产品: RANKL 抗体
货号: DF7006
描述: Rabbit polyclonal antibody to RANKL
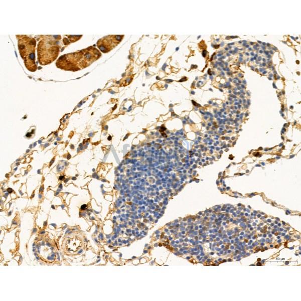
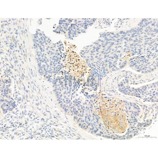
应用: WB IHC IF/ICC
文献验证: WB
反应: Human, Mouse, Rat
蛋白号: O14788
RRID: AB_2838962

浏览相似产品>>

   规格 价格 库存
 50ul RMB¥ 1000 1250 现货
 100ul RMB¥ 1840 2300 现货
 200ul RMB¥ 3000 现货

货期: 当天发货

联系销售

产品描述

来源:
Rabbit
应用:
WB 1:500-1:2000, IHC 1:50-1:200, IF/ICC 1:100-1:500
*The optimal dilutions should be determined by the end user. For optimal experimental results, antibody reuse is not recommended.
*Tips:

WB: 适用于变性蛋白样本的免疫印迹检测. IHC: 适用于组织样本的石蜡(IHC-p)或冰冻(IHC-f)切片样本的免疫组化/荧光检测. IF/ICC: 适用于细胞样本的荧光检测. ELISA(peptide): 适用于抗原肽的ELISA检测.

反应:
Human, Mouse, Rat
克隆:
Polyclonal
特异性:
RANKL Antibody detects endogenous levels of total RANKL.
RRID:
AB_2838962
引用格式: Affinity Biosciences Cat# DF7006, RRID:AB_2838962.
偶联:
Unconjugated.
纯化:
The antiserum was purified by peptide affinity chromatography using SulfoLink™ Coupling Resin (Thermo Fisher Scientific).
保存:
Rabbit IgG in phosphate buffered saline , pH 7.4, 150mM NaCl, 0.02% sodium azide and 50% glycerol. Store at -20 °C. Stable for 12 months from date of receipt.
别名:

展开/折叠

CD254; hRANKL2; ODF; OPGL; OPTB2; Osteoclast differentiation factor; Osteoprotegerin ligand; RANKL; Receptor activator of nuclear factor kappa B ligand; Receptor activator of nuclear factor kappa-B ligand; sOdf; TNF related activation induced cytokine; TNF-related activation-induced cytokine; TNF11_HUMAN; TNFSF 11; Tnfsf11; TRANCE; Tumor necrosis factor (ligand) superfamily member 11; Tumor necrosis factor ligand superfamily member 11; Tumor necrosis factor ligand superfamily member 11, soluble form;

抗原和靶标

免疫原:

A synthesized peptide derived from human RANKL, corresponding to a region within the internal amino acids.

基因/基因ID:
描述:
This gene encodes a member of the tumor necrosis factor (TNF) cytokine family which is a ligand for osteoprotegerin and functions as a key factor for osteoclast differentiation and activation. This protein was shown to be a dentritic cell survival factor and is involved in the regulation of T cell-dependent immune response. T cell activation was reported to induce expression of this gene and lead to an increase of osteoclastogenesis and bone loss. This protein was shown to activate antiapoptotic kinase AKT/PKB through a signaling complex involving SRC kinase and tumor necrosis factor receptor-associated factor (TRAF) 6, which indicated this protein may have a role in the regulation of cell apoptosis. Targeted disruption of the related gene in mice led to severe osteopetrosis and a lack of osteoclasts. The deficient mice exhibited defects in early differentiation of T and B lymphocytes, and failed to form lobulo-alveolar mammary structures during pregnancy. Two alternatively spliced transcript variants have been found.

研究领域

· Environmental Information Processing > Signaling molecules and interaction > Cytokine-cytokine receptor interaction.   (View pathway)

· Environmental Information Processing > Signal transduction > NF-kappa B signaling pathway.   (View pathway)

· Human Diseases > Cancers: Specific types > Breast cancer.   (View pathway)

· Human Diseases > Immune diseases > Rheumatoid arthritis.

· Organismal Systems > Development > Osteoclast differentiation.   (View pathway)

· Organismal Systems > Endocrine system > Prolactin signaling pathway.   (View pathway)

文献引用

1). YTHDF2-mediated FGF14-AS2 decay promotes osteolytic metastasis of breast cancer by enhancing RUNX2 mRNA translation. BRITISH JOURNAL OF CANCER, 2022 (PubMed: 36216883) [IF=6.4]

2). Rodent incisor and molar dental follicles show distinct characteristics in tooth eruption. ARCHIVES OF ORAL BIOLOGY, 2021 (PubMed: 33845260) [IF=2.2]

Application: WB    Species: Rat    Sample: Incisor dental follicle (IF) cells and molar dental follicle (MF) cells

Fig. 5. Differential expression patterns of tooth eruption-related genes and proteins between IF cells and MF cells. (A) Non-induced IF cells and MF cells showed different gene expression patterns; Data are mean ± SD of n = 3 replicates, one-way ANOVA, *p<0.05, **p<0.01, ***p<0.001, ****p<0.0001. (B) Non-induced and induced IF cells and MF cells showed different protein expression patterns. After induction with CLCCM and HERSCM, there were no significant changes of the expression patterns of tooth eruption-related proteins in IF cells and MF cells. (C) The grey value ratios of Western blotting results; Data are mean ± SD of n = 3 replicates, one-way ANOVA followed by Tukey post hoc test, *p<0.05, **p<0.01, ***p<0.001, ****p<0.0001. (IF1, MF1 represent the cells cultured by α-MEM; IF2, MF2 represent the cells cultured by α-MEM + CLCCM; IF3, MF3 represent the cells cultured by α-MEM+HERSCM).

3). The expressions of tooth eruption relevant genes are different in incisors and molars dental follicle cells in rat: an in vitro study. Research Square, 2019

限制条款

产品的规格、报价、验证数据请以官网为准,官网链接:www.affbiotech.com | www.affbiotech.cn(简体中文)| www.affbiotech.jp(日本語)

产品的数据信息为Affinity所有,未经授权不得收集Affinity官网数据或资料用于商业用途,对抄袭产品数据的行为我们将保留诉诸法律的权利。

产品相关数据会因产品批次、产品检测情况随时调整,如您已订购该产品,请以订购时随货说明书为准,否则请以官网内容为准,官网内容有改动时恕不另行通知。

Affinity保证所销售产品均经过严格质量检测。如您购买的商品在规定时间内出现问题需要售后时,请您在Affinity官方渠道提交售后申请。

产品仅供科学研究使用。不用于诊断和治疗。 

产品未经授权不得转售。

Affinity Biosciences将不会对在使用我们的产品时可能发生的专利侵权或其他侵权行为负责。Affinity Biosciences, Affinity Biosciences标志和所有其他商标所有权归Affinity Biosciences LTD.