产品: THRB 抗体
货号: AF0357
描述: Rabbit polyclonal antibody to THRB
应用: WB IHC IF/ICC
文献验证: WB, IF/ICC
反应: Human, Mouse, Rat
预测: Pig, Zebrafish, Bovine, Horse, Sheep, Dog
蛋白ID: P00734
RRID: AB_2833522

浏览相似产品>>

   规格 价格 库存
 50ul RMB¥ 1250 现货
 100ul RMB¥ 2300 现货
 200ul RMB¥ 3000 现货

货期: 当天发货

联系销售

产品描述

来源:
Rabbit
应用:
WB 1:500-1:3000, IHC 1:50-1:200, IF/ICC: 1:100-1:500
*The optimal dilutions should be determined by the end user. For optimal experimental results, antibody reuse is not recommended.
*Tips:

WB: 适用于变性蛋白样本的免疫印迹检测. IHC: 适用于组织样本的石蜡(IHC-p)或冰冻(IHC-f)切片样本的免疫组化/荧光检测. IF/ICC: 适用于细胞样本的荧光检测. ELISA(peptide): 适用于抗原肽的ELISA检测.

反应:
Human, Mouse, Rat
克隆:
Polyclonal
特异性:
THRB Antibody detects endogenous levels of total THRB.
RRID:
AB_2833522
引用格式: Affinity Biosciences Cat# AF0357, RRID:AB_2833522.
偶联:
Unconjugated.
纯化:
The antiserum was purified by peptide affinity chromatography using SulfoLink™ Coupling Resin (Thermo Fisher Scientific).
保存:
Rabbit IgG in phosphate buffered saline , pH 7.4, 150mM NaCl, 0.02% sodium azide and 50% glycerol. Store at -20 °C. Stable for 12 months from date of receipt.
别名:

展开/折叠

coagulation factor II (thrombin); Coagulation factor II; F2; Factor II; Prepro coagulation factor II; Prothrombin; prothrombin B-chain; PT; RPRGL2; serine protease; THPH1; THRB; THRB_HUMAN; Thrombin heavy chain;

抗原和靶标

免疫原:

A synthesized peptide derived from human THRB, corresponding to a region within the internal amino acids.

基因/基因ID:
描述:
prothrombin Thrombin, which cleaves bonds after Arg and Lys, converts fibrinogen to fibrin and activates factors V, VII, VIII, XIII, and, in complex with thrombomodulin, protein C. Functions in blood homeostasis, inflammation and wound healing. Belongs to the peptidase S1 family.

研究领域

· Cellular Processes > Cell motility > Regulation of actin cytoskeleton.   (View pathway)

· Environmental Information Processing > Signaling molecules and interaction > Neuroactive ligand-receptor interaction.

· Organismal Systems > Immune system > Complement and coagulation cascades.   (View pathway)

文献引用

1). Cell-cell communication-mediated cell-type-specific parent-of-origin effects in mammals. Nature communications, 2025 (PubMed: 40456771) [IF=16.6]

Application: IF/ICC    Species: pig    Sample:

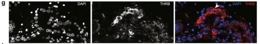
Fig. 2: Cell subtypes of placental trophoblast. a, c UMAP projection of trophoblast subtypes of the E40 (a) and E70 (c) porcine placental tissues. b, d Dot plots showing the expression of representative marker genes for each trophoblast subtype of the E40 (b) and E70 (d) porcine placental tissues. e–h Representative immunofluorescence imaging of sections of placenta stained by DIAPH3 (e), HEPACAM2 (f), THRB (g), and CHST3 (h). Each experiment was conducted three time (n = 3 biological replicates) with similar results. Scale bars, 20 μm. AEC areolar epithelial cell, TPC trophoblast precursor cell, TC trophoblast cell, E40 embryonic day 40, E70 embryonic day 70.

2). Ginsenoside CK targets PHD2 to prevent platelet adhesion and enhance blood circulation by modifying the three-dimensional arrangement of collagen. Acta pharmaceutica Sinica. B, 2025 (PubMed: 40370536) [IF=14.7]

3). Multi-omics analysis reveals the pre-protective mechanism of Dendrobium flexicaule polysaccharide against alcohol-induced gastric mucosal injury. International journal of biological macromolecules, 2025 (PubMed: 39730050) [IF=7.7]

4). Polydatin mitigates thrombosis by inhibiting PHD2-induced proline hydroxylation on collagen, reducing platelet adhesion. Phytomedicine : international journal of phytotherapy and phytopharmacology, 2025 (PubMed: 39826283) [IF=6.7]

5). Development of a necroptosis-related prognostic model for uterine corpus endometrial carcinoma. Scientific reports, 2024 (PubMed: 38383747) [IF=3.8]

Application: WB    Species: Human    Sample: tumor tissues

Figure 5 Immune Infiltration analyse of TICs and identification of prognostic target gene in UCEC. (A) Bar chart depicted the composition of immune cells in each sample from the TCGA-UCEC cohort. (B) Violin plot illustrated the differential infiltration of 22 types of TICs. (C) Venn diagram presented 11 immune-related target genes. (D) Survival analysis demonstrated a significant impact of the THRB gene on prognosis (P 

6). KMT2D Regulates the NCOA6/THRB Signal Axis through Epigenetic Modification to Promote the Migration and Invasion of Papillary Thyroid Cancer. Frontiers in Bioscience - Elite, 2023 (PubMed: 36722273)

Application: WB    Species: Human    Sample: thyroid papillary carcinoma cells

Fig. 3. The mechanism of KMT2D on papillary thyroid carcinoma cells. (a) ChIP assay. (b) qRT-PCR analysis. (c) Western blotting analysis. A, si-NC; B, si-KMT2D (1); C, si- KMT2D (1).

限制条款

产品的规格、报价、验证数据请以官网为准,官网链接:www.affbiotech.com | www.affbiotech.cn(简体中文)| www.affbiotech.jp(日本語)

产品的数据信息为Affinity所有,未经授权不得收集Affinity官网数据或资料用于商业用途,对抄袭产品数据的行为我们将保留诉诸法律的权利。

产品相关数据会因产品批次、产品检测情况随时调整,如您已订购该产品,请以订购时随货说明书为准,否则请以官网内容为准,官网内容有改动时恕不另行通知。

Affinity保证所销售产品均经过严格质量检测。如您购买的商品在规定时间内出现问题需要售后时,请您在Affinity官方渠道提交售后申请。

产品仅供科学研究使用。不用于诊断和治疗。 

产品未经授权不得转售。

Affinity Biosciences将不会对在使用我们的产品时可能发生的专利侵权或其他侵权行为负责。Affinity Biosciences, Affinity Biosciences标志和所有其他商标所有权归Affinity Biosciences LTD.