产品: Osteocalcin 抗体
货号: DF12303
描述: Rabbit polyclonal antibody to Osteocalcin
应用: WB IHC IF/ICC
文献验证: WB, IHC, IF/ICC
反应: Human, Mouse, Rat
预测: Pig, Bovine, Horse, Sheep, Dog, Chicken, Xenopus
蛋白号: P02818
RRID: AB_2845108

浏览相似产品>>

   规格 价格 库存
 50ul RMB¥ 1000 1250 现货
 100ul RMB¥ 1840 2300 现货
 200ul RMB¥ 3000 现货

货期: 当天发货

联系销售

产品描述

来源:
Rabbit
应用:
WB 1:500-1:2000, IHC 1:50-1:200, IF/ICC 1:100-500
*The optimal dilutions should be determined by the end user. For optimal experimental results, antibody reuse is not recommended.
*Tips:

WB: 适用于变性蛋白样本的免疫印迹检测. IHC: 适用于组织样本的石蜡(IHC-p)或冰冻(IHC-f)切片样本的免疫组化/荧光检测. IF/ICC: 适用于细胞样本的荧光检测. ELISA(peptide): 适用于抗原肽的ELISA检测.

反应:
Human, Mouse, Rat
克隆:
Polyclonal
特异性:
Osteocalcin Antibody detects endogenous levels of total Osteocalcin.
RRID:
AB_2845108
引用格式: Affinity Biosciences Cat# DF12303, RRID:AB_2845108.
偶联:
Unconjugated.
纯化:
The antiserum was purified by peptide affinity chromatography using SulfoLink™ Coupling Resin (Thermo Fisher Scientific).
保存:
Rabbit IgG in phosphate buffered saline , pH 7.4, 150mM NaCl, 0.02% sodium azide and 50% glycerol. Store at -20 °C. Stable for 12 months from date of receipt.
别名:

展开/折叠

BGLAP; BGP; Bone gamma carboxyglutamate (gla) protein; Bone gamma carboxyglutamate gla protein osteocalcin; Bone gamma carboxyglutamate protein; Bone Gla protein; Gamma carboxyglutamic acid containing protein; Gamma-carboxyglutamic acid-containing protein; OC; OCN; OSTCN_HUMAN; Osteocalcin; OTTHUMP00000016586; PMF1;

抗原和靶标

免疫原:

A synthesized peptide derived from human Osteocalcin, corresponding to a region within the internal amino acids.

基因/基因ID:

文献引用

1). Long-lasting renewable antibacterial porous polymeric coatings enable titanium biomaterials to prevent and treat peri-implant infection. Nature Communications, 2021 (PubMed: 34083518) [IF=16.6]

Application: WB    Species: Human    Sample: MC3T3-E1 preosteoblasts

Fig. 5 Biocompatibility assessments. a CCK-8 assay about the proliferation of MC3T3-E1 preosteoblasts cultured on Ti-OH and Ti-PAA-NCl after cells were cultured for 1, 3 and 7 days (n = 3; P = 0.673, 0.639 and 0.145 for 1, 3 and 7 days compared with Ti-OH, respectively; Student’s t test). b Morphology of MC3T3-E1 preosteoblasts cultured on Ti-OH and Ti-PAA-NCl for 1 day (green for F-actin, blue for cell nucleus, scale bar = 20 μm). c ALP activity of MC3T3-E1 preosteoblasts cultured on Ti-OH and Ti-PAA-NCl for 7 and 14 days (n = 3; P = 0.132 and 0.954 for 7 and 14 days compared with Ti-OH; Student’s t test). d Alizarin Red S staining of MC3T3-E1 preosteoblasts cultured on Ti-OH and Ti-PAA-NCl for 21 days (red for calcium nodules, scale bar = 1 mm) and semi-quantitative measurement of calcium content (n = 3; P = 0.147 compared with Ti-OH; Student’s t test). e Western blot results of osteogenic-related proteins (OCN, OPN and RUNX2) expressed in MC3T3-E1 preosteoblasts cultured on Ti-OH and Ti-PAA-NCl for 3, 7 and 14 days after osteogenic induction. f RT-qPCR results of expression levels of osteogenic-related genes (OCN, OPN and RUNX2) in MC3T3-E1 preosteoblasts cultured on Ti-OH and Ti-PAA-NCl for 3, 7 and 14 days after osteogenic induction (n = 3; P > 0.05 for all time points of these three genes between groups; Student’s t test). g In vivo biocompatibility. HE staining and CD68 immunofluorescent staining of tissues around Ti-OH and Ti-PAA-NCl embedded in the backs of nude mice for 4 weeks (fluorescent green for CD68, fluorescent blue for cell nucleus, white scale bars in HE images = 100 μm, black scale bars in HE images = 25 μm, scale bars in CD68 immunofluorescent images = 100 μm). All error bars = s.d.

2). Polyphenol-mediated redox-active hydrogel with H2S gaseous-bioelectric coupling for periodontal bone healing in diabetes. Nature communications, 2024 (PubMed: 39433776) [IF=16.6]

Application: IF/ICC    Species: Rat    Sample:

Fig. 7: Immunofluorescence staining of defect areas. a Immunofluorescence staining of CD90 at 7 days after operation in defect area in various groups and quantification analysis (mean ± SEM, n = 6 independent biological samples, one-way ANOVA). Immunofluorescence staining of angiopoiesis-related protein CD31 (b) and α-SMA (c) at 7 days after operation in defect area and quantification analysis (mean ± SEM, n = 6 independent biological samples, one-way ANOVA). Immunofluorescence staining of osteogenesis-related protein RUNX2 (d) and OCN (e) at 4 weeks after operation in defect area and quantification analysis (mean ± SEM, n = 6 independent biological samples, one-way ANOVA).

