产品: FGF9 抗体
货号: DF9532
描述: Rabbit polyclonal antibody to FGF9
应用: WB IHC
文献验证: WB, IHC
反应: Human, Mouse, Rat
预测: Pig, Bovine, Horse, Sheep, Rabbit, Dog, Chicken, Xenopus
蛋白ID: P31371
RRID: AB_2842728

浏览相似产品>>

   规格 价格 库存
 100ul RMB¥ 2300 现货
 200ul RMB¥ 3000 现货

货期: 当天发货

联系销售

产品描述

来源:
Rabbit
应用:
WB 1:1000-3000, IHC 1:50-1:200
*The optimal dilutions should be determined by the end user. For optimal experimental results, antibody reuse is not recommended.
*Tips:

WB: 适用于变性蛋白样本的免疫印迹检测. IHC: 适用于组织样本的石蜡(IHC-p)或冰冻(IHC-f)切片样本的免疫组化/荧光检测. IF/ICC: 适用于细胞样本的荧光检测. ELISA(peptide): 适用于抗原肽的ELISA检测.

反应:
Human, Mouse, Rat
克隆:
Polyclonal
特异性:
FGF9 Antibody detects endogenous levels of total FGF9.
RRID:
AB_2842728
引用格式: Affinity Biosciences Cat# DF9532, RRID:AB_2842728.
偶联:
Unconjugated.
纯化:
The antiserum was purified by peptide affinity chromatography using SulfoLink™ Coupling Resin (Thermo Fisher Scientific).
保存:
Rabbit IgG in phosphate buffered saline , pH 7.4, 150mM NaCl, 0.02% sodium azide and 50% glycerol. Store at -20 °C. Stable for 12 months from date of receipt.
别名:

展开/折叠

FGF 9; FGF-9; FGF9; FGF9_HUMAN; Fibroblast growth factor 9; GAF (Glia-activafibroblast growth factor 9 (glia-activating factor); GAF; Glia Activating Factor; Glia-activating factor; HBFG 9; HBFG9; HBGF-9; Heparin-binding growth factor 9; MGC119914; MGC119915; SYNS3;

抗原和靶标

免疫原:

A synthesized peptide derived from human FGF9, corresponding to a region within N-terminal amino acids.

基因/基因ID:

研究领域

· Cellular Processes > Cell motility > Regulation of actin cytoskeleton.   (View pathway)

· Environmental Information Processing > Signal transduction > MAPK signaling pathway.   (View pathway)

· Environmental Information Processing > Signal transduction > Ras signaling pathway.   (View pathway)

· Environmental Information Processing > Signal transduction > Rap1 signaling pathway.   (View pathway)

· Environmental Information Processing > Signal transduction > PI3K-Akt signaling pathway.   (View pathway)

· Human Diseases > Cancers: Overview > Pathways in cancer.   (View pathway)

· Human Diseases > Cancers: Specific types > Melanoma.   (View pathway)

· Human Diseases > Cancers: Specific types > Breast cancer.   (View pathway)

· Human Diseases > Cancers: Specific types > Gastric cancer.   (View pathway)

文献引用

1). Identification of potential shared core biomarkers in type 2 diabetes and sarcopenia. Scientific reports, 2025 (PubMed: 40659717) [IF=3.8]

2). Homocysteine in androgenetic alopecia: A case control study and observational experiments on mice. Journal of cosmetic dermatology, 2024 (PubMed: 38932477) [IF=2.3]

Application: IHC    Species: Mouse    Sample:

FIGURE 5 IHC staining and positive rates of IHC markers.

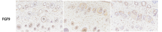
3). Role of FGF9 in sheep testis steroidogenesis during sexual maturation. ANIMAL REPRODUCTION SCIENCE, 2018 (PubMed: 30154034) [IF=2.2]

Application: IHC    Species: sheep    Sample: testis

Fig. 2. |Concentrations of serum testosterone and expressions of FGF9 in testis of male sheep at different development stages. A, concentrations of serum testosterone by ELISA. B, relative abundances of FGF9 mRNA. C and D, abundances of FGF9 proteins. E, FGF9-immunopositive cells in the testis

Application: WB    Species: sheep    Sample: testis

Fig. 2. |Concentrations of serum testosterone and expressions of FGF9 in testis of male sheep at different development stages. A, concentrations of serum testosterone by ELISA. B, relative abundances of FGF9 mRNA. C and D, abundances of FGF9 proteins. E, FGF9-immunopositive cells in the testis

Application: IF/ICC    Species: sheep    Sample: Leydig cells

Fig. 3. | Abundances of FGF9 in Leydig cells after siRNA interference. A, analysis of FGF9 immunoreactivity in Leydig cells. B, analysis of relative abundances of FGF9 mRNA by qRT-PCR. C, analysis of the abundances of FGF9 protein by western blotting; All data are presented as means ± SD from at least three separate experiments; Different letters indicate differences between means (P < 0.05); Bar = 50 μm

4). Celastrol protects against diabetic nephropathy by modulating immune-related pathways: a bioinformatics and experimental validation. American journal of translational research, 2025 (PubMed: 40385066) [IF=1.7]

Application: WB    Species: human    Sample: HK-2 cells

Figure 9. The in vitro experiments to validate the protective effects of celastrol against cytotoxicity, apoptosis, inflammation and fibrosis in HG-treated HK-2 cells. A. Cell viability was detected by CCK-8. B. Cell apoptosis was assessed by flow cytometry analysis. C. ELISA was used to determine the levels of IL-6 and TNF-α. D, E. The expression levels of fibrosis-related proteins (COL-IV, FN, and α-SMA) and three key targets (THBS2, MAFI2, and FGF9) were detected using western blotting. Each experiment was performed at least three times; *P < 0.05, **P < 0.01, ***P < 0.001.

限制条款

产品的规格、报价、验证数据请以官网为准,官网链接:www.affbiotech.com | www.affbiotech.cn(简体中文)| www.affbiotech.jp(日本語)

产品的数据信息为Affinity所有,未经授权不得收集Affinity官网数据或资料用于商业用途,对抄袭产品数据的行为我们将保留诉诸法律的权利。

产品相关数据会因产品批次、产品检测情况随时调整,如您已订购该产品,请以订购时随货说明书为准,否则请以官网内容为准,官网内容有改动时恕不另行通知。

Affinity保证所销售产品均经过严格质量检测。如您购买的商品在规定时间内出现问题需要售后时,请您在Affinity官方渠道提交售后申请。

产品仅供科学研究使用。不用于诊断和治疗。 

产品未经授权不得转售。

Affinity Biosciences将不会对在使用我们的产品时可能发生的专利侵权或其他侵权行为负责。Affinity Biosciences, Affinity Biosciences标志和所有其他商标所有权归Affinity Biosciences LTD.