产品: 磷酸化 EGFR (Tyr1173)[Tyr1197] 抗体
货号: AF3048
描述: Rabbit polyclonal antibody to Phospho-EGFR (Tyr1173)[Tyr1197]
应用: WB IHC IF/ICC
文献验证: WB, IHC
反应: Human, Mouse, Rat
预测: Pig, Bovine, Horse, Sheep, Rabbit
蛋白号: P00533
RRID: AB_2834475

浏览相似产品>>

   规格 价格 库存
 50ul RMB¥ 1040 1300 现货
 100ul RMB¥ 1920 2400 现货
 200ul RMB¥ 3200 现货

货期: 当天发货

联系销售

产品描述

来源:
Rabbit
应用:
WB 1:500-1:2000, IHC 1:50-1:200, IF/ICC 1:100-1:500
*The optimal dilutions should be determined by the end user. For optimal experimental results, antibody reuse is not recommended.
*Tips:

WB: 适用于变性蛋白样本的免疫印迹检测. IHC: 适用于组织样本的石蜡(IHC-p)或冰冻(IHC-f)切片样本的免疫组化/荧光检测. IF/ICC: 适用于细胞样本的荧光检测. ELISA(peptide): 适用于抗原肽的ELISA检测.

反应:
Human, Mouse, Rat
克隆:
Polyclonal
特异性:
Phospho-EGFR (Tyr1173) Antibody detects endogenous levels of EGFR only when phosphorylated at Tyr1197, which site historically referenced as Tyr1173.
RRID:
AB_2834475
引用格式: Affinity Biosciences Cat# AF3048, RRID:AB_2834475.
偶联:
Unconjugated.
纯化:
The antibody is from purified rabbit serum by affinity purification via sequential chromatography on phospho-peptide and non-phospho-peptide affinity columns.
保存:
Rabbit IgG in phosphate buffered saline , pH 7.4, 150mM NaCl, 0.02% sodium azide and 50% glycerol. Store at -20 °C. Stable for 12 months from date of receipt.
别名:

展开/折叠

Avian erythroblastic leukemia viral (v erb b) oncogene homolog; Cell growth inhibiting protein 40; Cell proliferation inducing protein 61; EGF R; EGFR; EGFR_HUMAN; Epidermal growth factor receptor (avian erythroblastic leukemia viral (v erb b) oncogene homolog); Epidermal growth factor receptor (erythroblastic leukemia viral (v erb b) oncogene homolog avian); Epidermal growth factor receptor; erb-b2 receptor tyrosine kinase 1; ERBB; ERBB1; Errp; HER1; mENA; NISBD2; Oncogen ERBB; PIG61; Proto-oncogene c-ErbB-1; Receptor tyrosine protein kinase ErbB 1; Receptor tyrosine-protein kinase ErbB-1; SA7; Species antigen 7; Urogastrone; v-erb-b Avian erythroblastic leukemia viral oncogen homolog; wa2; Wa5;

抗原和靶标

免疫原:

A synthesized peptide derived from human EGFR around the phosphorylation site of Tyr1197.

基因/基因ID:
描述:
EGFR is a receptor tyrosine kinase. Receptor for epidermal growth factor (EGF) and related growth factors including TGF-alpha, amphiregulin, betacellulin, heparin-binding EGF-like growth factor, GP30 and vaccinia virus growth factor. Is involved in the control of cell growth and differentiation.

研究领域

· Cellular Processes > Transport and catabolism > Endocytosis.   (View pathway)

· Cellular Processes > Cellular community - eukaryotes > Focal adhesion.   (View pathway)

· Cellular Processes > Cellular community - eukaryotes > Adherens junction.   (View pathway)

· Cellular Processes > Cellular community - eukaryotes > Gap junction.   (View pathway)

· Cellular Processes > Cell motility > Regulation of actin cytoskeleton.   (View pathway)

· Environmental Information Processing > Signal transduction > MAPK signaling pathway.   (View pathway)

· Environmental Information Processing > Signal transduction > ErbB signaling pathway.   (View pathway)

