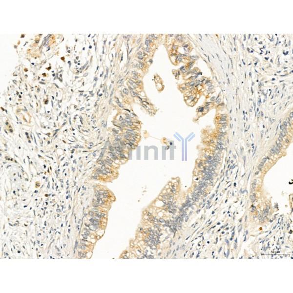
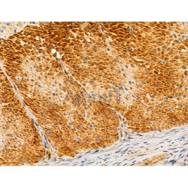
产品: TGFBR1 抗体
货号: AF5347
描述: Rabbit polyclonal antibody to TGFBR1
应用: WB IHC IF/ICC
文献验证: WB, IHC, IF/ICC
反应: Human, Mouse, Rat
预测: Pig, Bovine, Sheep, Rabbit, Dog, Xenopus
蛋白号: P36897
RRID: AB_2837832

浏览相似产品>>

   规格 价格 库存
 50ul RMB¥ 1000 1250 现货
 100ul RMB¥ 1840 2300 现货
 200ul RMB¥ 3000 现货

货期: 当天发货

联系销售

产品描述

来源:
Rabbit
应用:
WB 1:500-1:2000, IF/ICC 1:100-1:500, IHC 1:50-1:200
*The optimal dilutions should be determined by the end user. For optimal experimental results, antibody reuse is not recommended.
*Tips:

WB: 适用于变性蛋白样本的免疫印迹检测. IHC: 适用于组织样本的石蜡(IHC-p)或冰冻(IHC-f)切片样本的免疫组化/荧光检测. IF/ICC: 适用于细胞样本的荧光检测. ELISA(peptide): 适用于抗原肽的ELISA检测.

反应:
Human, Mouse, Rat
克隆:
Polyclonal
特异性:
TGFBR1 Antibody detects endogenous levels of total TGFBR1.
RRID:
AB_2837832
引用格式: Affinity Biosciences Cat# AF5347, RRID:AB_2837832.
偶联:
Unconjugated.
纯化:
The antiserum was purified by peptide affinity chromatography using SulfoLink™ Coupling Resin (Thermo Fisher Scientific).
保存:
Rabbit IgG in phosphate buffered saline , pH 7.4, 150mM NaCl, 0.02% sodium azide and 50% glycerol. Store at -20 °C. Stable for 12 months from date of receipt.
别名:

展开/折叠

AAT 5; AAT5; Activin A receptor type II like kinase 53kDa; Activin A receptor type II like kinase, 53kD; Activin A receptor type II like protein kinase of 53kD; activin A receptor type II-like kinase, 53kDa; activin A receptor type II-like protein kinase of 53kD; Activin receptor like kinase 5; Activin receptor-like kinase 5; ACVRLK 4; ACVRLK4; ALK 5; ALK-5; ALK5; LDS1A; LDS2A; MSSE; Serine/threonine protein kinase receptor R4; Serine/threonine-protein kinase receptor R4; SKR 4; SKR4; TbetaR I; TbetaR-I; TGF beta receptor type 1; TGF beta receptor type I; TGF beta type I receptor; TGF-beta receptor type I; TGF-beta receptor type-1; TGF-beta type I receptor; TGFBR 1; TGFBR1; TGFBR1 protein; TGFR 1; TGFR-1; TGFR1; TGFR1_HUMAN; Transforming growth factor beta receptor 1; Transforming growth factor beta receptor I (activin A receptor type II like kinase, 53kD); Transforming growth factor beta receptor I; transforming growth factor, beta receptor 1; transforming growth factor, beta receptor I (activin A receptor type II-like kinase, 53kD); Transforming growth factor-beta receptor type I;

抗原和靶标

免疫原:

A synthesized peptide derived from human TGFBR1, corresponding to a region within the internal amino acids.

基因/基因ID:
描述:
On ligand binding, forms a receptor complex consisting of two type II and two type I transmembrane serine/threonine kinases. Type II receptors phosphorylate and activate type I receptors which autophosphorylate, then bind and activate SMAD transcriptional regulators. Receptor for TGF-beta.

研究领域

· Cellular Processes > Transport and catabolism > Endocytosis.   (View pathway)

· Cellular Processes > Cell growth and death > Cellular senescence.   (View pathway)

· Cellular Processes > Cellular community - eukaryotes > Adherens junction.   (View pathway)

· Environmental Information Processing > Signal transduction > MAPK signaling pathway.   (View pathway)

· Environmental Information Processing > Signaling molecules and interaction > Cytokine-cytokine receptor interaction.   (View pathway)

· Environmental Information Processing > Signal transduction > FoxO signaling pathway.   (View pathway)

· Environmental Information Processing > Signal transduction > TGF-beta signaling pathway.   (View pathway)

· Environmental Information Processing > Signal transduction > Apelin signaling pathway.   (View pathway)

· Environmental Information Processing > Signal transduction > Hippo signaling pathway.   (View pathway)

· Human Diseases > Infectious diseases: Parasitic > Chagas disease (American trypanosomiasis).

