免疫原:

A synthesized peptide derived from human TRIM3, corresponding to a region within the internal amino acids.

基因/基因ID:
描述:
The protein encoded by this gene is a member of the tripartite motif (TRIM) family, also called the 'RING-B-box-coiled-coil' (RBCC) subgroup of RING finger proteins. The TRIM motif includes three zinc-binding domains, a RING, a B-box type 1 and a B-box type 2, and a coiled-coil region. This protein localizes to cytoplasmic filaments. It is similar to a rat protein which is a specific partner for the tail domain of myosin V, a class of myosins which are involved in the targeted transport of organelles. The rat protein can also interact with alpha-actinin-4. Thus it is suggested that this human protein may play a role in myosin V-mediated cargo transport. Alternatively spliced transcript variants encoding the same isoform have been identified.

限制条款

产品的规格、报价、验证数据请以官网为准,官网链接:www.affbiotech.com | www.affbiotech.cn(简体中文)| www.affbiotech.jp(日本語)

产品的数据信息为Affinity所有,未经授权不得收集Affinity官网数据或资料用于商业用途,对抄袭产品数据的行为我们将保留诉诸法律的权利。

产品相关数据会因产品批次、产品检测情况随时调整,如您已订购该产品,请以订购时随货说明书为准,否则请以官网内容为准,官网内容有改动时恕不另行通知。

Affinity保证所销售产品均经过严格质量检测。如您购买的商品在规定时间内出现问题需要售后时,请您在Affinity官方渠道提交售后申请。

产品仅供科学研究使用。不用于诊断和治疗。 

产品未经授权不得转售。

Affinity Biosciences将不会对在使用我们的产品时可能发生的专利侵权或其他侵权行为负责。Affinity Biosciences, Affinity Biosciences标志和所有其他商标所有权归Affinity Biosciences LTD.