产品: IL17RA 抗体
货号: DF3602
描述: Rabbit polyclonal antibody to IL17RA
应用: WB IHC IF/ICC
文献验证: WB, IHC
反应: Human, Mouse, Rat
预测: Pig, Bovine, Horse, Rabbit, Dog
蛋白号: Q96F46
RRID: AB_2835974

浏览相似产品>>

   规格 价格 库存
 50ul RMB¥ 1000 1250 现货
 100ul RMB¥ 1840 2300 现货
 200ul RMB¥ 3000 现货

货期: 当天发货

联系销售

产品描述

来源:
Rabbit
应用:
WB 1:500-1:1000, IF/ICC 1:100-1:500, IHC 1:50-1:200
*The optimal dilutions should be determined by the end user. For optimal experimental results, antibody reuse is not recommended.
*Tips:

WB: 适用于变性蛋白样本的免疫印迹检测. IHC: 适用于组织样本的石蜡(IHC-p)或冰冻(IHC-f)切片样本的免疫组化/荧光检测. IF/ICC: 适用于细胞样本的荧光检测. ELISA(peptide): 适用于抗原肽的ELISA检测.

反应:
Human, Mouse, Rat
克隆:
Polyclonal
特异性:
IL17RA Antibody detects endogenous levels of total IL17RA.
RRID:
AB_2835974
引用格式: Affinity Biosciences Cat# DF3602, RRID:AB_2835974.
偶联:
Unconjugated.
纯化:
The antiserum was purified by peptide affinity chromatography using SulfoLink™ Coupling Resin (Thermo Fisher Scientific).
保存:
Rabbit IgG in phosphate buffered saline , pH 7.4, 150mM NaCl, 0.02% sodium azide and 50% glycerol. Store at -20 °C. Stable for 12 months from date of receipt.
别名:

展开/折叠

CANDF5; CD217; CD217 antigen; CDw217; CTLA8; HIL 17R; hIL17R; I17RA_HUMAN; IL 17 receptor A; IL 17 receptor; IL 17RA; IL-17 receptor A; IL-17RA; IL17; IL17A receptor; IL17R; IL17RA; IMD51; Interleukin 17 receptor A; Interleukin-17 receptor A; MGC10262;

抗原和靶标

免疫原:

A synthesized peptide derived from human IL17RA, corresponding to a region within N-terminal amino acids.

基因/基因ID:

研究领域

· Environmental Information Processing > Signaling molecules and interaction > Cytokine-cytokine receptor interaction.   (View pathway)

· Organismal Systems > Immune system > IL-17 signaling pathway.   (View pathway)

文献引用

1). Gingerenone A Attenuates Ulcerative Colitis via Targeting IL-17RA to Inhibit Inflammation and Restore Intestinal Barrier Function. Advanced science (Weinheim, Baden-Wurttemberg, Germany), 2024 (PubMed: 38639442) [IF=15.1]

Application: WB    Species: Mouse    Sample:

Figure 4. Effect of GA on regulating IL‐17RA signaling and downstream signaling in DSS‐induced colitis mice. A) KEGG analysis. B) Heatmap of IL‐17RA signaling and downstream signaling genes. C) The fold change (fc), p value and false discovery rate (FDR) of IL‐17 signaling key genes. D) Circos represents different genes and different groups, the innermost lines showed the connections between the genes and groups. The thickness of the lines indicates the expressions levels of genes. E–G) Western blot analysis for IL‐17 signaling and downstream signaling proteins in colonic tissues of colitis mice. All data are expressed as mean ± S.E.M (n = 3). *P < 0.05 and **P < 0.01 compared with the control group, #P < 0.05 and ## P < 0.01 compared with the DSS group.

2). Alhagi camelorum seed polysaccharide alleviates methylglyoxal-induced skin damage via antioxidant and anti-inflammatory actions. International journal of biological macromolecules, 2025 (PubMed: 40311972) [IF=7.7]

3). IL-17a promotes hepatocellular carcinoma by increasing FAP expression in hepatic stellate cells via activation of the STAT3 signaling pathway. Cell death discovery, 2024 (PubMed: 38740736) [IF=7.0]

4). Development and Validation of a 7-Gene Inflammatory Signature Forecasts Prognosis and Diverse Immune Landscape in Lung Adenocarcinoma. Frontiers in Molecular Biosciences, 2022 (PubMed: 35372503) [IF=5.0]

Application: WB    Species: human    Sample: bronchial epithelial cell line (16-HBS) and lung adenocarcinoma cell line (A549)

FIGURE 10 | Protein expression of seven model genes. (A–C) Immunohistochemical staining images of MMP14 (A), PCDH7 (B), and LAMP3 (C) from the HPA database. (D) Western blotting results shows the protein expression of BTG2, TLR2, CCL20, and IL7R in a normal bronchial epithelial cell line (16-HBS) and lung adenocarcinoma cell line (A549).

