产品: Collagen I 抗体
货号: AF7001
描述: Rabbit polyclonal antibody to Collagen I
应用: WB IHC IF/ICC
文献验证: WB, IHC, IF/ICC
反应: Human, Mouse, Rat, Bovine
预测: Pig, Zebrafish, Bovine, Horse, Dog, Chicken
蛋白号: P02452 | P08123
RRID: AB_2835309

浏览相似产品>>

   规格 价格 库存
 50ul RMB¥ 1250 现货
 100ul RMB¥ 2300 现货
 200ul RMB¥ 3000 现货

货期: 当天发货

联系销售

产品描述

来源:
Rabbit
应用:
WB 1:500-1:1000, IHC 1:50-1:200, IF/ICC 1:100-1:500
*The optimal dilutions should be determined by the end user. For optimal experimental results, antibody reuse is not recommended.
*Tips:

WB: 适用于变性蛋白样本的免疫印迹检测. IHC: 适用于组织样本的石蜡(IHC-p)或冰冻(IHC-f)切片样本的免疫组化/荧光检测. IF/ICC: 适用于细胞样本的荧光检测. ELISA(peptide): 适用于抗原肽的ELISA检测.

反应:
Human, Mouse, Rat, Bovine
克隆:
Polyclonal
特异性:
Collagen I Antibody detects endogenous levels of total Collagen I.
RRID:
AB_2835309
引用格式: Affinity Biosciences Cat# AF7001, RRID:AB_2835309.
偶联:
Unconjugated.
纯化:
The antiserum was purified by peptide affinity chromatography using SulfoLink™ Coupling Resin (Thermo Fisher Scientific).
保存:
Rabbit IgG in phosphate buffered saline , pH 7.4, 150mM NaCl, 0.02% sodium azide and 50% glycerol. Store at -20 °C. Stable for 12 months from date of receipt.
别名:

展开/折叠

Alpha 1 type I collagen; Alpha 2 type I collagen; alpha 2 type I procollagen; alpha 2(I) procollagen; alpha 2(I)-collagen; Alpha-1 type I collagen; alpha1(I) procollagen; CO1A1_HUMAN; COL1A1; COL1A2; collagen alpha 1 chain type I; Collagen alpha-1(I) chain; collagen alpha-1(I) chain preproprotein; Collagen I alpha 1 polypeptide; Collagen I alpha 2 polypeptide; collagen of skin, tendon and bone, alpha-1 chain; collagen of skin, tendon and bone, alpha-2 chain; Collagen type I alpha 1; Collagen type I alpha 2; EDSC; OI1; OI2; OI3; OI4; pro-alpha-1 collagen type 1; type I proalpha 1; type I procollagen alpha 1 chain; Type I procollagen;

抗原和靶标

免疫原:

A synthesized peptide derived from human Collagen I, corresponding to a region within N-terminal amino acids.

基因/基因ID:
描述:
This gene encodes one of the chains for type I collagen, the fibrillar collagen found in most connective tissues. Mutations in this gene are associated with osteogenesis imperfecta, Ehlers-Danlos syndrome, idiopathic osteoporosis, and atypical Marfan syndrome. Symptoms associated with mutations in this gene, however, tend to be less severe than mutations in the gene for alpha-1 type I collagen since alpha-2 is less abundant.

研究领域

· Cellular Processes > Cellular community - eukaryotes > Focal adhesion.   (View pathway)

· Environmental Information Processing > Signal transduction > PI3K-Akt signaling pathway.   (View pathway)

· Environmental Information Processing > Signaling molecules and interaction > ECM-receptor interaction.   (View pathway)

· Human Diseases > Infectious diseases: Parasitic > Amoebiasis.

· Human Diseases > Infectious diseases: Viral > Human papillomavirus infection.

· Organismal Systems > Immune system > Platelet activation.   (View pathway)

· Organismal Systems > Endocrine system > Relaxin signaling pathway.

· Organismal Systems > Digestive system > Protein digestion and absorption.

文献引用

1). Realizing Highly Efficient Sonodynamic Bactericidal Capability through the Phonon–Electron Coupling Effect Using Two-Dimensional Catalytic Planar Defects. Advanced Materials, 2023 (PubMed: 36524686) [IF=27.4]

Application: WB    Species: Mouse    Sample:

Figure 7 Inflammatory response and bone repair ability in MRSA-infected bony tissue in vivo. The fluorescent images of a) tumor necrosis factor-alpha (TNF-α), c) interleukin-10 (IL-10), e) Runt-related transcription factor 2 (Runx-2), g) Collagen type I (COL I) and the corresponding mean optical intensity of b) TNF-α, d) IL-10, f) Runx-2, and h) COL I in the MRSA-infected bony tissues after treated with different samples for 14 days. The higher mean optical intensity indicates the more expression of the related proteins. Scale bars: 20 µm. Data were taken from independent samples (n = 6). The error bars indicate mean ± standard deviation: *p < 0.05, **p < 0.01, ***p < 0.001, and ****p < 0.0001; ns: not significant (p > 0.05). The statistical analysis was performed using one-way analysis of variance with the Tukey multiple-comparisons test. i) 3D reconstruction (top) and extracted µ-CT images of the corresponding sections (bottom, indicated by the light blue areas) of harvested bone tissues after treated with different samples for 14 days.

