产品: TPM3 抗体
货号: DF6338
描述: Rabbit polyclonal antibody to TPM3
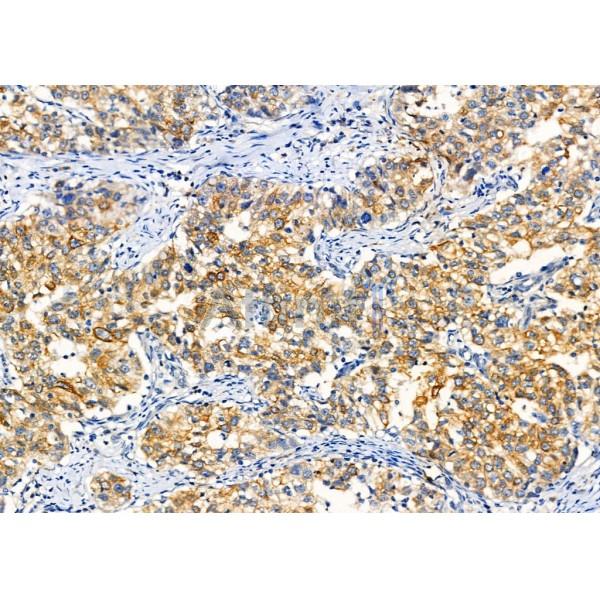
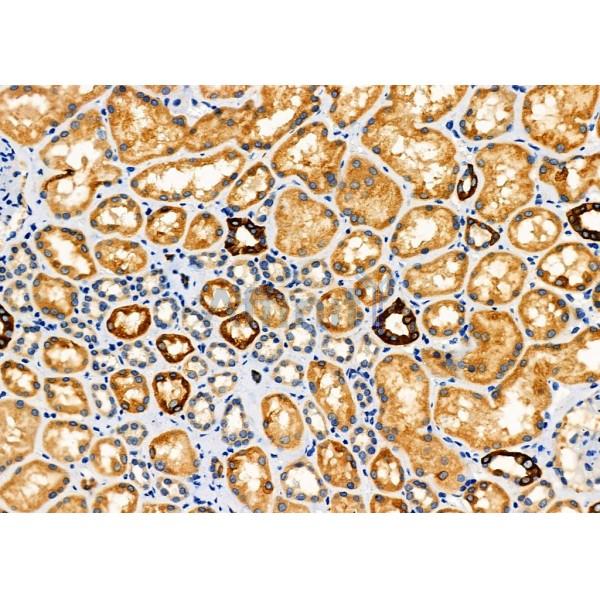
应用: WB IHC IF/ICC
文献验证: WB, IHC
反应: Human, Mouse, Rat
预测: Pig, Bovine, Horse, Sheep, Rabbit, Dog
蛋白号: P06753
RRID: AB_2838302

浏览相似产品>>

   规格 价格 库存
 50ul RMB¥ 1000 1250 现货
 100ul RMB¥ 1840 2300 现货
 200ul RMB¥ 3000 现货

货期: 当天发货

联系销售

产品描述

来源:
Rabbit
应用:
WB 1:500-1:2000, IHC 1:50-1:200, IF/ICC 1:100-1:500
*The optimal dilutions should be determined by the end user. For optimal experimental results, antibody reuse is not recommended.
*Tips:

WB: 适用于变性蛋白样本的免疫印迹检测. IHC: 适用于组织样本的石蜡(IHC-p)或冰冻(IHC-f)切片样本的免疫组化/荧光检测. IF/ICC: 适用于细胞样本的荧光检测. ELISA(peptide): 适用于抗原肽的ELISA检测.

反应:
Human, Mouse, Rat
克隆:
Polyclonal
特异性:
TPM3 Antibody detects endogenous levels of total TPM3.
RRID:
AB_2838302
引用格式: Affinity Biosciences Cat# DF6338, RRID:AB_2838302.
偶联:
Unconjugated.
纯化:
The antiserum was purified by peptide affinity chromatography using SulfoLink™ Coupling Resin (Thermo Fisher Scientific).
保存:
Rabbit IgG in phosphate buffered saline , pH 7.4, 150mM NaCl, 0.02% sodium azide and 50% glycerol. Store at -20 °C. Stable for 12 months from date of receipt.
别名:

展开/折叠

Alpha tropomyosin 3; Alpha tropomyosin slow skeletal; CFTD; Cytoskeletal tropomyosin TM30; FLJ41118; gamma TM; Gamma tropomyosin; Gamma-tropomyosin; Heat stable cytoskeletal protein 30 kDa; hscp30; hTM30nm; hTM5; hTMnm; MGC102590; MGC14582; MGC3261; MGC72094; NEM1; OK/SW-cl.5; OTTHUMP00000034019; OTTHUMP00000034171; OTTHUMP00000034172; TM 5; TM-5; TM3; TM30; TM30nm; TM5; Tm5NM; Tpm 5; TPM3; TPM3/NTRK1 FUSION GENE, INCLUDED; TPM3_HUMAN; Tpm5; TPMsk3; TRK; TRK ONCOGENE, INCLUDED; Trop 5; Tropomyosin 3; Tropomyosin 3 gamma; Tropomyosin 5; Tropomyosin alpha 3 chain; Tropomyosin alpha-3 chain; Tropomyosin gamma; Tropomyosin-3; Tropomyosin-5;

抗原和靶标

免疫原:

A synthesized peptide derived from human TPM3, corresponding to a region within N-terminal amino acids.