3). Antibacterial Peptides-Produced Cell Hydrogel Eliminates Intracellular Pathogens and Remodels Immune Microenvironment for Osteomyelitis Therapy. ACS nano, 2025 (PubMed: 40336314) [IF=15.8]

4). BMSC-NFMC Model for Vascular Regulation and Interface Integration in Osteochondral Regeneration. Advanced science (Weinheim, Baden-Wurttemberg, Germany), 2025 (PubMed: 40548626) [IF=15.1]

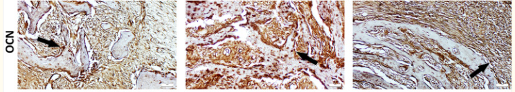
Application: IHC    Species: Mouse    Sample:

Figure 5 Histological examination of BMSC-NFMC after subcutaneous implantation for 4 and 8 weeks. A) HE staining, Masson's trichrome staining, OCN staining, SO/FG staining, and COL 2 immunohistochemical staining of BMSC-NFMC subcutaneous implantation for 4 weeks. B) Corresponding histological examination images after 8 weeks. The red boxes in the figure represent the hybridized tissue regions of the samples, while the blue boxes represent the integrated osteochondral interface regions. Abbreviations: HE, hematoxylin and eosin; OCN, Osteocalcin; SO/FG, Safranin-O/Fast Green; COL 2, Type II collagen.

5). Mechanism of Piezo1 regulating chondrocyte mitochondrial function and promoting fracture healing through β-catenin/LARS2 signaling pathway. Bone research, 2025 (PubMed: 40993116) [IF=14.3]

Application: WB    Species: Mouse    Sample:

Fig. 1 Knockout of the Piezo1 gene in chondrocytes inhibits their transdifferentiation into osteoblasts. a qPCR was used to detect changes in the expression of Piezo1 and osteogenic markers Opn (Spp1) and Runx2 in each group after osteogenic induction culture, n = 3. b–e WB was used to detect changes in the expression of Piezo1 and osteogenic markers OPN and RUNX2 in each group after osteogenic induction culture and statistical analysis, n = 3. f, g ALP and alizarin red staining were used to detect ALP levels after 7 days of osteogenic induction culture and the expression of calcium nodules after 21 days of induction culture, scale = 200 μm. h, i Statistical analysis of ALP and Alizarin Red stain were performed, n = 3. j–l qPCR was used to detect changes in the expression of Col1α, Alp, and Ocn in each group, n = 3. m–p WB was used to detect changes in the expression of Col1α, ALP, and OCN in each group and statistical analysis, n = 3. q Schematic diagram of fluorescence colorimetric principle of gene mice R26-tdTomato. r Lineage tracing was used to detect the transdifferentiation forms of chondrocytes during endochondral ossification and the role of Piezo1 in endochondral ossification during fracture healing, scale = 50 μm, n = 3. Cg: Cartilage tissue; Wo.B: Woven bone tissue. blue: nucleus; red: tdTOmato; green: Col1; golden (colocalization): osteoblasts derived from chondrocytes’ transdifferentiation. s The statistical analysis of osteoblasts derived from chondrocytes’ transdifferentiation.

6). Delivery of therapeutic miRNAs using nanoscale zeolitic imidazolate framework for accelerating vascularized bone regeneration. Chemical Engineering Journal, 2022 [IF=13.3]

7). pH‐Triggered Size‐Tunable Silver Nanoparticles: Targeted Aggregation for Effective Bacterial Infection Therapy. Small, 2022 (PubMed: 35499191) [IF=13.0]

8). Fusion peptide engineered “statically-versatile” titanium implant simultaneously enhancing anti-infection, vascularization and osseointegration. Biomaterials, 2021 (PubMed: 33069134) [IF=12.8]

9). A Di-aptamer-functionalized scaffold promotes bone regeneration by facilitating the selective retention of MSCs and EPCs and then promoting crosstalk between osteogenesis and angiogenesis. Biomaterials, 2025 (PubMed: 39985977) [IF=12.8]

10). Gold nanoparticles targeting the autophagy–lysosome system to combat the inflammation-compromised osteogenic potential of periodontal ligament stem cells: From mechanism to therapy. Biomaterials, 2022 (PubMed: 36030103) [IF=12.8]

加载更多

限制条款

产品的规格、报价、验证数据请以官网为准,官网链接:www.affbiotech.com | www.affbiotech.cn(简体中文)| www.affbiotech.jp(日本語)

产品的数据信息为Affinity所有,未经授权不得收集Affinity官网数据或资料用于商业用途,对抄袭产品数据的行为我们将保留诉诸法律的权利。

产品相关数据会因产品批次、产品检测情况随时调整,如您已订购该产品,请以订购时随货说明书为准,否则请以官网内容为准,官网内容有改动时恕不另行通知。

Affinity保证所销售产品均经过严格质量检测。如您购买的商品在规定时间内出现问题需要售后时,请您在Affinity官方渠道提交售后申请。

产品仅供科学研究使用。不用于诊断和治疗。 

产品未经授权不得转售。

Affinity Biosciences将不会对在使用我们的产品时可能发生的专利侵权或其他侵权行为负责。Affinity Biosciences, Affinity Biosciences标志和所有其他商标所有权归Affinity Biosciences LTD.