产品: BDNF 抗体
货号: DF6387
描述: Rabbit polyclonal antibody to BDNF
应用: WB IHC IF/ICC
文献验证: WB, IHC, IF/ICC
反应: Human, Mouse, Rat
预测: Pig, Zebrafish, Bovine, Horse, Sheep, Rabbit, Dog, Chicken, Xenopus
蛋白号: P23560
RRID: AB_2838350

浏览相似产品>>

   规格 价格 库存
 50ul RMB¥ 1000 1250 现货
 100ul RMB¥ 1840 2300 现货
 200ul RMB¥ 3000 现货

货期: 当天发货

联系销售

产品描述

来源:
Rabbit
应用:
WB 1:500-1:2000, IHC 1:50-1:200, IF/ICC 1:100-1:500
*The optimal dilutions should be determined by the end user. For optimal experimental results, antibody reuse is not recommended.
*Tips:

WB: 适用于变性蛋白样本的免疫印迹检测. IHC: 适用于组织样本的石蜡(IHC-p)或冰冻(IHC-f)切片样本的免疫组化/荧光检测. IF/ICC: 适用于细胞样本的荧光检测. ELISA(peptide): 适用于抗原肽的ELISA检测.

反应:
Human, Mouse, Rat
克隆:
Polyclonal
特异性:
BDNF Antibody detects endogenous levels of total BDNF.
RRID:
AB_2838350
引用格式: Affinity Biosciences Cat# DF6387, RRID:AB_2838350.
偶联:
Unconjugated.
纯化:
The antiserum was purified by peptide affinity chromatography using SulfoLink™ Coupling Resin (Thermo Fisher Scientific).
保存:
Rabbit IgG in phosphate buffered saline , pH 7.4, 150mM NaCl, 0.02% sodium azide and 50% glycerol. Store at -20 °C. Stable for 12 months from date of receipt.
别名:

展开/折叠

Abrineurin; ANON2; BDNF; BDNF_HUMAN; Brain Derived Neurotrophic Factor; Brain-derived neurotrophic factor; BULN2; MGC34632; Neurotrophin;

抗原和靶标

免疫原:

A synthesized peptide derived from human BDNF, corresponding to a region within the internal amino acids.

基因/基因ID:
描述:
Neurotrophins function to regulate naturally occurring cell death of neurons during development. The prototype neurotrophin is nerve growth factor (NGF), originally discovered in the 1950s as a soluble peptide promoting the survival of, and neurite outgrowth from, sympathetic ganglia. Three additional structurally homologous neurotrophic factors have been identified. These include brain-derived neurotrophic factor (BDNF), neurotrophin-3 (NT-3) and neurotrophin-4 (NT-4) (also designated NT-5). These various neurotrophins stimulate the in vitro survival of distinct, but partially overlapping, populations of neurons. The cell surface receptors through which neurotrophins mediate their activity have been identified. For instance, the Trk A receptor is the preferential receptor for NGF, but also binds NT-3 and NT-4. The Trk B receptor binds both BDNF and NT-4 equally well, and binds NT-3 to a lesser extent, while the Trk C receptor only binds NT-3.

研究领域

· Environmental Information Processing > Signal transduction > MAPK signaling pathway.   (View pathway)

· Environmental Information Processing > Signal transduction > Ras signaling pathway.   (View pathway)

· Environmental Information Processing > Signal transduction > cAMP signaling pathway.   (View pathway)

· Environmental Information Processing > Signal transduction > PI3K-Akt signaling pathway.   (View pathway)

· Human Diseases > Neurodegenerative diseases > Huntington's disease.

· Human Diseases > Substance dependence > Cocaine addiction.

· Human Diseases > Substance dependence > Alcoholism.

