产品: HSD11B1 抗体
货号: DF3972
描述: Rabbit polyclonal antibody to HSD11B1
应用: WB IHC IF/ICC
文献验证: WB, IHC, IF/ICC
反应: Human, Mouse, Rat
预测: Bovine, Horse, Sheep, Rabbit
蛋白号: P28845
RRID: AB_2836325

浏览相似产品>>

   规格 价格 库存
 50ul RMB¥ 1250 现货
 100ul RMB¥ 2300 现货
 200ul RMB¥ 3000 现货

货期: 当天发货

联系销售

产品描述

来源:
Rabbit
应用:
WB 1:500-1:1000, IHC 1:50-1:200, IF/ICC 1:100-1:500
*The optimal dilutions should be determined by the end user. For optimal experimental results, antibody reuse is not recommended.
*Tips:

WB: 适用于变性蛋白样本的免疫印迹检测. IHC: 适用于组织样本的石蜡(IHC-p)或冰冻(IHC-f)切片样本的免疫组化/荧光检测. IF/ICC: 适用于细胞样本的荧光检测. ELISA(peptide): 适用于抗原肽的ELISA检测.

反应:
Human, Mouse, Rat
克隆:
Polyclonal
特异性:
HSD11B1 Antibody detects endogenous levels of total HSD11B1.
RRID:
AB_2836325
引用格式: Affinity Biosciences Cat# DF3972, RRID:AB_2836325.
偶联:
Unconjugated.
纯化:
The antiserum was purified by peptide affinity chromatography using SulfoLink™ Coupling Resin (Thermo Fisher Scientific).
保存:
Rabbit IgG in phosphate buffered saline , pH 7.4, 150mM NaCl, 0.02% sodium azide and 50% glycerol. Store at -20 °C. Stable for 12 months from date of receipt.
别名:

展开/折叠

11 beta HSD 1; 11 beta HSD1; 11 beta hydroxysteroid dehydrogenase 1; 11 DH; 11-beta hydroxysteroid dehydrogenase, type 1; 11-beta-HSD1; 11-beta-hydroxysteroid dehydrogenase 1; 11-DH; 11DH; Corticosteroid 11 beta dehydrogenase isozyme 1; Corticosteroid 11-beta-dehydrogenase isozyme 1; CORTRD2; DHI1_HUMAN; HDL; HSD 11; HSD11; HSD11B; HSD11B1; HSD11L; Hydroxysteroid (11 beta) dehydrogenase; Hydroxysteroid (11 beta) dehydrogenase 1; MGC13539; SDR26C1; short chain dehydrogenase/reductase family 26C, member 1;

抗原和靶标

免疫原:

A synthesized peptide derived from human HSD11B1, corresponding to a region within N-terminal amino acids.

基因/基因ID:

研究领域

· Human Diseases > Cancers: Overview > Chemical carcinogenesis.

· Metabolism > Lipid metabolism > Steroid hormone biosynthesis.

· Metabolism > Xenobiotics biodegradation and metabolism > Metabolism of xenobiotics by cytochrome P450.

· Metabolism > Global and overview maps > Metabolic pathways.

文献引用

1). Sp1 participates in the cadmium-induced imbalance of the placental glucocorticoid barrier by suppressing 11β-HSD2 expression. ENVIRONMENTAL POLLUTION, 2020 (PubMed: 32044612) [IF=7.6]

Application: WB    Species: rat    Sample: placenta

Fig. 4. Effects of Cd on 11b-HSD1/11b-HSD2/Sp1 expression. (AeD) RT-PCR and WB of 11b-HSD1/11b-HSD2/Sp1 mRNA and protein expression, n ¼ 10. (EeH) ChIP of Sp1 and p300 enrichment to the 11b-HSD2 promoter, n test (EeH). (mean ± S.E.M.,*P < 0.05,**P <¼ 0.01 compare to NP group). 3. The difference between two groups was conducted by Student’s t-test (BeD), Frequency measures were assessed by the chi-square

Application: IF/ICC    Species: rat    Sample: placenta

Fig. 3. Immunofluorescence of 11b-HSD1 and 11b-HSD2 in placenta and their optical density (magnification of 400  ), n ¼ 3. The difference between two groups was conducted by Student’s t-test. (mean ± S.E.M.,**P < 0.01 compare to NP group).

2). Comparative Analysis of the Effects of Maternal Hypoxia and Placental Ischemia on HIF1-Dependent Metabolism and the Glucocorticoid System in the Embryonic and Newborn Rat Brain. International journal of molecular sciences, 2024 (PubMed: 39769106) [IF=5.6]

Application: WB    Species: Rat    Sample:

Figure 3. The effect of MH and PI on mRNA levels of the hsd11b1 and hsd11b2 in the MP (a) and FP (b) at e15 and e20, detected by RT PCR. The effect of MH and PI on the protein expression levels of HSD11B1 and HSD11B2 in the MP (c) and HSD11B2 in the FP (d) at e15 and e20, detected by Western blotting. (b) mRNA levels of hsd11b2: e15: ** p < 0.01 vs. control (Welch ANOVA, Dunnett’s test). (c) HSD11B2 protein levels: e20: ** p < 0.01 vs. control (Student’s test).

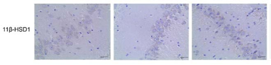
3). Effects of high temperature and high humidity stress on the negative feedback regulation of hippocampus on HPA axis in rats. Neuro endocrinology letters, 2021 (PubMed: 34506095)

Application: IHC    Species: Rat    Sample:

Fig. 1. Effects of high temperature and high humidity stress on the protein levels of MR, GR, iNOS, TRPV1 and 11β-HSD1 in rat hippocampus, determined with immunohistochemistry. The results were observed and captured with digital trinocular imaging microscopy system (magnification: *400). The optical density analysis of the images was applied for quantifying the protein level and expressed as x −±sd. Note: “*” indicated P

限制条款

产品的规格、报价、验证数据请以官网为准,官网链接:www.affbiotech.com | www.affbiotech.cn(简体中文)| www.affbiotech.jp(日本語)

产品的数据信息为Affinity所有,未经授权不得收集Affinity官网数据或资料用于商业用途,对抄袭产品数据的行为我们将保留诉诸法律的权利。

产品相关数据会因产品批次、产品检测情况随时调整,如您已订购该产品,请以订购时随货说明书为准,否则请以官网内容为准,官网内容有改动时恕不另行通知。

Affinity保证所销售产品均经过严格质量检测。如您购买的商品在规定时间内出现问题需要售后时,请您在Affinity官方渠道提交售后申请。

产品仅供科学研究使用。不用于诊断和治疗。 

产品未经授权不得转售。

Affinity Biosciences将不会对在使用我们的产品时可能发生的专利侵权或其他侵权行为负责。Affinity Biosciences, Affinity Biosciences标志和所有其他商标所有权归Affinity Biosciences LTD.