产品: FGR 抗体
货号: DF6803
描述: Rabbit polyclonal antibody to FGR
应用: WB IHC
文献验证: WB
反应: Human, Mouse
蛋白ID: P09769
RRID: AB_2838765

浏览相似产品>>

   规格 价格 库存
 50ul RMB¥ 1250 现货
 100ul RMB¥ 2300 现货
 200ul RMB¥ 3000 现货

货期: 当天发货

联系销售

产品描述

来源:
Rabbit
应用:
WB 1:500-1:2000, IHC 1:50-1:200
*The optimal dilutions should be determined by the end user. For optimal experimental results, antibody reuse is not recommended.
*Tips:

WB: 适用于变性蛋白样本的免疫印迹检测. IHC: 适用于组织样本的石蜡(IHC-p)或冰冻(IHC-f)切片样本的免疫组化/荧光检测. IF/ICC: 适用于细胞样本的荧光检测. ELISA(peptide): 适用于抗原肽的ELISA检测.

反应:
Human, Mouse
克隆:
Polyclonal
特异性:
FGR Antibody detects endogenous levels of total FGR.
RRID:
AB_2838765
引用格式: Affinity Biosciences Cat# DF6803, RRID:AB_2838765.
偶联:
Unconjugated.
纯化:
The antiserum was purified by peptide affinity chromatography using SulfoLink™ Coupling Resin (Thermo Fisher Scientific).
保存:
Rabbit IgG in phosphate buffered saline , pH 7.4, 150mM NaCl, 0.02% sodium azide and 50% glycerol. Store at -20 °C. Stable for 12 months from date of receipt.
别名:

展开/折叠

c fgr; c fgr protooncogene; c src 2 proto oncogene; c src2; Fgr; FGR_HUMAN; FLJ43153; Gardner Rasheed feline sarcoma viral (v fgr); Gardner Rasheed feline sarcoma viral (v fgr) oncogene homolog; Gardner-Rasheed feline sarcoma viral (v-fgr) oncogene homolog; MGC75096; p55 c fgr protein; P55 FGR; P55-FGR; p55c fgr; p58-Fgr; p58c fgr; p58c-Fgr; Proto oncogene c Fgr; Proto oncogene tyrosine protein kinase FGR; Proto-oncogene c-Fgr; SRC 2; SRC2; Tyrosine protein kinase Fgr; Tyrosine-protein kinase Fgr;

抗原和靶标

免疫原:

A synthesized peptide derived from human FGR, corresponding to a region within the internal amino acids.

基因/基因ID:
描述:
Fgr is a member of the Src tyrosine kinase family. It has a membrane-associated amino-terminal domain that is highly divergent from other family members, internal conserved SH2 and SH3 domains and a highly conserved carboxy-terminal tyrosine kinase catalytic domain (1,2). Tyrosine 412 is located in the activation loop, and phosphorylation of this residue is critical for the activation of Fgr tyrosine kinase activity. c-Fgr is predominantly expressed in cells of hematopoietic origin including differentiated myeloid cells, NK and B cells (3,4). Fgr plays an important role in the signaling cascade from membrane receptors lacking intrinsic tyrosine kinase activity such as Bcr, FcR, and the integrin family of receptors (5). It was demonstrated that Fgr functions as a selective inhibitor of beta2 integrin-mediated signaling and Syk kinase function in monocytes (5).

研究领域

· Human Diseases > Infectious diseases: Viral > Epstein-Barr virus infection.

· Organismal Systems > Immune system > Chemokine signaling pathway.   (View pathway)

文献引用

1). Enhancing immunotherapy efficacy in colorectal cancer: targeting the FGR-AKT-SP1-DKK1 axis with DCC-2036 (Rebastinib). Cell death & disease, 2025 (PubMed: 39788945) [IF=8.1]

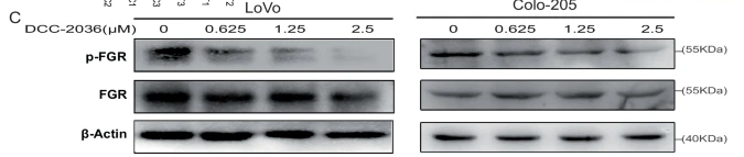
Application: WB    Species: human    Sample: LoVo cells

Fig. 3: Delineating the role of FGR as a direct target in the efficacy of DCC-2036 in colorectal cancer. A Heatmap of Phosphorylated-Tyrosine Protein Kinases in DCC-2036 Treated LoVo Cells: Highlighting significant differences in kinase activity after 24 h exposure to 2.5 μM DCC-2036, as assessed by the PathScan® RTK Signaling Antibody Array Kit (Chemiluminescent Readout). B Pull-Down Assay Identifying Direct Targets of DCC-2036: Biotin-tagged DCC-2036 was used to capture interacting proteins in CRC cells, with non-immunoprecipitated LoVo lysates as positive control. C Western blot analysis showing the impact of different concentrations of DCC-2036 (0, 0.625, 1.25, and 2.5 μM) on FGR and phosphorylated FGR expression levels in LoVo cells, with β-Actin serving as a loading control. D Immunohistochemical analysis of p-FGR and FGR in a CT26 tumor model transplanted into Balb/C mice, comparing treated versus control groups at both 40× and 100× magnification.

限制条款

产品的规格、报价、验证数据请以官网为准,官网链接:www.affbiotech.com | www.affbiotech.cn(简体中文)| www.affbiotech.jp(日本語)

产品的数据信息为Affinity所有,未经授权不得收集Affinity官网数据或资料用于商业用途,对抄袭产品数据的行为我们将保留诉诸法律的权利。

产品相关数据会因产品批次、产品检测情况随时调整,如您已订购该产品,请以订购时随货说明书为准,否则请以官网内容为准,官网内容有改动时恕不另行通知。

Affinity保证所销售产品均经过严格质量检测。如您购买的商品在规定时间内出现问题需要售后时,请您在Affinity官方渠道提交售后申请。

产品仅供科学研究使用。不用于诊断和治疗。 

产品未经授权不得转售。

Affinity Biosciences将不会对在使用我们的产品时可能发生的专利侵权或其他侵权行为负责。Affinity Biosciences, Affinity Biosciences标志和所有其他商标所有权归Affinity Biosciences LTD.