· Organismal Systems > Nervous system > Neurotrophin signaling pathway.   (View pathway)

文献引用

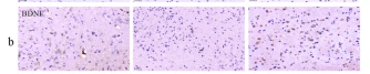
1). Haploinsufficiency of intraflagellar transport protein 172 causes autism-like behavioral phenotypes in mice through BDNF. Journal of advanced research, 2024 (PubMed: 39265888) [IF=11.4]

Application: WB    Species: Mouse    Sample:

Fig. 4. Ift172 haploinsufficiency led to a dysfunctional BDNF-TrkB signaling pathway and reduced synaptic density. (A) Compared with WT littermates, Ift172+/- mice showed reduced expression of BDNF, p-TrkB, p-Erk1/2, and PSD95 in the cortex. (B) Quantification of relative protein expressing levels (n = 3 per group). (C) Immunohistochemical staining showed decreased BDNF expression in the brain of Ift172+/- mice compared with WT littermates. Scale bars = 2 mm (left column) and 10 μm (right column). (D) Immunofluorescent staining of Ift172 and BDNF in the cortex of WT and Ift172+/- mice. Scale bar = 20 µm. (E) Quantification analysis of the expression of Ift172 and BDNF proteins (n = 5 per group). (F) Schematic diagram showed the construct of an adeno-associated virus and the strategy of sparse labeling. (G) Confocal images of representative pyramidal neurons and their apical dendrites in the CA1 region of WT and Ift172+/- mice. Scale bars = 10 μm (top row) and 5 μm (bottom row). (H) Compared with WT littermates, Ift172+/- mice presented significantly less spine density. (WT: n = 11 dendrites from 3 mice; Ift172+/-: n = 15 dendrites from 3 mice). (I) Representative electron micrographs of the synaptic structures in the CA1 area. Red arrows indicated synapses. Scale bar = 1 μm. (J) Quantitative analysis of the synaptic density in WT and Ift172+/- mice. (n = 5 per group). Data were presented as the mean ± s.e.m. (*p < 0.05, **p < 0.01, and ***p < 0.001 with Student’s t-test). (For interpretation of the references to colour in this figure legend, the reader is referred to the web version of this article.)

2). Dysregulation of CRY1 impairs brain thyroid hormone pathway and promotes anxiety-like behavior in male mice. Metabolism: clinical and experimental, 2025 (PubMed: 40334908) [IF=10.8]

3). G-protein coupled receptor kinase 2 mediates rheumatoid arthritis-induced depression-like behaviors via the hippocampal CRHR1 signaling pathway. Acta pharmacologica Sinica, 2025 (PubMed: 40691271) [IF=6.9]

4). Comparative assessment of various protein isolates underpinning cognitive modulation: An interplay of neurobiological markers and gut-brain axis. Current research in food science, 2025 (PubMed: 41234364) [IF=6.3]

5). MANF Promotes Diabetic Corneal Epithelial Wound Healing and Nerve Regeneration by Attenuating Hyperglycemia-Induced Endoplasmic Reticulum Stress. DIABETES, 2020 (PubMed: 32312869) [IF=6.2]

Application: WB    Species: mice    Sample: corneal epithelial cells

Figure 3—Exogenous MANF promoted corneal nerve regeneration and BDNF and NGF expression. Normal and diabetic corneas pretreated through subconjunctival injection with PBS (as the control) or rhMANF 24 h before, 0 h, and 24 h after removal of the corneal epithelium. At 48 h, corneal epithelial cells were collected for Western blotting. At 5 days postwounding, corneal whole-mount staining was performed to observe nerve regeneration. Corneal sensation was tested before epithelium debridement until 7 days postwounding. To observe nerve regeneration and corneal sensation, another injection was performed at 48 h postwounding. A: Staining for b-tubulin III was performed, and images of the entire cornea were captured as shown in the top panels, with central cornea images shown in the bottom panels. B: Nerve densities of entire corneas (A, top panels) were calculated from the areas staining positive for b-tubulin III using Image J software (n 5 3). C: Corneal sensation is represented with a line chart (n 5 5). The time immediately before epithelium debridement was defined as 0 h. D: Western blot bands observed with or without rhMANF. Two samples/lane represent each condition, three corneas as one sample. E: Western blot analysis of BDNF expression (n 5 4 samples). F: Western blot analysis of NGF expression (n 5 4 samples). *P , 0.05, **P , 0.01, ***P , 0.001 (one-way ANOVA). DM, wounded mice with diabetes mellitus; DM 1 MANF, wounded mice with diabetes mellitus treated with rhMANF; NL, wounded normoglycemic mice treated with PBS; NL 1 MANF, wounded normoglycemic mice treated with rhMANF; n.s., not significant.

