产品: EGFR 抗体
货号: AF6043
描述: Rabbit polyclonal antibody to EGFR
应用: WB IHC IF/ICC
文献验证: WB, IHC, IF/ICC
反应: Human, Mouse, Rat
预测: Pig, Bovine, Sheep, Rabbit
蛋白号: P00533
RRID: AB_2834971

浏览相似产品>>

   规格 价格 库存
 50ul RMB¥ 1000 1250 现货
 100ul RMB¥ 1840 2300 现货
 200ul RMB¥ 3000 现货

货期: 当天发货

联系销售

产品描述

来源:
Rabbit
应用:
WB 1:500-1:2000, IHC 1:50-1:200, IF/ICC 1:100-1:500
*The optimal dilutions should be determined by the end user. For optimal experimental results, antibody reuse is not recommended.
*Tips:

WB: 适用于变性蛋白样本的免疫印迹检测. IHC: 适用于组织样本的石蜡(IHC-p)或冰冻(IHC-f)切片样本的免疫组化/荧光检测. IF/ICC: 适用于细胞样本的荧光检测. ELISA(peptide): 适用于抗原肽的ELISA检测.

反应:
Human, Mouse, Rat
克隆:
Polyclonal
特异性:
EGFR Antibody detects endogenous levels of total EGFR.
RRID:
AB_2834971
引用格式: Affinity Biosciences Cat# AF6043, RRID:AB_2834971.
偶联:
Unconjugated.
纯化:
The antiserum was purified by peptide affinity chromatography using SulfoLink™ Coupling Resin (Thermo Fisher Scientific).
保存:
Rabbit IgG in phosphate buffered saline , pH 7.4, 150mM NaCl, 0.02% sodium azide and 50% glycerol. Store at -20 °C. Stable for 12 months from date of receipt.
别名:

展开/折叠

Avian erythroblastic leukemia viral (v erb b) oncogene homolog; Cell growth inhibiting protein 40; Cell proliferation inducing protein 61; EGF R; EGFR; EGFR_HUMAN; Epidermal growth factor receptor (avian erythroblastic leukemia viral (v erb b) oncogene homolog); Epidermal growth factor receptor (erythroblastic leukemia viral (v erb b) oncogene homolog avian); Epidermal growth factor receptor; erb-b2 receptor tyrosine kinase 1; ERBB; ERBB1; Errp; HER1; mENA; NISBD2; Oncogen ERBB; PIG61; Proto-oncogene c-ErbB-1; Receptor tyrosine protein kinase ErbB 1; Receptor tyrosine-protein kinase ErbB-1; SA7; Species antigen 7; Urogastrone; v-erb-b Avian erythroblastic leukemia viral oncogen homolog; wa2; Wa5;

抗原和靶标

免疫原:

A synthesized peptide derived from human EGFR, corresponding to a region within C-terminal amino acids.

基因/基因ID:
描述:
EGFR is a receptor tyrosine kinase. Receptor for epidermal growth factor (EGF) and related growth factors including TGF-alpha, amphiregulin, betacellulin, heparin-binding EGF-like growth factor, GP30 and vaccinia virus growth factor. Is involved in the control of cell growth and differentiation.

研究领域

· Cellular Processes > Transport and catabolism > Endocytosis.   (View pathway)

· Cellular Processes > Cellular community - eukaryotes > Focal adhesion.   (View pathway)

· Cellular Processes > Cellular community - eukaryotes > Adherens junction.   (View pathway)

· Cellular Processes > Cellular community - eukaryotes > Gap junction.   (View pathway)

· Cellular Processes > Cell motility > Regulation of actin cytoskeleton.   (View pathway)

· Environmental Information Processing > Signal transduction > MAPK signaling pathway.   (View pathway)

· Environmental Information Processing > Signal transduction > ErbB signaling pathway.   (View pathway)

· Environmental Information Processing > Signal transduction > Ras signaling pathway.   (View pathway)

· Environmental Information Processing > Signal transduction > Rap1 signaling pathway.   (View pathway)

· Environmental Information Processing > Signal transduction > Calcium signaling pathway.   (View pathway)

· Environmental Information Processing > Signaling molecules and interaction > Cytokine-cytokine receptor interaction.   (View pathway)

· Environmental Information Processing > Signal transduction > HIF-1 signaling pathway.   (View pathway)

· Environmental Information Processing > Signal transduction > FoxO signaling pathway.   (View pathway)

· Environmental Information Processing > Signal transduction > Phospholipase D signaling pathway.   (View pathway)

· Environmental Information Processing > Signal transduction > PI3K-Akt signaling pathway.   (View pathway)

· Environmental Information Processing > Signal transduction > Jak-STAT signaling pathway.   (View pathway)

· Human Diseases > Drug resistance: Antineoplastic > EGFR tyrosine kinase inhibitor resistance.

