产品: Cyclin A1 抗体
货号: AF0143
描述: Rabbit polyclonal antibody to Cyclin A1
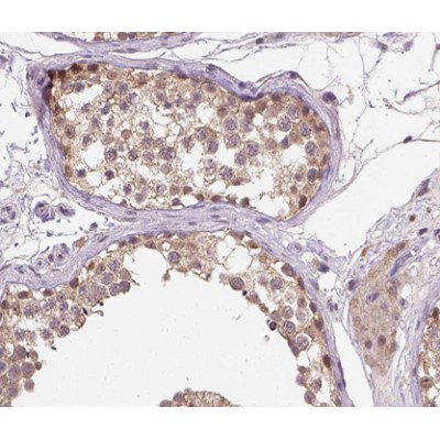
应用: WB IHC IF/ICC
文献验证: WB
反应: Human, Mouse, Rat
预测: Pig, Bovine, Horse, Sheep, Rabbit, Dog
蛋白号: P78396
RRID: AB_2833325

浏览相似产品>>

   规格 价格 库存
 50ul RMB¥ 1250 现货
 100ul RMB¥ 2300 现货
 200ul RMB¥ 3000 现货

货期: 当天发货

联系销售

产品描述

来源:
Rabbit
应用:
WB 1:500-1:3000, IHC 1:50-1:200, IF/ICC 1:100-1:500
*The optimal dilutions should be determined by the end user. For optimal experimental results, antibody reuse is not recommended.
*Tips:

WB: 适用于变性蛋白样本的免疫印迹检测. IHC: 适用于组织样本的石蜡(IHC-p)或冰冻(IHC-f)切片样本的免疫组化/荧光检测. IF/ICC: 适用于细胞样本的荧光检测. ELISA(peptide): 适用于抗原肽的ELISA检测.

反应:
Human, Mouse, Rat
克隆:
Polyclonal
特异性:
Cyclin A1 Antibody detects endogenous levels of total Cyclin A1.
RRID:
AB_2833325
引用格式: Affinity Biosciences Cat# AF0143, RRID:AB_2833325.
偶联:
Unconjugated.
纯化:
The antiserum was purified by peptide affinity chromatography using SulfoLink™ Coupling Resin (Thermo Fisher Scientific).
保存:
Rabbit IgG in phosphate buffered saline , pH 7.4, 150mM NaCl, 0.02% sodium azide and 50% glycerol. Store at -20 °C. Stable for 12 months from date of receipt.
别名:

展开/折叠

CCN A1; CCNA 1; Ccna1; CCNA1_HUMAN; Cyclin-A1; CyclinA1; G2/mitotic specific cyclin A1; MGC132235; MGC159139;

抗原和靶标

免疫原:

A synthesized peptide derived from human Cyclin A1, corresponding to a region within C-terminal amino acids.

基因/基因ID:
描述:
CCNA1 May be involved in the control of the cell cycle at the G1/S (start) and G2/M (mitosis) transitions. May primarily function in the control of the germline meiotic cell cycle and additionally in the control of mitotic cell cycle in some somatic cells. Belongs to the cyclin family. Cyclin AB subfamily. Interacts with the CDK2 and the CDC2 protein kinases to form a serine/threonine kinase holoenzyme complex. The cyclin subunit imparts substrate specificity to the complex. Does not bind CDK4 and CDK5 (in vitro). The cyclin A1-CDK2 complex interacts with transcription factor E2F-1 and RB proteins.

研究领域

· Cellular Processes > Cell growth and death > Cell cycle.   (View pathway)

· Cellular Processes > Cell growth and death > Cellular senescence.   (View pathway)

· Environmental Information Processing > Signal transduction > AMPK signaling pathway.   (View pathway)

· Human Diseases > Infectious diseases: Viral > Hepatitis B.

· Human Diseases > Infectious diseases: Viral > Human papillomavirus infection.

· Human Diseases > Infectious diseases: Viral > Epstein-Barr virus infection.