· Human Diseases > Infectious diseases: Viral > Hepatitis B.

· Human Diseases > Infectious diseases: Viral > HTLV-I infection.

· Human Diseases > Cancers: Overview > Pathways in cancer.   (View pathway)

· Human Diseases > Cancers: Specific types > Colorectal cancer.   (View pathway)

· Human Diseases > Cancers: Specific types > Pancreatic cancer.   (View pathway)

· Human Diseases > Cancers: Specific types > Chronic myeloid leukemia.   (View pathway)

· Human Diseases > Cancers: Specific types > Hepatocellular carcinoma.   (View pathway)

· Human Diseases > Cancers: Specific types > Gastric cancer.   (View pathway)

· Organismal Systems > Development > Osteoclast differentiation.   (View pathway)

· Organismal Systems > Immune system > Th17 cell differentiation.   (View pathway)

· Organismal Systems > Endocrine system > Relaxin signaling pathway.

文献引用

1). Double-Layer Nanofibrous Sponge Tube via Electrospun Fiber and Yarn for Promoting Urethral Regeneration. Advanced Fiber Materials, 2023 [IF=17.2]

2). Neuraminidase 1 promotes renal fibrosis development in male mice. Nature communications, 2023 (PubMed: 36973294) [IF=16.6]

Application: WB    Species: human    Sample: HK-2 cells

Fig. 7: NEU1 stabilizes ALK5 and enhances ALK5-SMAD2/3 signaling pathway. a, b HK-2 cells transfected with siNEU1 (a) or NEU1 full-length plasmid (b) for 24 h and treated with TGFβ (10 ng/ml) for 24 h. Then the cells were incubated with cycloheximide (CHX, 20 μg/ml) for the indicated periods of time (0, 2, 4, 8, 12, 24 h) (left). Lysates were harvested from the cells and analyzed by western blots. Quantitation of ALK5 protein levels were shown in the right pane. n = 3 samples per group. Unpaired t-test. c–f Western blots (c, e) and quantitative results (d, f) of p-ALK5, ALK5, p-SMAD2/3, and SMAD2/3 in HK-2 cells transfected with siNEU1 or NEU1 plasmid for 24 h and treated with TGFβ (10 ng/ml) for 24 h. n = 3 samples per group. Relative protein levels were shown after normalization to GAPDH. One-way ANOVA followed by Tukey’s multiple comparisons test. g, h Western blots (g) and quantitative results (h) of p-ALK5, p-SMAD2/3, and SMAD2/3 in HK-2 cells transfected with NEU1 and ALK5160-200 plasmid for 24 h and treated with TGFβ (10 ng/ml) for 24 h. n = 3 samples per group. Relative protein levels were shown after normalization to GAPDH. One-way ANOVA followed by Tukey’s multiple comparisons test. i Co-immunoprecipitation of NEU1 and ALK5 in HK-2 cells stimulated with TGFβ (10 ng/ml) for 24 h. λpp, Lambda Protein Phosphatase. Two independent experiments were performed. j Western blots of ALK5 in HK-2 cells. siALK5-1, siALK5-2, and siALK5-3 were 3 different siRNA sequences. HK-2 cells were transduced with siALK5 for 48 h. Two independent experiments were performed. k–m mRNA levels of KIM1 (k) and protein level of p-ALK5, p-SMAD2/3, and SMAD2/3 (l, m) in HK-2 cells transduced with NEU1 full-length plasmid and ALK5 siRNA for 48 h. KIM1 mRNA normalized to GAPDH. Relative protein levels were shown after normalization to GAPDH. k n = 3 samples per group. l, m n = 3 samples per group. Two-way ANOVA followed by Tukey’s multiple comparisons test. n The proposed mechanisms of NEU1-mediated renal fibrosis. All statistic data were presented as mean ± SD. All tests were two-tailed.

