产品: ADCY10 抗体
货号: DF13600
描述: Rabbit polyclonal antibody to ADCY10
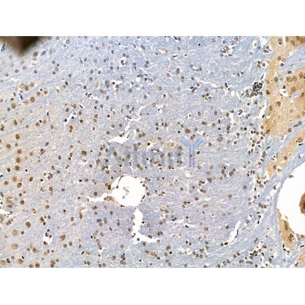
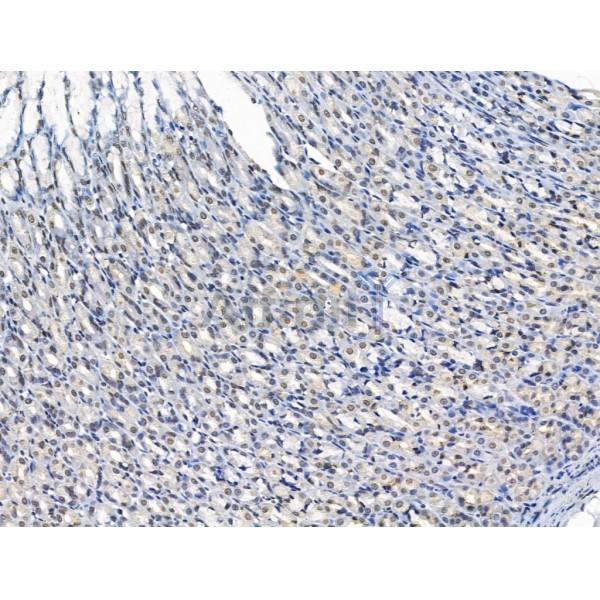
应用: WB IHC IF/ICC
反应: Human, Mouse, Rat
预测: Pig, Bovine, Sheep, Rabbit, Dog
蛋白ID: Q96PN6
RRID: AB_2846619

浏览相似产品>>

   规格 价格 库存
 100ul RMB¥ 2300 现货
 200ul RMB¥ 3000 现货

货期: 当天发货

联系销售

产品描述

来源:
Rabbit
应用:
WB 1:500-1:2000, IF/ICC 1:100-1:500, IHC 1:50-1:200
*The optimal dilutions should be determined by the end user. For optimal experimental results, antibody reuse is not recommended.
*Tips:

WB: 适用于变性蛋白样本的免疫印迹检测. IHC: 适用于组织样本的石蜡(IHC-p)或冰冻(IHC-f)切片样本的免疫组化/荧光检测. IF/ICC: 适用于细胞样本的荧光检测. ELISA(peptide): 适用于抗原肽的ELISA检测.

反应:
Human, Mouse, Rat
克隆:
Polyclonal
特异性:
ADCY10 Antibody detects endogenous levels of total ADCY10.
RRID:
AB_2846619
引用格式: Affinity Biosciences Cat# DF13600, RRID:AB_2846619.
偶联:
Unconjugated.
纯化:
The antiserum was purified by peptide affinity chromatography using SulfoLink™ Coupling Resin (Thermo Fisher Scientific).
保存:
Rabbit IgG in phosphate buffered saline , pH 7.4, 150mM NaCl, 0.02% sodium azide and 50% glycerol. Store at -20 °C. Stable for 12 months from date of receipt.
别名:

展开/折叠

3',5'-cyclic AMP synthetase; Adenylate cyclase 10 (soluble); Adenylate cyclase 10; Adenylate cyclase homolog; AH related protein; ATP pyrophosphate-lyase; Germ cell soluble adenylyl cyclase; HCA2; hsAC; hypercalciuria absorptive; SAC; SACI; Sacy; Soluble adenylyl cyclase; testicular soluble adenylyl cyclase (SAC); Testicular soluble adenylyl cyclase;

抗原和靶标

免疫原:

A synthesized peptide derived from human ADCY10, corresponding to a region within N-terminal amino acids.

基因/基因ID:

研究领域

· Environmental Information Processing > Signal transduction > cAMP signaling pathway.   (View pathway)

· Environmental Information Processing > Signal transduction > Apelin signaling pathway.   (View pathway)

· Metabolism > Nucleotide metabolism > Purine metabolism.

· Organismal Systems > Environmental adaptation > Circadian entrainment.

限制条款

产品的规格、报价、验证数据请以官网为准,官网链接:www.affbiotech.com | www.affbiotech.cn(简体中文)| www.affbiotech.jp(日本語)

产品的数据信息为Affinity所有,未经授权不得收集Affinity官网数据或资料用于商业用途,对抄袭产品数据的行为我们将保留诉诸法律的权利。

产品相关数据会因产品批次、产品检测情况随时调整,如您已订购该产品,请以订购时随货说明书为准,否则请以官网内容为准,官网内容有改动时恕不另行通知。

Affinity保证所销售产品均经过严格质量检测。如您购买的商品在规定时间内出现问题需要售后时,请您在Affinity官方渠道提交售后申请。

产品仅供科学研究使用。不用于诊断和治疗。 

产品未经授权不得转售。

Affinity Biosciences将不会对在使用我们的产品时可能发生的专利侵权或其他侵权行为负责。Affinity Biosciences, Affinity Biosciences标志和所有其他商标所有权归Affinity Biosciences LTD.