· Human Diseases > Drug resistance: Antineoplastic > Endocrine resistance.

· Human Diseases > Infectious diseases: Bacterial > Epithelial cell signaling in Helicobacter pylori infection.

· Human Diseases > Infectious diseases: Viral > Hepatitis C.

· Human Diseases > Infectious diseases: Viral > Human papillomavirus infection.

· Human Diseases > Cancers: Overview > Pathways in cancer.   (View pathway)

· Human Diseases > Cancers: Overview > Proteoglycans in cancer.

· Human Diseases > Cancers: Overview > MicroRNAs in cancer.

· Human Diseases > Cancers: Specific types > Colorectal cancer.   (View pathway)

· Human Diseases > Cancers: Specific types > Pancreatic cancer.   (View pathway)

· Human Diseases > Cancers: Specific types > Endometrial cancer.   (View pathway)

· Human Diseases > Cancers: Specific types > Glioma.   (View pathway)

· Human Diseases > Cancers: Specific types > Prostate cancer.   (View pathway)

· Human Diseases > Cancers: Specific types > Melanoma.   (View pathway)

· Human Diseases > Cancers: Specific types > Bladder cancer.   (View pathway)

· Human Diseases > Cancers: Specific types > Non-small cell lung cancer.   (View pathway)

· Human Diseases > Cancers: Specific types > Breast cancer.   (View pathway)

· Human Diseases > Cancers: Specific types > Hepatocellular carcinoma.   (View pathway)

· Human Diseases > Cancers: Specific types > Gastric cancer.   (View pathway)

· Human Diseases > Cancers: Overview > Central carbon metabolism in cancer.   (View pathway)

· Human Diseases > Cancers: Overview > Choline metabolism in cancer.   (View pathway)

· Organismal Systems > Endocrine system > Estrogen signaling pathway.   (View pathway)

· Organismal Systems > Endocrine system > Oxytocin signaling pathway.

· Organismal Systems > Endocrine system > Relaxin signaling pathway.

文献引用

1). Enhancement of CAR-T cell activity against cholangiocarcinoma by simultaneous knockdown of six inhibitory membrane proteins. Cancer Communications, 2023 (PubMed: 37282786) [IF=16.2]

Application: IHC    Species: Human    Sample:

FIGURE 1 EGFR‐CAR T cells and B7H3‐CAR T cells exhibited general antitumor activity in cholangiocarcinoma cell lines. (A‐B) Detection of tumor tissue antigens collected from patients with cholangiocarcinoma by IHC staining. The left and right panels of A displayed representative EGFR and B7H3 expression in normal, para‐carcinoma area, and tumor zone with enlarged view (5x, scale bar = 200 μm; 20x, scale bar = 50 μm). Statistical analysis of EGFR and B7H3 antigens scores in normal, para‐carcinoma and carcinoma tissues (B, n = 20). (C) Schematic representation of the lentiviral vectors carrying an EGFR‐specific 3rd generation CAR moiety (EGFR‐CAR) and a B7H3‐specific 3rd generation CAR moiety (B7H3‐CAR). (D) Immunoblotting analysis of EGFR‐CAR and B7H3‐CAR expression were performed with anti‐flag tag. The positive control was GP120‐CAR. (E‐F) Detection cytotoxic activities of the EGFR‐CAR‐T cells and the B7H3‐CAR‐T cells with TFK‐1 cells and HuCCT1 cells by LDH assay. The negative control was Jurkat cells without EGFR and B7H3 expression (n = 3, healthy donors). Experiments were performed independently at least 3 times. One‐way ANOVA was used in Tukey's multiple comparison test. Experimental data are expressed as mean ± SEM. *, P < 0.05; **, P < 0.01; ***, P < 0.001. Abbreviations: CAR, chimeric antigen receptor T; EGFR, epidermal growth factor receptor; B7H3, B7 homolog 3; GP120, gp120 antigen; IHC, immunohistochemistry; LDH, lactate dehydrogenase; SEM, standard error of the mean.

2). Multiomic identification of senescent stem cell populations critical for osteoarthritis progression and therapy in subchondral bones. Science advances, 2025 (PubMed: 40680126) [IF=11.7]

Application: IF/ICC    Species: human    Sample:

Fig. 3. Spatial transcriptome analysis of the I~II and III~IV side tissues from the patients with OA. (A) the OA signature gene score in the articular surface (AS), super-ficial zone (SZ), middle zone (MZ), and deep zone (dZ) groups. (B) the aging score in the AS, SZ, MZ, and dZ groups. (C) dot plot showing the expression of the senescencegenes in the AS, SZ, MZ, and dZ groups. the size of the dots represents the percentage of genes expressed in the AS, SZ, MZ, and dZ groups. the color of the dot representsthe average expression of the gene. pct.exp, percent expressed. (D) violin plot showing the expression of the representative senescence genes in the AS, SZ, MZ, and dZgroups. (E) Box plot showing the aging score between healthy people and patients with OA in the AS, SZ, MZ, and dZ groups. (F) violin plot showing the expression of theEGFR gene in the AS, SZ, MZ, and dZ groups. (G) Box plot showing the expression of the EGFR gene between healthy people and patients with OA in the AS, SZ, MZ, anddZ groups. (H) Multiplex immunofluorescence staining showing the co-expression of p21, p16, and eGFR in the i~ii and iii~iv side subchondral bone tissues from patientswith OA. dAPi, 4′,6-diamidino- 2- phenylindole. (I) Semiquantitative analysis from five randomly selected low-power fields showing the cell proportion of eGFR+p21+ cellsin each group (n = 5 donors). (J) Semiquantitative analysis from five randomly selected low-power fields showing the cell proportion of eGFR+p16+ cells in each group(n = 5 donors). *P < 0.05; **P < 0.01; ***P < 0.001; n.s., not significant. SB, subchondral bone; StB, subchondral trabecular bone. Ucell, a package for evaluating genesignatures based on the Mann-Whitney U statistic.

3). Bufalin inhibits hepatocellular carcinoma progression by blocking EGFR-mediated RAS-RAF-MEK-ERK pathway activation. Journal of experimental & clinical cancer research : CR, 2025 (PubMed: 40883741) [IF=11.3]

Application: WB    Species: human    Sample: HepG2 and HCCLM3 cells

Fig. 5 BF inhibits the activation of EGFR-mediated RAS/RAF/MEK/ERK pathway. (A) Immunoblotting of p-EGFR, EGFR, p-RAF, RAF, p-MEK1/2, MEK1/2, p-ERK1/2, ERK1/2, and Pan RAS protein expression in HepG2 and HCCLM3. (B, C) Relative protein expression of p-EGFR/EGFR, p-RAF/RAF, p-MEK1/2/MEK1/2, p-ERK1/2/ERK1/2, and Pan RAS/GAPDH in HepG2 (B) and HCCLM3 (C). (D) IF staining of p-EGFR and p-ERK1/2 in HepG2. (E, F) Relative fluorescence intensity of p-EGFR (E) and p-ERK1/2 (F) in HepG2. Data are expressed as mean ± SD from three independent experiments with biological duplicates. *P 

4). Foxq1 promotes metastasis of nasopharyngeal carcinoma by inducing vasculogenic mimicry via the EGFR signaling pathway. Cell Death & Disease, 2021 (PubMed: 33875643) [IF=8.1]

Application: WB    Species: mouse    Sample: 5–8F cells and CNE1

Fig. 3| Foxq1 increases the expression of EGFR, while Erlotinib inhibits Foxq1-induced VM formation. A, B qRT-PCR was used to assess the expression of predicted genes in 5–8F cells that overexpressed miR-124 or had a Foxq1 knockdown. C–F qRT-PCR (left) and western blot (right) of EGFR expression in Foxq1 dysregulated 5–8F, and CNE1.

Application: IHC    Species: mouse    Sample: NPC tissues

Fig. 3| Foxq1 increases the expression of EGFR, while Erlotinib inhibits Foxq1-induced VM formation. A, B qRT-PCR was used to assess the expression of predicted genes in 5–8F cells that overexpressed miR-124 or had a Foxq1 knockdown. C–F qRT-PCR (left) and western blot (right) of EGFR expression in Foxq1 dysregulated 5–8F, and CNE1.I Region showing typical expression of Foxq1 and EGFR in NPC tissues; Scale bars represent 50 μm.

Application: IF/ICC    Species: mouse    Sample: 5–8F cells

Fig. 7| MiR-124 inhibits the EGFR signaling pathway and VM formation, that could be rescued by Foxq1 expression. E Immunofluorescence staining of Foxq1, EGFR, VE-cadherin, MMP2 and MMP9 in 5–8F cells that overexpressed miR-124, control or simultaneously Foxq1 and miR-124, respectively; scale bars represent 50μm. qRT-PCR (F) and western blot (G) were used to monitor the expression of EGFR signaling pathway and VM-related genes in 5–8F cells that overexpressed miR-124, control or simultaneously Foxq1 and miR-124, respectively.Data are presented as mean ± SD of three independent experiments.