基因/基因ID:
描述:
This gene encodes a member of the tropomyosin family of actin-binding proteins involved in the contractile system of striated and smooth muscles and the cytoskeleton of non-muscle cells. Tropomyosins are dimers of coiled-coil proteins that polymerize end-to-end along the major groove in most actin filaments. They provide stability to the filaments and regulate access of other actin-binding proteins. In muscle cells, they regulate muscle contraction by controlling the binding of myosin heads to the actin filament. Mutations in this gene result in autosomal dominant nemaline myopathy, and oncogenes formed by chromosomal translocations involving this locus are associated with cancer. Multiple transcript variants encoding different isoforms have been found for this gene. [provided by RefSeq, Jul 2008]

研究领域

· Human Diseases > Cancers: Overview > Pathways in cancer.   (View pathway)

· Human Diseases > Cancers: Specific types > Thyroid cancer.   (View pathway)

· Human Diseases > Cardiovascular diseases > Hypertrophic cardiomyopathy (HCM).

· Human Diseases > Cardiovascular diseases > Dilated cardiomyopathy (DCM).

· Organismal Systems > Circulatory system > Cardiac muscle contraction.   (View pathway)

· Organismal Systems > Circulatory system > Adrenergic signaling in cardiomyocytes.   (View pathway)

文献引用

1). Physical interaction of tropomyosin 3 and STIM1 regulates vascular smooth muscle contractility and contributes to hypertension. BIOMEDICINE & PHARMACOTHERAPY, 2021 (PubMed: 33341060) [IF=6.9]

Application: WB    Species: Rat    Sample: vascular smooth muscle cell (VSMC)

Fig. 1. STIM1 and TPM3 Interact and colocalization. A) Five genes are shown having a correlation coefficient with STIM1 greater than 0.7. The X-axis represents the results of each of 80 samples across 11 organs and four age groups; the Y-axis represents the expression levels of the five genes in each sample. Expression levels of TPM3 are highly correlated with those of STIM1, with both proteins highly expressed in numerous tissues and organs. B and C) Representative images of a coimmunoprecipitation (co-IP) experiment. Panel B shows that protein from the mesenteric resistance artery (MRA) is precipitated by a STIM1 antibody and detected by a TPM3 antibody. Panel C shows that protein from the MRA is precipitated by a TPM3 antibody and detected by a STIM1 antibody. Panels B and C also show immunoblots (IB) of cell lysates. D and E) Identification of primary cultured vascular smooth muscle cells (VSMCs). Positive green fluorescence is observed in VSMCs treated with an antibody to smooth muscle α-actin (α-SMA) (D). No immunofluorescence is observed in the negative control (Phosphate Buffered Saline, replaced primary antibody in E). F) Colocalization of STIM1 and TPM3 in VSMCs. Red fluorescence represents TPM3; green fluorescence represents STIM1; blue fluorescence refers nucleus. Merged image indicates STIM1 and TPM3 co-localization. FPKM represents fragments per kilobase of exon model per million reads mapped (For interpretation of the references to colour in this figure legend, the reader is referred to the web version of this article).

2). Identification and validation of protein biomarkers for predicting gastrointestinal stromal tumor recurrence. Computational and structural biotechnology journal, 2024 (PubMed: 38455069) [IF=4.4]

Application: IHC    Species: human    Sample: GIST tissues

Fig. 4. Expressions of GPX4, RBM4, TPM3, PFKFB2, PGAM5 in primary GIST tissues from 23 recurrent and 25 non-recurrent patients. Representative IHC staining (100X and 400X) and quantification of five random fields by mean of integrated optical density (IOD) using Image-Pro Plus in different markers and groups. (*P 

限制条款

产品的规格、报价、验证数据请以官网为准,官网链接:www.affbiotech.com | www.affbiotech.cn(简体中文)| www.affbiotech.jp(日本語)

产品的数据信息为Affinity所有,未经授权不得收集Affinity官网数据或资料用于商业用途,对抄袭产品数据的行为我们将保留诉诸法律的权利。

产品相关数据会因产品批次、产品检测情况随时调整,如您已订购该产品,请以订购时随货说明书为准,否则请以官网内容为准,官网内容有改动时恕不另行通知。

Affinity保证所销售产品均经过严格质量检测。如您购买的商品在规定时间内出现问题需要售后时,请您在Affinity官方渠道提交售后申请。

产品仅供科学研究使用。不用于诊断和治疗。 

产品未经授权不得转售。

Affinity Biosciences将不会对在使用我们的产品时可能发生的专利侵权或其他侵权行为负责。Affinity Biosciences, Affinity Biosciences标志和所有其他商标所有权归Affinity Biosciences LTD.