产品: SERBP1 抗体
货号: DF13553
描述: Rabbit polyclonal antibody to SERBP1
应用: WB
文献验证: WB
反应: Human, Mouse, Rat
预测: Pig, Horse, Sheep, Rabbit, Dog, Chicken, Xenopus
蛋白号: Q8NC51
RRID: AB_2846572

浏览相似产品>>

   规格 价格 库存
 100ul RMB¥ 2300 现货
 200ul RMB¥ 3000 现货

货期: 当天发货

联系销售

产品描述

来源:
Rabbit
应用:
WB 1:500-1:2000
*The optimal dilutions should be determined by the end user. For optimal experimental results, antibody reuse is not recommended.
*Tips:

WB: 适用于变性蛋白样本的免疫印迹检测. IHC: 适用于组织样本的石蜡(IHC-p)或冰冻(IHC-f)切片样本的免疫组化/荧光检测. IF/ICC: 适用于细胞样本的荧光检测. ELISA(peptide): 适用于抗原肽的ELISA检测.

反应:
Human, Mouse, Rat
克隆:
Polyclonal
特异性:
SERBP1 Antibody detects endogenous levels of total SERBP1.
RRID:
AB_2846572
引用格式: Affinity Biosciences Cat# DF13553, RRID:AB_2846572.
偶联:
Unconjugated.
纯化:
The antiserum was purified by peptide affinity chromatography using SulfoLink™ Coupling Resin (Thermo Fisher Scientific).
保存:
Rabbit IgG in phosphate buffered saline , pH 7.4, 150mM NaCl, 0.02% sodium azide and 50% glycerol. Store at -20 °C. Stable for 12 months from date of receipt.
别名:

展开/折叠

CGI 55; CHD3IP; Chromodomain helicase DNA binding protein 3 interacting protein; DKFZp564M2423; FLJ90489; HABP4L; PAI 1 mRNA binding protein; PAI RBP1; PAI-RBP1; PAI1 RNA-binding protein 1; PAIRB_HUMAN; PAIRBP1; Plasminogen activator inhibitor 1 RNA binding protein; Plasminogen activator inhibitor 1 RNA-binding protein; Serbp1; SERPINE1 mRNA binding protein 1; SERPINE1 mRNA-binding protein 1;

抗原和靶标

免疫原:

A synthesized peptide derived from human SERBP1, corresponding to a region within the internal amino acids.

基因/基因ID:

文献引用

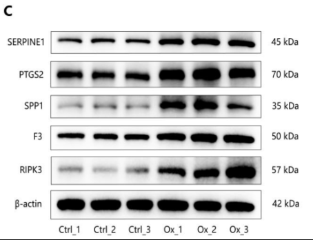
1). The Altered Proteomic Landscape in Renal Tubular Epithelial Cells under High Oxalate Stimulation. Biology, 2024 (PubMed: 39452123) [IF=4.2]

Application: WB    Species: Rat    Sample: NRK-52E cells

Figure 6. Construction of PPI network. (A) The top 30 DEPs with the largest number of adjacent nodes. (B) The most significant subnetwork identified by MCODE plugin of Cytoscape. Up-regulated and down-regulated DEPs were labeled with red and blue, respectively. (C) The expression of the SERPINE1, PTGS2, SPP1, F3, and RIPK3 proteins was detected by WB in NRK-52E cells after treatment with 1 mM oxalate for 24 h. * represents p < 0.05, ** represents p < 0.01.

2). Germacrone protects renal tubular cells against ferroptotic death and ROS release by re-activating mitophagy in diabetic nephropathy. Free radical research, 2023 (PubMed: 37897414) [IF=3.6]

3). HERC5/ISG15 Enhances Glioblastoma Stemness and Tumor Progression by mediating SERBP1protein stability. Neuromolecular medicine, 2025 (PubMed: 39776018) [IF=3.5]

4). Identifying the mechanisms underlying the protective effect of tetramethylpyrazine against cisplatin‑induced in vitro ototoxicity in HEI‑OC1 auditory cells using gene expression profiling. Molecular Medicine Reports, 2020 (PubMed: 33174043) [IF=3.4]

Application: WB    Species: Mice    Sample: HEI-OC1 cells

Figure 5. FPKM values and expression of several DEGs in the three groups. (A-D) FPKM values of several random selected up- or downregulated DEGs with typical expression profiling in response to treatment with cisplatin alone or combined with Tet. (E) Expression of several protein products of DEGs. *P<0.05, vs. control. #P<0.05 vs. Cisplatin. The differences were analyzed by one-way ANOVA followed by Tukey's post hoc test. DEG, differentially expressed gene; FKPM, fragments per kilobase of exon model per million reads mapped.

5). TGF-β1-Mediated Activation of SERPINE1 is Involved in Hemin-Induced Apoptotic and Inflammatory Injury in HT22 Cells. Neuropsychiatric Disease and Treatment, 2021 (PubMed: 33603380) [IF=2.5]

Application: WB    Species: Mice    Sample: HT22 cells

Figure 1 SERPINE1 is upregulated in hemin-treated HT22 cells. (A) HT22 cells were treated with different doses (0, 10, 20, 40, 60, 80, 100, and 120 μM) of hemin for 24 h and then subjected to MTT assay. (B) HT22 cells were treated with 100 μM of hemin for 24 h and then assayed for SERPINE1 expression using qRT-PCR assay. (C) Representative image of Western blot analysis and quantification of SERPINE1 expression in HT22 cells stimulated with hemin. *p < 0.05, **p <0.01, and ***p <0.001.

6). Assessment of cardiotoxicity induced by PFOS exposure and mechanism research via untarget metabolomics. Drug and chemical toxicology, 2025 (PubMed: 39113645) [IF=2.1]

限制条款

产品的规格、报价、验证数据请以官网为准,官网链接:www.affbiotech.com | www.affbiotech.cn(简体中文)| www.affbiotech.jp(日本語)

产品的数据信息为Affinity所有,未经授权不得收集Affinity官网数据或资料用于商业用途,对抄袭产品数据的行为我们将保留诉诸法律的权利。

产品相关数据会因产品批次、产品检测情况随时调整,如您已订购该产品,请以订购时随货说明书为准,否则请以官网内容为准,官网内容有改动时恕不另行通知。

Affinity保证所销售产品均经过严格质量检测。如您购买的商品在规定时间内出现问题需要售后时,请您在Affinity官方渠道提交售后申请。

产品仅供科学研究使用。不用于诊断和治疗。 

产品未经授权不得转售。

Affinity Biosciences将不会对在使用我们的产品时可能发生的专利侵权或其他侵权行为负责。Affinity Biosciences, Affinity Biosciences标志和所有其他商标所有权归Affinity Biosciences LTD.