· Environmental Information Processing > Signal transduction > Ras signaling pathway.   (View pathway)

· Environmental Information Processing > Signal transduction > Rap1 signaling pathway.   (View pathway)

· Environmental Information Processing > Signal transduction > Calcium signaling pathway.   (View pathway)

· Environmental Information Processing > Signaling molecules and interaction > Cytokine-cytokine receptor interaction.   (View pathway)

· Environmental Information Processing > Signal transduction > HIF-1 signaling pathway.   (View pathway)

· Environmental Information Processing > Signal transduction > FoxO signaling pathway.   (View pathway)

· Environmental Information Processing > Signal transduction > Phospholipase D signaling pathway.   (View pathway)

· Environmental Information Processing > Signal transduction > PI3K-Akt signaling pathway.   (View pathway)

· Environmental Information Processing > Signal transduction > Jak-STAT signaling pathway.   (View pathway)

· Human Diseases > Drug resistance: Antineoplastic > EGFR tyrosine kinase inhibitor resistance.

· Human Diseases > Drug resistance: Antineoplastic > Endocrine resistance.

· Human Diseases > Infectious diseases: Bacterial > Epithelial cell signaling in Helicobacter pylori infection.

· Human Diseases > Infectious diseases: Viral > Hepatitis C.

· Human Diseases > Infectious diseases: Viral > Human papillomavirus infection.

· Human Diseases > Cancers: Overview > Pathways in cancer.   (View pathway)

· Human Diseases > Cancers: Overview > Proteoglycans in cancer.

· Human Diseases > Cancers: Overview > MicroRNAs in cancer.

· Human Diseases > Cancers: Specific types > Colorectal cancer.   (View pathway)

· Human Diseases > Cancers: Specific types > Pancreatic cancer.   (View pathway)

· Human Diseases > Cancers: Specific types > Endometrial cancer.   (View pathway)

· Human Diseases > Cancers: Specific types > Glioma.   (View pathway)

· Human Diseases > Cancers: Specific types > Prostate cancer.   (View pathway)

· Human Diseases > Cancers: Specific types > Melanoma.   (View pathway)

· Human Diseases > Cancers: Specific types > Bladder cancer.   (View pathway)

· Human Diseases > Cancers: Specific types > Non-small cell lung cancer.   (View pathway)

· Human Diseases > Cancers: Specific types > Breast cancer.   (View pathway)

· Human Diseases > Cancers: Specific types > Hepatocellular carcinoma.   (View pathway)

· Human Diseases > Cancers: Specific types > Gastric cancer.   (View pathway)

· Human Diseases > Cancers: Overview > Central carbon metabolism in cancer.   (View pathway)

· Human Diseases > Cancers: Overview > Choline metabolism in cancer.   (View pathway)

· Organismal Systems > Endocrine system > Estrogen signaling pathway.   (View pathway)

· Organismal Systems > Endocrine system > Oxytocin signaling pathway.

· Organismal Systems > Endocrine system > Relaxin signaling pathway.

文献引用

1). Astragaloside IV protects against high altitude hypoxia-induced cardiac injury through the CaSR-NF-kB and EGFR-PI3K-AKT-MDM2 pathways. Apoptosis : an international journal on programmed cell death, 2025 (PubMed: 41126001) [IF=6.1]

2). Resistance to anti-HER2 therapy associated with the TSC2 nonsynonymous variant c.4349 C > G (p.Pro1450Arg) is reversed by CDK4/6 inhibitor in HER2-positive breast cancer. npj Breast Cancer, 2023 (PubMed: 37160904) [IF=5.9]