5). Fuyuan Huoxue decoction ameliorates CFA-induced pain by modulating chemokine and IL-17 signaling pathways. Journal of ethnopharmacology, 2026 (PubMed: 41237869) [IF=4.8]

6). Cornuside protects against ischemic stroke in rats by suppressing the IL-17F/TRAF6/NF-κB pathway via the brain-gut axis. Experimental neurology, 2024 (PubMed: 38169196) [IF=4.6]

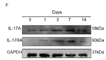
7). FOSL1 promotes keratinocyte migration and wound repair by modulating the IL17 signaling pathway. Scientific reports, 2025 (PubMed: 40355666) [IF=3.8]

Application: WB    Species: Mouse    Sample: traumatic epidermal tissue

Fig. 2 FOSL1 was upregulated in wound tissues. (A) Macroscopy view of wound healing on days 0, 1, 2, 3, 7, 14 mice. Scale bar: 1 mm. (B) A mouse back full-thickness skin resection trauma model in days 0, 1, 2, 3,7, The FOSL1 mRNA expression was determined by qPCR in 14. (C) A mouse back full-thickness skin resection trauma model in days 0, 1, 2, 3, 7, 14 FOSL1 protein expression was determined by Western Blot. (D) Quantification of C. All bars represent mean ± SD (n = 6). (E) qPCR detection of IL17A and IL17RA mRNA expression in traumatic epidermal tissue. (F, G) Western Blot test for the expression of IL17A and IL17RA proteins in traumatic epidermal tissue; Quantification of F. All bars represent mean ± SD (n = 3). *, P 

8). Moxibustion Enhances Ovarian Function by Inhibiting the Th17/IL-17 Pathway and Regulating Gut Microbiota in POI Rats. American journal of reproductive immunology (New York, N.Y. : 1989), 2025 (PubMed: 40322835) [IF=2.5]

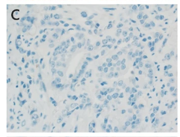
9). Prolonged neoadjuvant hormonal therapy enhances IL-17 A/STAT3-mediated inflammation in prostate cancer. Discover oncology, 2025 (PubMed: 41236589) [IF=2.2]

Application: IHC    Species: human    Sample: prostate cancer tissue

Fig. 2 Immunohistochemical staining and scoring of prostate cancer tissue and para-carcinoma tissue after NHT(×400). A IL-17 A in prostate cancer tissue(×400) B. IL-17 A in para-carcinoma tissue(×400) C. IL-17RA in prostate cancer tissue (×400) D. IL-17RA in para-carcinoma tissue(×400) E. IL-17RC in prostate cancer tissue(×400) F. IL-17RC in para-carcinoma tissue(×400) G. IL-17 A in PCa was significantly higher than that in NP (P 

10). The IL-17 Receptor a Inhibitor Gingerenone a Inhibits IL-17RA-Dependent Inflammation in Colitis Mice and Organoids. , 2023

Application: WB    Species: Mouse    Sample:

Fig. 4: Effect of GA on regulating IL-17 signal and downstream signals in DSS - induced colitis mice. (A) KEGG analysis. (B) Heatmap of IL-17 signal and downstream signals genes. (C) The fold change (fc), p value and false discovery rate (FDR) of IL-17 signal key genes. (D), (E) and (F) Western blot analysis for IL-17 This preprint research paper has not been peer reviewed. Electronic copy available at: https://ssrn.com/abstract=4526520 Preprint not peer reviewed signal and downstream signals proteins in colonic tissues of colitis mice. (G) Mantel test analysis. (H) Corr_heatmap analysis. All data are expressed as mean ± S.E.M (n=3). *P < 0.05 and **P < 0.01 compared with the control group, #P < 0.05 and ##P < 0.01 compared with the DSS group.

加载更多

限制条款

产品的规格、报价、验证数据请以官网为准,官网链接:www.affbiotech.com | www.affbiotech.cn(简体中文)| www.affbiotech.jp(日本語)

产品的数据信息为Affinity所有,未经授权不得收集Affinity官网数据或资料用于商业用途,对抄袭产品数据的行为我们将保留诉诸法律的权利。

产品相关数据会因产品批次、产品检测情况随时调整,如您已订购该产品,请以订购时随货说明书为准,否则请以官网内容为准,官网内容有改动时恕不另行通知。

Affinity保证所销售产品均经过严格质量检测。如您购买的商品在规定时间内出现问题需要售后时,请您在Affinity官方渠道提交售后申请。

产品仅供科学研究使用。不用于诊断和治疗。 

产品未经授权不得转售。

Affinity Biosciences将不会对在使用我们的产品时可能发生的专利侵权或其他侵权行为负责。Affinity Biosciences, Affinity Biosciences标志和所有其他商标所有权归Affinity Biosciences LTD.