5). CircEGFR reduces the sensitivity of pirarubicin and regulates the malignant progression of triple-negative breast cancer via the miR-1299/EGFR axis. International journal of biological macromolecules, 2023 (PubMed: 37302631) [IF=7.7]

6). Multi-omics analyses reveal that hesperidin ameliorates high-altitude pulmonary hypertension by restoring gut-lung axis homeostasis. Phytomedicine : international journal of phytotherapy and phytopharmacology, 2025 (PubMed: 40680331) [IF=6.7]

Application: WB    Species: Rat    Sample:

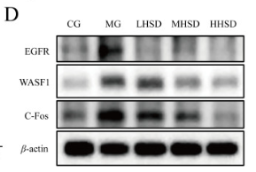
Fig. 9. Details of DEMs and DEGs enriched in the ‘choline metabolism in cancer pathway’ (n = 6 per group). (A) DEMs among groups. (B) Serum levels of choline, total lysophosphatidylcholine, glycerophosphocholine, and TMAO measured by ELISA. (C) DEGs among groups. (D) Western blot bands of EGFR, c-Fos, and WASF1 in rat pulmonary tissues. (E) Quantitative results of EGFR, c-Fos, and WASF1 expression. ns, non-significance (p > 0.05).

7). Higenamine alleviates allergic rhinitis by activating AKT1 and suppressing the EGFR/JAK2/c-JUN signaling. PHYTOMEDICINE, 2021 (PubMed: 33945919) [IF=6.7]

Application: WB    Species: Human    Sample: HNEpCs

Fig. 8. The effects of higenamine (HG) on potential targets in histamine-induced HNEpCs. (A-J) Levels of protein expression of AKT1, p-AKT1, EGFR, p-EGFR, c-Jun, p-c-Jun, iNOS, JAK2, and p-JAK2 were determined by Western blotting, β-actin was used as an internal control. Data are expressed as means ± SD of three experiments. ## p < 0.01, and # p < 0.05 compared with the control group. ** p < 0.01, and * p < 0.05 compared with the histamine group.

8). Resistance to anti-HER2 therapy associated with the TSC2 nonsynonymous variant c.4349 C > G (p.Pro1450Arg) is reversed by CDK4/6 inhibitor in HER2-positive breast cancer. npj Breast Cancer, 2023 (PubMed: 37160904) [IF=5.9]

Application: WB    Species: Human    Sample: BT474 cell

Fig. 3 Expression of proteins involved in the HER2/AKT/mTOR and cyclinD1/CDK4 signaling pathways in BT474 cell lines treated with lapatinib and/or palbociclib. a Western blot analysis of proteins involved in the HER2/AKT/mTOR signaling pathway after treatment with lapatinib and/or palbociclib for 48 h. b Western blot analysis of proteins involved in the cyclinD1/CDK4 signaling pathway after treatment with lapatinib and/or palbociclib for 48 h. c p-HER2 expression levels under treatment with different drugs in the same cell. d p-HER2 expression levels in TSC2-NC, WT, and MT groups treated with the same drugs. e p-TSC2 expression levels under treatment with different drugs in the same cell. f p-TSC2 expression levels in TSC2-NC, WT, and MT groups treated with the same drugs. g p-mTOR expression levels under treatment with different drugs in the same cell. h p-mTOR expression levels in TSC2-NC, WT, and MT groups treated with the same drugs. i p-P70S6K expression levels under treatment with different drugs in the same cell. j p-P70S6K expression levels in TSC2-NC, WT, and MT groups treated with the same drugs. Data are shown as mean ± SD; One-way ANOVA was used to analyze the data in (d, f, h, j). Error bars are SEM.

9). Ginsenoside-Rh2 Promotes Functional Recovery after Spinal Cord Injury by Enhancing TFEB-Mediated Autophagy. Journal of agricultural and food chemistry, 2024 (PubMed: 38907713) [IF=5.7]

10). TIAM2 Contributes to Osimertinib Resistance, Cell Motility, and Tumor-Associated Macrophage M2-like Polarization in Lung Adenocarcinoma. INTERNATIONAL JOURNAL OF MOLECULAR SCIENCES, 2022 (PubMed: 36142328) [IF=5.6]

加载更多

限制条款

产品的规格、报价、验证数据请以官网为准,官网链接:www.affbiotech.com | www.affbiotech.cn(简体中文)| www.affbiotech.jp(日本語)

产品的数据信息为Affinity所有,未经授权不得收集Affinity官网数据或资料用于商业用途,对抄袭产品数据的行为我们将保留诉诸法律的权利。

产品相关数据会因产品批次、产品检测情况随时调整,如您已订购该产品,请以订购时随货说明书为准,否则请以官网内容为准,官网内容有改动时恕不另行通知。

Affinity保证所销售产品均经过严格质量检测。如您购买的商品在规定时间内出现问题需要售后时,请您在Affinity官方渠道提交售后申请。

产品仅供科学研究使用。不用于诊断和治疗。 

产品未经授权不得转售。

Affinity Biosciences将不会对在使用我们的产品时可能发生的专利侵权或其他侵权行为负责。Affinity Biosciences, Affinity Biosciences标志和所有其他商标所有权归Affinity Biosciences LTD.