产品: KISS1R 抗体
货号: DF7123
描述: Rabbit polyclonal antibody to KISS1R
应用: WB IHC IF/ICC
文献验证: IHC, IF/ICC
反应: Human, Mouse, Rat
蛋白号: Q969F8
RRID: AB_2839077

浏览相似产品>>

   规格 价格 库存
 50ul RMB¥ 1000 1250 现货
 100ul RMB¥ 1840 2300 现货
 200ul RMB¥ 3000 现货

货期: 当天发货

联系销售

产品描述

来源:
Rabbit
应用:
WB 1:500-1:1000, IHC 1:50-1:100, IF/ICC 1:100-1:500
*The optimal dilutions should be determined by the end user. For optimal experimental results, antibody reuse is not recommended.
*Tips:

WB: 适用于变性蛋白样本的免疫印迹检测. IHC: 适用于组织样本的石蜡(IHC-p)或冰冻(IHC-f)切片样本的免疫组化/荧光检测. IF/ICC: 适用于细胞样本的荧光检测. ELISA(peptide): 适用于抗原肽的ELISA检测.

反应:
Human, Mouse, Rat
克隆:
Polyclonal
特异性:
KISS1R Antibody detects endogenous levels of total KISS1R.
RRID:
AB_2839077
引用格式: Affinity Biosciences Cat# DF7123, RRID:AB_2839077.
偶联:
Unconjugated.
纯化:
The antiserum was purified by peptide affinity chromatography using SulfoLink™ Coupling Resin (Thermo Fisher Scientific).
保存:
Rabbit IgG in phosphate buffered saline , pH 7.4, 150mM NaCl, 0.02% sodium azide and 50% glycerol. Store at -20 °C. Stable for 12 months from date of receipt.
别名:

展开/折叠

AXOR 12; AXOR12; G protein coupled receptor 54; G-protein coupled receptor 54; G-protein coupled receptor OT7T175; GPCR 54; GPCR54; GPR 54; GPR54; hOT7T175; Hypogonadotropin 1; Hypogonadotropin-1; Hypogonadotropin1; KISS 1 receptor; KISS 1R; KiSS-1 receptor; KiSS-1R; KISS1 receptor; Kiss1r; Kisspeptins receptor; KISSR_HUMAN; Metastin receptor; OT7T175;

抗原和靶标

免疫原:

A synthesized peptide derived from human KISS1R, corresponding to a region within C-terminal amino acids.

基因/基因ID:
描述:
The protein encoded by this gene is a galanin-like G protein-coupled receptor that binds metastin, a peptide encoded by the metastasis suppressor gene KISS1. The tissue distribution of the expressed gene suggests that it is involved in the regulation of endocrine function, and this is supported by the finding that this gene appears to play a role in the onset of puberty. Mutations in this gene have been associated with hypogonadotropic hypogonadism and central precocious puberty.

研究领域

· Environmental Information Processing > Signaling molecules and interaction > Neuroactive ligand-receptor interaction.

文献引用

1). Neuroendocrine Regulation of Stress-Induced T Cell Dysfunction during Lung Cancer Immunosurveillance via the Kisspeptin/GPR54 Signaling Pathway. Advanced science (Weinheim, Baden-Wurttemberg, Germany), 2022 (PubMed: 35224894) [IF=15.1]

2). Gpr54 deletion accelerates hair cycle and hair regeneration. EMBO reports, 2025 (PubMed: 39587329) [IF=6.5]

Application: IF/ICC    Species: Mouse    Sample: hair follicles

Figure 1. The expression and localization of Gpr54 in the hair follicles. (A) Immunofluorescence labeling of Gpr54 in mouse hair follicles during three different hair cycle stages: anagen, catagen, and telogen. Sections were also counterstained with DAPI (blue) to visualize nuclei. DP stands for dermal papilloma, and Bu stands for bulge. Scale bar: 200 µm. (B) Q-PCR analysis of Gpr54 and kisspepeptin1 expression in the whole skin tissues of mouse from three different hair cycle stages: anagen, catagen, and telogen. Data are mean ± SD of three independent experiments. A paired t-test was performed, N = 3. For Gpr54: ****P (catagen vs. anagen) 

3). Impact of Physiologically Relevant Genistein Exposure at Different Time Windows on Puberty Onset and Neuroendocrine Function in Female Rats. Molecular Nutrition & Food Research, 2022 (PubMed: 36106654) [IF=4.5]

4). Roles of the kisspeptin/GPR54 system in pathomechanisms of atherosclerosis. Nutrition, Metabolism and Cardiovascular Diseases, 2020 (PubMed: 32409274) [IF=3.3]