6). Acetyl-11-keto-beta-boswellic acid promotes sciatic nerve repair after injury: molecular mechanism. Neural Regeneration Research, 2022 (PubMed: 35662229) [IF=5.9]

Application: WB    Species: Rat    Sample:

Figure 3 Gene and protein verification in sciatic nerve injury in rats treated with AKBA. (A) mRNA expression levels (relative to GAPDH) of NGFR (A1), NGF (A2), BDNF (A3), and MPO (A4) in the rat sciatic nerve using qPCR. (B) Protein expression levels (relative to GAPDH) of NGFR (B2), NGF (B3), BDNF (B4), and MPO (B5) in the rat sciatic nerve by western blot assay. Data are expressed as the mean ± SD (n = 3 rats/group) and were analyzed using a one-way analysis of variance followed by the least significant difference test. BDNF: Brain derived neurotrophic factor; GAPDH: glyceraldehyde-3-phosphate dehydrogenase; MPO: myeloperoxidase; NGF: nerve growth factor; NGFR: nerve growth factor receptor; qPCR: real-time polymerase chain reaction.

7). Antidepressant-like Effect of Citrus sinensis (L.) Osbeck Essential Oil and Its Main Component Limonene on Mice. Journal of Agricultural and Food Chemistry, 2019 (PubMed: 30905156) [IF=5.7]

8). Zhile Capsule Exerts Antidepressant-Like Effects through Upregulation of the BDNF Signaling Pathway and Neuroprotection. International Journal of Molecular Sciences, 2019 (PubMed: 30625977) [IF=5.6]

Application: WB    Species: rat    Sample: hippocampus

Figure 6.| ZL activated cAMP-CREB-BDNF signaling. (A–C) Protein expressions of BDNF, p-CREB and CREB in the hippocampus at the end of experiment determined by western blotting.Quantified protein level was normalized to that of GAPDH using densitometry (n = 3)

9). Lactate supplementation after hypoglycemia alleviates cognitive dysfunction induced by recurrent non-severe hypoglycemia in diabetic mice. Experimental neurology, 2025 (PubMed: 39481512) [IF=5.3]

10). Effects of Lifelong Exercise on Age-Related Body Composition, Oxidative Stress, Inflammatory Cytokines, and Skeletal Muscle Proteome in Rats. MECHANISMS OF AGEING AND DEVELOPMENT, 2020 (PubMed: 32422206) [IF=5.3]

Application: WB    Species: rat    Sample: gastrocnemius muscles

Fig. 6. |Expression of AKT/FOXO1 signaling pathway (A); mitochondrial function markers(B); BDNF signaling-related proteins (C); and representative confocal microscopy images of BDNF staining (green, magnification: ×40,scale Bar 50 μm) (D: a, 8 M–SED; b, 26 M–SED;c, 18 M–MICT; d, 8 M–MICT); and serum BDNF levels (E); and correlation analysis (F).

Application: IF/ICC    Species: rat    Sample: gastrocnemius muscles

Fig. 6. |Expression of AKT/FOXO1 signaling pathway (A); mitochondrial function markers(B); BDNF signaling-related proteins (C); and representative confocal microscopy images of BDNF staining (green, magnification: ×40,scale Bar 50 μm) (D: a, 8 M–SED; b, 26 M–SED;c, 18 M–MICT; d, 8 M–MICT); and serum BDNF levels (E); and correlation analysis (F).

加载更多

限制条款

产品的规格、报价、验证数据请以官网为准,官网链接:www.affbiotech.com | www.affbiotech.cn(简体中文)| www.affbiotech.jp(日本語)

产品的数据信息为Affinity所有,未经授权不得收集Affinity官网数据或资料用于商业用途,对抄袭产品数据的行为我们将保留诉诸法律的权利。

产品相关数据会因产品批次、产品检测情况随时调整,如您已订购该产品,请以订购时随货说明书为准,否则请以官网内容为准,官网内容有改动时恕不另行通知。

Affinity保证所销售产品均经过严格质量检测。如您购买的商品在规定时间内出现问题需要售后时,请您在Affinity官方渠道提交售后申请。

产品仅供科学研究使用。不用于诊断和治疗。 

产品未经授权不得转售。

Affinity Biosciences将不会对在使用我们的产品时可能发生的专利侵权或其他侵权行为负责。Affinity Biosciences, Affinity Biosciences标志和所有其他商标所有权归Affinity Biosciences LTD.