3). Excessive MYC Orchestrates Macrophages induced Chromatin Remodeling to Sustain Micropapillary-Patterned Malignancy in Lung Adenocarcinoma. Advanced science (Weinheim, Baden-Wurttemberg, Germany), 2025 (PubMed: 39899538) [IF=15.1]

4). Beauvericin suppresses the proliferation and pulmonary metastasis of osteosarcoma by selectively inhibiting TGFBR2 pathway. International Journal of Biological Sciences, 2023 (PubMed: 37781043) [IF=8.2]

Application: WB    Species: Mouse    Sample: OS cells

Figure 2 BEA inhibits the TGF-β/Smad2/3 signaling pathway in OS cells. (A) KEGG pathway enrichment analysis in BEA-treated and untreated 143B cells. (B) The effect of BEA on the TGF-β1-induced phosphorylation of Smad2/3, TGFBR1, and TGFBR2 in OS cells was evaluated by Western blotting. (C) Cellular immunofluorescence assay was performed to assess the nuclear translocation of p-Smad2/3 in OS cells treated with BEA. Scale bar: 20 μm. (D) The transcriptional activity of Smad2/3 in OS cells treated as indicated was determined by a Smad2/3 luciferase reporter assay. (E) 143B and U2OS cells were treated with BEA (2 μM) for 24 h and total RNA was harvested and analyzed by qPCR. Quantification of the mRNA levels of COL1A1, COL3A1, COL6A1, COL10A1, MMP2, LOX, LOXL2 in OS cells.

5). Loss of Smooth Muscle Tenascin-X Inhibits Vascular Remodeling Through Increased TGF-β Signaling. Arteriosclerosis, thrombosis, and vascular biology, 2024 (PubMed: 38934115) [IF=7.4]

Application: IHC    Species: Mouse    Sample:

Figure 5. TGF-β (transforming growth factor-β) signaling is responsible for the effect of smooth muscle TN-X (tenascin-X) deficiency after carotid artery ligation. A, Experimental design of carotid artery ligation combined with control IgG or anti-TGF-β antibody treatment. B, Representative images of carotid arteries from SMC-Tnxb-KO mice after treatment with control IgG or anti-TGF-β antibodies and carotid artery ligation stained with elastic stain. The bar diagram shows the neointima areas in sections at the indicated distances from the ligation site (n=6 animals per group). C through F, Comparative analysis of control, SMC-Tnxb-KO, and SMC-Tnxb/Tgfbr1/Tgfbr2-KO mice 7 days after carotid artery ligation. Shown are representative images of the immunostained vessels (C), the αSMA (α-smooth muscle actin) staining intensity normalized to carotid media area (D), and the percentage of phospho-SMAD2 (SMAD family member 2)–positive area in carotid media area (E). F, The bar diagrams show levels of Myh11, Acta2, and Tagln mRNA in the media of ligated carotid arteries as analyzed by quantitative real-time polymerase chain reaction (n=6 animals per group; at least 3 sections were analyzed per animal). G and H, Representative images of carotid arteries from control, SMC-Tnxb-KO, or SMC-Tnxb/Tgfbr1/Tgfbr2-KO mice 4 weeks after ligation. Shown are representative images of the unligated and ligated carotid arteries. The bar diagram shows the statistical analysis of the neointima area at different distances from the ligation site (n=6 animals per group). Bar lengths: 100 µm (B and G) and 50 µm (C). Shown are mean±SEM values (unpaired Student t test [B and F], 1-way ANOVA and Bonferroni post hoc test [D, E, and H]).

6). Caffeic acid mitigates myocardial fibrosis and improves heart function in post-myocardial infarction by inhibiting transforming growth factor-β receptor 1 signaling pathways. Biomedicine & pharmacotherapy = Biomedecine & pharmacotherapie, 2024 (PubMed: 38906025) [IF=6.9]

7). 20(S)-ginsenoside Rg3 exerts anti-fibrotic effect after myocardial infarction by alleviation of fibroblasts proliferation and collagen deposition through TGFBR1 signaling pathways. Journal of ginseng research, 2023 (PubMed: 38107395) [IF=6.8]

Application: WB    Species: Mouse    Sample: CFs

Fig. 6. TGFBR1 overexpression partly abolishes Rg3's inhibition on CFs growth, collagen synthesis, together with Smads activation. (A) CFs were infected with recombinant adenovirus for 48 h, and later stimulated by TGF-β1 (10 ng/ml) and Rg3 (20 μM), and Edu assay was performed to detect CFs proliferation (magnification, 200 × ). Red and blue fluorescence indicate proliferating cells as well as nuclei, separately. (B) Edu-positive cell proportion. (C) Expression of proliferation and collagen-related proteins in CFs following Ad-TGFBR1 or control adenovirus transfection. (D) Protein expression of TGFBR1 signaling in CFs after transfection. Relative PCNA (E), CDK6 (F), Cyclin D1 (G), collagen I (H), collagen III (I), p-TGFBR1 (J), p-Smad2 (K), and p-Smad3 (L) expression. Data are represented by mean ± SD for at least 3 groups. ∗p < 0.05, ∗∗p < 0.01. n.s, not significant.