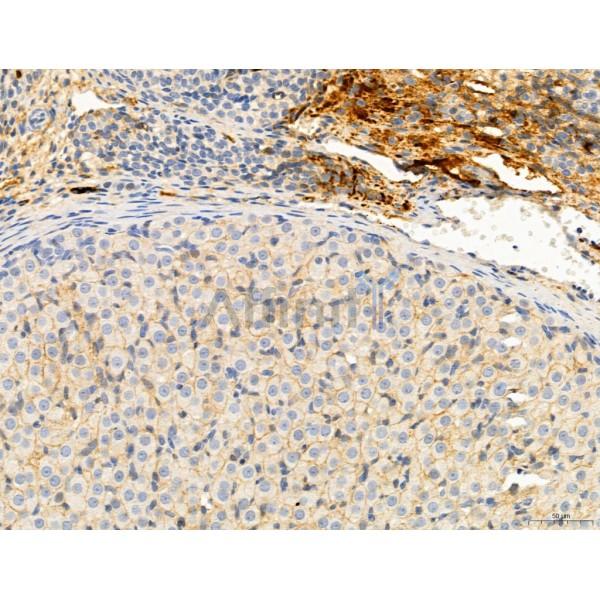
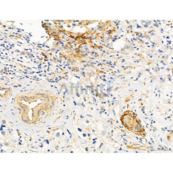
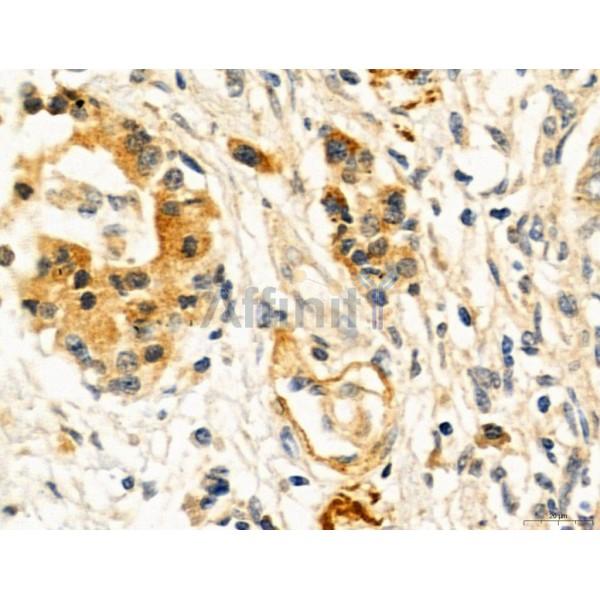
Application: IHC    Species: mouse    Sample: atheromatous plaques

Figure 3| Expression of KP-10 and GPR54 within atheromatous plaques in Apoe/- mice. Apoe/- mice were fed a high-cholesterol diet from 13 weeks old. Aortic root walls from 13-, 17-, and 21-week-old Apoe/- mice were stained with Oil Red O (AeC), anti-KP-10 antibody(Bioss, bs-0749, 1:200) (DeF), or anti-GPR54 antibody (Affinity Biosciences, DF2751, 1:100) (GeI). Nuclei were stained with hematoxylin.Scale bar Z 200 mm. Atheromatous plaques (reddish areas stained by Oil Red O) became greater with age in Apoe/- mice. Likewise, expressions of KP-10 and GPR54 (brown) became greater within atheromatous plaques in Apoe/- mice. These results are unpublished data from our new experiments.

5). Chemical profile and miscarriage prevention evaluation of Jiao-Ai Decoction, a classical traditional Chinese formula. Journal of pharmaceutical and biomedical analysis, 2022 (PubMed: 35636007) [IF=3.1]

限制条款

产品的规格、报价、验证数据请以官网为准,官网链接:www.affbiotech.com | www.affbiotech.cn(简体中文)| www.affbiotech.jp(日本語)

产品的数据信息为Affinity所有,未经授权不得收集Affinity官网数据或资料用于商业用途,对抄袭产品数据的行为我们将保留诉诸法律的权利。

产品相关数据会因产品批次、产品检测情况随时调整,如您已订购该产品,请以订购时随货说明书为准,否则请以官网内容为准,官网内容有改动时恕不另行通知。

Affinity保证所销售产品均经过严格质量检测。如您购买的商品在规定时间内出现问题需要售后时,请您在Affinity官方渠道提交售后申请。

产品仅供科学研究使用。不用于诊断和治疗。 

产品未经授权不得转售。

Affinity Biosciences将不会对在使用我们的产品时可能发生的专利侵权或其他侵权行为负责。Affinity Biosciences, Affinity Biosciences标志和所有其他商标所有权归Affinity Biosciences LTD.