产品: CCL14 抗体
货号: DF13362
描述: Rabbit polyclonal antibody to CCL14
应用: WB IHC IF/ICC
文献验证: WB, IHC
反应: Human, Mouse, Rat
预测: Horse
蛋白ID: Q16627
RRID: AB_2846381

浏览相似产品>>

   规格 价格 库存
 50ul RMB¥ 1600 现货
 100ul RMB¥ 2300 现货
 200ul RMB¥ 3000 现货

货期: 当天发货

联系销售

产品描述

来源:
Rabbit
应用:
IF/ICC 1:100-1:500, WB 1:500-1:2000, IHC 1:50-1:200
*The optimal dilutions should be determined by the end user. For optimal experimental results, antibody reuse is not recommended.
*Tips:

WB: 适用于变性蛋白样本的免疫印迹检测. IHC: 适用于组织样本的石蜡(IHC-p)或冰冻(IHC-f)切片样本的免疫组化/荧光检测. IF/ICC: 适用于细胞样本的荧光检测. ELISA(peptide): 适用于抗原肽的ELISA检测.

反应:
Human, Mouse, Rat
克隆:
Polyclonal
特异性:
CCL14 Antibody detects endogenous levels of total CCL14.
RRID:
AB_2846381
引用格式: Affinity Biosciences Cat# DF13362, RRID:AB_2846381.
偶联:
Unconjugated.
纯化:
The antiserum was purified by peptide affinity chromatography using SulfoLink™ Coupling Resin (Thermo Fisher Scientific).
保存:
Rabbit IgG in phosphate buffered saline , pH 7.4, 150mM NaCl, 0.02% sodium azide and 50% glycerol. Store at -20 °C. Stable for 12 months from date of receipt.
别名:

展开/折叠

CC-1; CC-3; CCL14; CCL14_HUMAN; chemokine (C-C motif) ligand 14; Chemokine CC-1/CC-3; chemokine CC1; chemokine CC3; chemokine HCC1; chemokine HCC3; CKb1; HCC-1(1-74); HCC-1(9-74); HCC-1/HCC-3; HCC-3; HCC1; HEMOFILTRATE CC CHEMOKINE 1; MCIF; NCC-2; NCC2; new CC chemokine 2; SCYA14; SCYL2; small inducible cytokine subfamily A (Cys-Cys), member 14; Small-inducible cytokine A14; SY14;

抗原和靶标

免疫原:

A synthesized peptide derived from human CCL14, corresponding to a region within the internal amino acids.

基因/基因ID:

研究领域

· Environmental Information Processing > Signaling molecules and interaction > Cytokine-cytokine receptor interaction.   (View pathway)

· Organismal Systems > Immune system > Chemokine signaling pathway.   (View pathway)

文献引用

1). HCC-1 Accelerates Atherosclerosis by Inducing Endothelial Cell and Macrophage Pyroptosis and Serves as an Early Diagnostic Biomarker. Arteriosclerosis, thrombosis, and vascular biology, 2024 (PubMed: 39087347) [IF=7.4]

Application: IHC    Species: human    Sample:

Figure 1. HCC-1 (hemofiltrate CC chemokine-1; also named CCL14 [C-C motif chemokine ligand]) expression increased in human atherosclerotic lesions. Bioinformatic analysis of data sets GSE97210 and GSE120521 was performed, and human atherosclerotic plaques and normal arterial tissues were randomly collected. A, Kyoto Encyclopedia of Genes and Genomes (KEGG) pathway enrichment in data sets GSE97210 and GSE120521. B, Intersection of GSEA enrichment pathways in data sets GSE97210 and GSE120521. C, Venn diagram of intersection genes of CCL and CXCL (CXC chemokine ligand) in the GSEA chemokine pathway in data sets GSE97210 and GSE120521. D, Heatmap of intersection of KEGG chemokine pathway–enriched genes in data sets GSE97210 and GSE120521. E, HCC-1 gene expression in data sets GSE97210 and GSE120521. F, Representative images of Immunohistochemistry (IHC) analysis and quantification of HCC-1 in human atherosclerotic plaques and normal arterial tissues (n=9 per group, unpaired t test, P

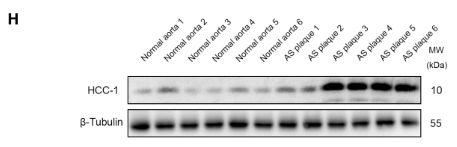
Application: WB    Species: human    Sample:

Figure 1. HCC-1 (hemofiltrate CC chemokine-1; also named CCL14 [C-C motif chemokine ligand]) expression increased in human atherosclerotic lesions. Bioinformatic analysis of data sets GSE97210 and GSE120521 was performed, and human atherosclerotic plaques and normal arterial tissues were randomly collected. A, Kyoto Encyclopedia of Genes and Genomes (KEGG) pathway enrichment in data sets GSE97210 and GSE120521. B, Intersection of GSEA enrichment pathways in data sets GSE97210 and GSE120521. C, Venn diagram of intersection genes of CCL and CXCL (CXC chemokine ligand) in the GSEA chemokine pathway in data sets GSE97210 and GSE120521. D, Heatmap of intersection of KEGG chemokine pathway–enriched genes in data sets GSE97210 and GSE120521. E, HCC-1 gene expression in data sets GSE97210 and GSE120521. F, Representative images of Immunohistochemistry (IHC) analysis and quantification of HCC-1 in human atherosclerotic plaques and normal arterial tissues (n=9 per group, unpaired t test, P

2). Inflammatory regulation by restraining M2 microglial polarization: Neurodestructive effects of Kallikrein-related peptidase 8 activation in intracerebral hemorrhage. International immunopharmacology, 2023 (PubMed: 37678029) [IF=4.8]

限制条款

产品的规格、报价、验证数据请以官网为准,官网链接:www.affbiotech.com | www.affbiotech.cn(简体中文)| www.affbiotech.jp(日本語)

产品的数据信息为Affinity所有,未经授权不得收集Affinity官网数据或资料用于商业用途,对抄袭产品数据的行为我们将保留诉诸法律的权利。

产品相关数据会因产品批次、产品检测情况随时调整,如您已订购该产品,请以订购时随货说明书为准,否则请以官网内容为准,官网内容有改动时恕不另行通知。

Affinity保证所销售产品均经过严格质量检测。如您购买的商品在规定时间内出现问题需要售后时,请您在Affinity官方渠道提交售后申请。

产品仅供科学研究使用。不用于诊断和治疗。 

产品未经授权不得转售。

Affinity Biosciences将不会对在使用我们的产品时可能发生的专利侵权或其他侵权行为负责。Affinity Biosciences, Affinity Biosciences标志和所有其他商标所有权归Affinity Biosciences LTD.