产品: 磷酸化 Cyclin E1 (Thr395) 抗体
货号: AF3235
描述: Rabbit polyclonal antibody to Phospho-Cyclin E1 (Thr395)
应用: WB IHC IF/ICC
文献验证: IHC
反应: Human
预测: Bovine, Horse, Sheep
蛋白号: P24864
RRID: AB_2834661

浏览相似产品>>

   规格 价格 库存
 50ul RMB¥ 1300 现货
 100ul RMB¥ 2400 现货
 200ul RMB¥ 3200 现货

货期: 当天发货

联系销售

产品描述

来源:
Rabbit
应用:
WB 1:500-1:2000, IHC 1:50-1:200, IF/ICC 1:100-1:500
*The optimal dilutions should be determined by the end user. For optimal experimental results, antibody reuse is not recommended.
*Tips:

WB: 适用于变性蛋白样本的免疫印迹检测. IHC: 适用于组织样本的石蜡(IHC-p)或冰冻(IHC-f)切片样本的免疫组化/荧光检测. IF/ICC: 适用于细胞样本的荧光检测. ELISA(peptide): 适用于抗原肽的ELISA检测.

反应:
Human
克隆:
Polyclonal
特异性:
Phospho-Cyclin E1 (Thr395) Antibody detects endogenous levels of Cyclin E1 only when phosphorylated at Threonine 395.
RRID:
AB_2834661
引用格式: Affinity Biosciences Cat# AF3235, RRID:AB_2834661.
偶联:
Unconjugated.
纯化:
The antibody is from purified rabbit serum by affinity purification via sequential chromatography on phospho-peptide and non-phospho-peptide affinity columns.
保存:
Rabbit IgG in phosphate buffered saline , pH 7.4, 150mM NaCl, 0.02% sodium azide and 50% glycerol. Store at -20 °C. Stable for 12 months from date of receipt.
别名:

展开/折叠

CCNE; Ccne1; CCNE1_HUMAN; cyclin E variant ex5del; cyclin E variant ex7del; Cyclin E1; Cyclin Es; Cyclin Et; CyclinE; G1/S specific cyclin E; G1/S-specific cyclin-E1;

抗原和靶标

免疫原:

A synthesized peptide derived from human Cyclin E1 around the phosphorylation site of Thr395.

基因/基因ID:
描述:
a member of the highly conserved cyclin family, whose members are characterized by a dramatic periodicity in protein abundance through the cell cycle. Cyclins function as regulators of CDK kinases.

研究领域

· Cellular Processes > Cell growth and death > Cell cycle.   (View pathway)

· Cellular Processes > Cell growth and death > Oocyte meiosis.   (View pathway)

· Cellular Processes > Cell growth and death > p53 signaling pathway.   (View pathway)

· Cellular Processes > Cell growth and death > Cellular senescence.   (View pathway)

· Environmental Information Processing > Signal transduction > PI3K-Akt signaling pathway.   (View pathway)

· Human Diseases > Infectious diseases: Viral > Hepatitis B.

· Human Diseases > Infectious diseases: Viral > Measles.

· Human Diseases > Infectious diseases: Viral > Human papillomavirus infection.

· Human Diseases > Cancers: Overview > Pathways in cancer.   (View pathway)

· Human Diseases > Cancers: Overview > Viral carcinogenesis.

· Human Diseases > Cancers: Overview > MicroRNAs in cancer.

· Human Diseases > Cancers: Specific types > Prostate cancer.   (View pathway)

· Human Diseases > Cancers: Specific types > Small cell lung cancer.   (View pathway)

· Human Diseases > Cancers: Specific types > Gastric cancer.   (View pathway)

文献引用

1). AKAP95 regulates ubiquitination and degradation of cyclin Ds/Es, influencing the G1/S transition of lung cancer cells. Molecular carcinogenesis, 2024 (PubMed: 38923703) [IF=3.0]

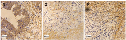
2). Correlations of the expression of Cx43, SCFFBXW7, p-cyclin E1 (Ser73), p-cyclin E1 (Thr77) and p-cyclin E1 (Thr395) in colon cancer tissues. World journal of gastrointestinal oncology, 2025 (PubMed: 39817129) [IF=2.5]

Application: IHC    Species: human    Sample: colon cancer tissue

Figure 1 Expression of Cx43, Skp1-Cullin1-F-box (SCF)FBXW7, Phosphorylation of cyclin E1 (p-cyclin E1) (Ser73, Thr77, Thr395) in 38 colon cancer tissue cases. A: High expression of Cx43 in normal tissues; B: Low expression of Cx43 in colon cancer tissues; C: Medium expression of Cx43 in colon cancer tissues; D: High expression of Cx43 in colon cancer tissues; E: High expression of SCFFBXW7 in normal tissues; F: Low expression of SCFFBXW7 in colon cancer tissues; G: Medium expression of SCFFBXW7in colon cancer tissues; H: High expression of SCFFBXW7in colon cancer tissues; I: High expression of p-cyclin E1 (Ser73) in normal tissues; J: Low expression of p-cyclin E1(Ser73) in colon cancer tissues; K: High expression of p-cyclin E1 (Ser73) in colon cancer tissues; L: Negative expression of p-cyclin E1 (Thr77) in normal tissues; M: Negative expression of p-cyclin E1 (Thr77) in colon cancer tissues; N: High expression of p-cyclin E1(Thr395) in normal tissues; O: Medium expression of p-cyclin E1(Thr395) in colon cancer tissues; P: High expression of p-cyclin E1 (Thr395) in colon cancer tissues. Luan RG, Liu MD, Deng ZF, Lu CL, Yu ML, Zhang MY, Liu R, An R, Yao YL, Guo DB, Zhang YX, Zhao L. Correlations of the expression of Cx43, SCFFBXW7, p-cyclin E1 (Ser73), p-cyclin E1 (Thr77) and p-cyclin E1 (Thr395) in colon cancer tissues. World J Gastrointest Oncol 2025; 17(1): 98410 [PMID: 39817129 DOI: 10.4251/wjgo.v17.i1.98410]

限制条款

产品的规格、报价、验证数据请以官网为准,官网链接:www.affbiotech.com | www.affbiotech.cn(简体中文)| www.affbiotech.jp(日本語)

产品的数据信息为Affinity所有,未经授权不得收集Affinity官网数据或资料用于商业用途,对抄袭产品数据的行为我们将保留诉诸法律的权利。

产品相关数据会因产品批次、产品检测情况随时调整,如您已订购该产品,请以订购时随货说明书为准,否则请以官网内容为准,官网内容有改动时恕不另行通知。

Affinity保证所销售产品均经过严格质量检测。如您购买的商品在规定时间内出现问题需要售后时,请您在Affinity官方渠道提交售后申请。

产品仅供科学研究使用。不用于诊断和治疗。 

产品未经授权不得转售。

Affinity Biosciences将不会对在使用我们的产品时可能发生的专利侵权或其他侵权行为负责。Affinity Biosciences, Affinity Biosciences标志和所有其他商标所有权归Affinity Biosciences LTD.