· Human Diseases > Cancers: Overview > Pathways in cancer.   (View pathway)

· Human Diseases > Cancers: Overview > Transcriptional misregulation in cancer.

· Human Diseases > Cancers: Overview > Viral carcinogenesis.

· Human Diseases > Cancers: Specific types > Acute myeloid leukemia.   (View pathway)

· Organismal Systems > Endocrine system > Progesterone-mediated oocyte maturation.

文献引用

1). SERCA2 dysfunction accelerates angiotensin II-induced aortic aneurysm and atherosclerosis by induction of oxidative stress in aortic smooth muscle cells. Journal of molecular and cellular cardiology, 2025 (PubMed: 39884553) [IF=4.9]

2). STAT3 stimulates adipogenic stem cell proliferation and cooperates with HMGA2 during the early stage of differentiation to promote adipogenesis. BIOCHEMICAL AND BIOPHYSICAL RESEARCH COMMUNICATIONS, 2017 (PubMed: 27940362) [IF=2.5]

Application: WB    Species: mouse    Sample:

STAT3 knockdown blocked cell cycle procession at S phase in adipogenic stem cells and early differentiating cells. (A) Flow cytometric analysis of 3T3-L1 stem cells at 48 h after siRNA introduction. Expression of cell cycle-associated genes was measured at mRNA (B) and protein (C) levels at 48 h after siRNA introduction in 3T3-L1 stem cells. (D) Flow cytometric analysis of 3T3-L1 cells that were differentiated for 24 h, with differentiation induced at 72 h after STAT3 siRNA introduction. qRT-PCR analysis (E) and Western blot analyses (F) of cell cycle-associated genes after STAT3 siRNA introduction. Values are presented as means ± S.D. of three replicates. * P < 0.01, # P < 0.05 vs siGL3.

3). Downstream Neighbor of Son Overexpression is Associated With Breast Cancer Progression and a Poor Prognosis. Journal of breast cancer, 2022 (PubMed: 35914745) [IF=2.2]

Application: WB    Species: human    Sample: BC cell

Figure 5. DONSON knockdown blocks the cell cycle at the S/G2 transition in BC cell lines. (A) A single GSEA using TCGA data investigated the potential biological functions of DONSON. (B) The correlation between DONSON and CDK2 was analyzed using TIMER. (C) Flow cytometry plots showing the cell cycle distribution in the indicated groups. (D) Representative immunoblots showing the expression levels of cyclin A1 and CDK2 after DONSON knockdown. The images shown are representative of 3 independent experiments.DONSON = downstream neighbor of son; BC = breast cancer; GSEA = gene set enrichment analysis; TCGA = The Cancer Genome Atlas; CDK2 = cyclin-dependent kinase 2; TIMER = Tumor IMmune Estimation Resource; NES = normalized enrichment score; FDR = false discovery rate. *p < 0.05, †p < 0.01, ‡p < 0.001, and §p < 0.0001 compared with the control using Student’s t-test.

限制条款

产品的规格、报价、验证数据请以官网为准,官网链接:www.affbiotech.com | www.affbiotech.cn(简体中文)| www.affbiotech.jp(日本語)

产品的数据信息为Affinity所有,未经授权不得收集Affinity官网数据或资料用于商业用途,对抄袭产品数据的行为我们将保留诉诸法律的权利。

产品相关数据会因产品批次、产品检测情况随时调整,如您已订购该产品,请以订购时随货说明书为准,否则请以官网内容为准,官网内容有改动时恕不另行通知。

Affinity保证所销售产品均经过严格质量检测。如您购买的商品在规定时间内出现问题需要售后时,请您在Affinity官方渠道提交售后申请。

产品仅供科学研究使用。不用于诊断和治疗。 

产品未经授权不得转售。

Affinity Biosciences将不会对在使用我们的产品时可能发生的专利侵权或其他侵权行为负责。Affinity Biosciences, Affinity Biosciences标志和所有其他商标所有权归Affinity Biosciences LTD.