8). Myricetin suppresses the proliferation and migration of vascular smooth muscle cells and inhibits neointimal hyperplasia via suppressing TGFBR1 signaling pathways. PHYTOMEDICINE, 2021 (PubMed: 34500301) [IF=6.7]

Application: WB    Species:    Sample: VSMCs

Fig. 5.| Adenovirus-mediated TGFBR1 overexpression partially reverses the suppressive impact of myricetin on the activation of TGFBR1 signaling. (A) Forty-eight hours post-infection with negative control Ad-GFP or Ad-TGFBR1, VSMCs were treated with myricetin (60 μM) for 24 h, and western blotting was used to assess pTGFBR1, TGFBR1 and its downstream molecules p-samd3, Smad3, p-Smad2 and Smad2 expression.

Application: WB    Species: Human    Sample: VSMCs

Fig. 4. Myricetin suppresses TGFBR1 signaling pathway activation. (A) Western blotting was used to assess p-TGFBR1, TGFBR1 and its downstream molecules psamd3, Smad3, p-Smad2 and Smad2 expression in cells treated with different doses of myricetin for 24 h. (B-G) The densitometry analysis and quantitative results of (A) (n = 3). Results are shown as mean ± standard deviation (SD). * p < 0.05, ** p < 0.01 compared with the control group.

9). Ethyl ferulate suppresses post-myocardial infarction myocardial fibrosis by inhibiting transforming growth factor receptor 1. Phytomedicine, 2023 (PubMed: 37801895) [IF=6.7]

10). miR-770–5p inhibits the activation of pulmonary fibroblasts and silica-induced pulmonary fibrosis through targeting TGFBR1. ECOTOXICOLOGY AND ENVIRONMENTAL SAFETY, 2021 (PubMed: 34082245) [IF=6.2]

Application: IF/ICC    Species: Human    Sample: MRC-5 cells

Fig. 4. TGFBR1 was a direct target of miR-770–5p. (A) The position of the miR-770–5p target site in the TGFBR1 3’ UTR; Binding sequences between miR-770–5p and 3’UTR of TGFBR1 were highlighted. (B-C) The dual-luciferase reporter assay was performed to identify the binding between TGFBR1 mRNA and miR-770–5p in MRC-5 and HEK293T cells. Luciferase activities were calculated as the ratio of firefly/renilla activities and normalized to the TGFBR1-WT + miR-NC group. (D) qRTPCR analysis of TGFBR1 mRNA expression in MRC-5 cells in MRC-5 transfected with 30 nM of miR-NC or miR-770–5p mimic before treated with 5 ng/mL of TGF-β1 for 48 h. (E) Immunofluorescence analysis of TGFBR1 in MRC-5 cells transfected with 30 nM of miR-NC or miR-770–5p mimic before treated with 5 ng/mL of TGF-β1 for 48 h; Red represents TGFBR1 staining; Blue represents nuclear DNA staining by DAPI; Bars = 25 µm. (F) Western blot analysis of TGFBR1 expression in MRC-5 transfected with 30 nM of miR-NC or miR-770–5p mimic before treated with 5 ng/mL of TGF-β1 for 48 h. (G) qRT-PCR analysis of TGFBR1 mRNA expression in lung tissues of mice exposed to silica. (H) qRT-PCR analysis of TGFBR1 mRNA expression in lung tissues of silicosis patients. All the data are expressed as the means ± SD of at least 3 independent experiments. *P < 0.05 vs. the control/normal group; #P < 0.05 vs. The TGF-β1 plus miR-NC group.

加载更多

限制条款

产品的规格、报价、验证数据请以官网为准,官网链接:www.affbiotech.com | www.affbiotech.cn(简体中文)| www.affbiotech.jp(日本語)

产品的数据信息为Affinity所有,未经授权不得收集Affinity官网数据或资料用于商业用途,对抄袭产品数据的行为我们将保留诉诸法律的权利。

产品相关数据会因产品批次、产品检测情况随时调整,如您已订购该产品,请以订购时随货说明书为准,否则请以官网内容为准,官网内容有改动时恕不另行通知。

Affinity保证所销售产品均经过严格质量检测。如您购买的商品在规定时间内出现问题需要售后时,请您在Affinity官方渠道提交售后申请。

产品仅供科学研究使用。不用于诊断和治疗。 

产品未经授权不得转售。

Affinity Biosciences将不会对在使用我们的产品时可能发生的专利侵权或其他侵权行为负责。Affinity Biosciences, Affinity Biosciences标志和所有其他商标所有权归Affinity Biosciences LTD.