2). Realising highly efficient sonodynamic bactericidal capability through the phonon–electron coupling effect using two‐dimensional catalytic planar defects. Advanced Materials, 2023 (PubMed: 36524686) [IF=27.4]

3). Galvanic Cell Bipolar Microneedle Patches for Reversing Photoaging Wrinkles. Advanced materials (Deerfield Beach, Fla.), 2025 (PubMed: 40066473) [IF=27.4]

4). ETV2 regulating PHD2-HIF-1α axis controls metabolism reprogramming promotes vascularized bone regeneration. Bioactive materials, 2024 (PubMed: 38549772) [IF=18.9]

5). Osteoblastic and anti-osteoclastic activities of strontium-substituted silicocarnotite ceramics: In vitro and in vivo studies. Bioactive Materials, 2020 (PubMed: 32280833) [IF=18.9]

6). Cryopreservable, scalable and ready-to-use cell-laden patches for diabetic ulcer treatment. Bioactive materials, 2025 (PubMed: 40342487) [IF=18.0]

7). Upregulation of BCL-2 by acridone derivative through gene promoter i-motif for alleviating liver damage of NAFLD/NASH. NUCLEIC ACIDS RESEARCH, 2020 (PubMed: 32710621) [IF=16.6]

Application: WB    Species: mouse    Sample: liver

Figure 7. Effect of A22 on ameliorating apoptosis, ER stress, inflammation, metabolic syndrome, and fibrogenesis in HF diet-fed mice. (A) Effect of A22 on BCL-2 gene transcription. (B) Effect of A22 on BAX gene transcription. (C) Effect of A22 on expressions of apoptosis-related proteins in liver. The extracted proteins from the liver were immunoblotted with specific antibodies, and quantified based on the loading control of ACTIN. (D) Effect of A22 on ER stress. The UPR proteins (IRE-1, PERK, elF-2 and CHOP) were analyzed by using western Blot. (E) Effect of A22 on expressions of inflammatory factors. (F) Effect of A22 on expressions of fibrogenic proteins.

8). A glucose-enriched lung pre-metastatic niche triggered by matrix stiffness-tuned exosomal miRNAs in hepatocellular carcinoma. Nature communications, 2025 (PubMed: 39966385) [IF=16.6]

9). Rbms1 promotes pulmonary fibrosis by stabilising Sumo2 mRNA to facilitate Smad4-SUMOylation and fibroblast activation. The European respiratory journal, 2025 (PubMed: 40473311) [IF=16.6]

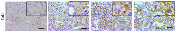
10). Spatiotemporal Characterization of Human Early Intervertebral Disc Formation at Single-Cell Resolution. Advanced Science, 2023 (PubMed: 36965031) [IF=15.1]

Application: IHC    Species: Human    Sample:

Figure 3 Characterization of matrisome clusters during early IVD formation. A) Representative IHC images of ACAN (upper lane) and COL1A1 (lower lane) in developing human IVDs at the indicated developmental stages. Arrows indicate the increased ECM in the human NP region. Scale bar, 100 µm. B) FPKM expression of the indicated signature genes in developing human NC/NP tissues captured by LCM during early IVD formation. N of 9, 10, 11, and 13 weeks = 4; N of 12 weeks = 3. C) Heatmap showing pairwise Pearson correlations of expressed matrisome genes in human developing NC/NP cells. D) The number of expressed genes associated with six matrisome patterns in the indicated human (upper) and mouse (lower) NC/NP cell subclusters. E) Representation analysis of GO categories showing different functions for TBXT+/T+ (left), CTSK+/Ctsk+ (middle), and KRT15+/Krt15+ clusters (right). Asterisks indicate the GO categories only enriched in human NC/NP subclusters. F) Violin plots showing the expression levels of representative genes associated with six matrisome patterns in the indicated human (left) and mouse (right) NC/NP cell subclusters. G) Representative IHC images of CTSK in human axial skeleton sections at the indicated developmental stages. The red arrow indicates the ECM in the NP region at the NPL stage. Scale bar, 200 µm. H) Representative images of lineage tracing in the Ctsk‐Cre;mT/mG mouse IVD. Scale bar, 200 µm. I) Dot plot showing the mean expression of selected mechanosensitive ion channel genes among seven human NC/NP cell subpopulations. The dot size indicates the percentage of cells in subclusters with detected expression.

加载更多

限制条款

产品的规格、报价、验证数据请以官网为准,官网链接:www.affbiotech.com | www.affbiotech.cn(简体中文)| www.affbiotech.jp(日本語)

产品的数据信息为Affinity所有,未经授权不得收集Affinity官网数据或资料用于商业用途,对抄袭产品数据的行为我们将保留诉诸法律的权利。

产品相关数据会因产品批次、产品检测情况随时调整,如您已订购该产品,请以订购时随货说明书为准,否则请以官网内容为准,官网内容有改动时恕不另行通知。

Affinity保证所销售产品均经过严格质量检测。如您购买的商品在规定时间内出现问题需要售后时,请您在Affinity官方渠道提交售后申请。

产品仅供科学研究使用。不用于诊断和治疗。 

产品未经授权不得转售。

Affinity Biosciences将不会对在使用我们的产品时可能发生的专利侵权或其他侵权行为负责。Affinity Biosciences, Affinity Biosciences标志和所有其他商标所有权归Affinity Biosciences LTD.