Application: WB    Species: Human    Sample: BT474 cell

Fig. 3 Expression of proteins involved in the HER2/AKT/mTOR and cyclinD1/CDK4 signaling pathways in BT474 cell lines treated with lapatinib and/or palbociclib. a Western blot analysis of proteins involved in the HER2/AKT/mTOR signaling pathway after treatment with lapatinib and/or palbociclib for 48 h. b Western blot analysis of proteins involved in the cyclinD1/CDK4 signaling pathway after treatment with lapatinib and/or palbociclib for 48 h. c p-HER2 expression levels under treatment with different drugs in the same cell. d p-HER2 expression levels in TSC2-NC, WT, and MT groups treated with the same drugs. e p-TSC2 expression levels under treatment with different drugs in the same cell. f p-TSC2 expression levels in TSC2-NC, WT, and MT groups treated with the same drugs. g p-mTOR expression levels under treatment with different drugs in the same cell. h p-mTOR expression levels in TSC2-NC, WT, and MT groups treated with the same drugs. i p-P70S6K expression levels under treatment with different drugs in the same cell. j p-P70S6K expression levels in TSC2-NC, WT, and MT groups treated with the same drugs. Data are shown as mean ± SD; One-way ANOVA was used to analyze the data in (d, f, h, j). Error bars are SEM.

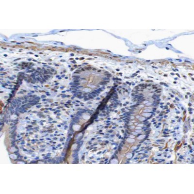
3). TNIK drives castration-resistant prostate cancer via phosphorylating EGFR. iScience, 2024 (PubMed: 38226156) [IF=5.8]

Application: IHC    Species: Mouse    Sample:

Figure 6 Targeting TNIK suppresses CRPC tumor progression in vivo (A) C4-2 cells were implanted subcutaneously in male BALB/c mice. When tumors became palpable, mice administered daily by oral gavage either with vehicle (10% DMSO in PBS) or NCB0846 (80 mg/kg of body weight) for 10 days (n = 4 mice for each treatment). Tumor volumes were measured with calipers. (B) Tumor size of xenografts of the above represented the growth of tumor over 10 days (n = 4) in athymic nude mice (p < 0.001). Data are shown as mean ± SD. (C) Tumor weight of the control mice tumors and NCB-0846-treated mice tumors (p < 0.001). Data are shown as mean ± SD. (D) Body weight of nude mice after implantation of control or C4-2 xenografts and treatment with vehicle or NCB-0846 for 4 weeks. (E) Quantitation of Ki-67, TNIK, p-EGFR, β-catenin, vimentin, E-cadherin, BMP6, and BMP7 expressions in C4-2 xenograft tumors from each group; specimens were got at 10 days posttreatment. Scale bars: 500 μm. The IHC was scored according to number of cells expressing the indicated proteins, and statistical analysis was performed (non-parametric Kruskal-Wallis test) in order to determine significance. Data are shown as mean ± SD.

4). Quinalizarin, a specific CK2 inhibitor, can reduce icotinib resistance in human lung adenocarcinoma cell lines. INTERNATIONAL JOURNAL OF MOLECULAR MEDICINE, 2019 (PubMed: 31173177) [IF=5.7]

Application: WB    Species: human    Sample: H1650, H1975 and A549 cells

Figure 2.| Cell lines with different EGFR genotypes have different basal expressions of CK2 and EGFR. Western blotting images, and quantification of CK2α, EGFR and p‑EGFR protein expression. β‑actin was used as a loading control. The mean ± standard deviation was calculated for three independent experiments. CK2α, casein kinase II subunit α; EGFR, epidermal growth factor receptor; p‑, phosphorylated.

5). Ethyl acetate extract of Ruta graveolens: a specific and potent inhibitor against the drug-resistant EGFR_T790M mutant in NSCLC. Frontiers in pharmacology, 2025 (PubMed: 40365309) [IF=5.6]

Application: WB    Species: human    Sample: H1975 cells, A431 cells, A549 cells, H1299 cells

Figure 10. Immunoblot analysis of EGFR phosphorylation inhibition in various cell lines treated with EAE. Panel shows: (A) H1975 cells, (B) A431 cells, (C) A549 cells, (D) H1299 cells. Cells were untreated or treated with DMSO (vehicle control) or EAE (100 and 200 μg) for 48 h. Cell lysates were analyzed for EGFR, phospho-EGFR (Tyr1068/1092 and Tyr1173/1197), and GAPDH (loading control) by immunoblotting. The experiment was performed in triplicates, so the densitometry analysis, represented as bar graphs with error bars, showed significant inhibition of EGFR phosphorylation in all cell lines following EAE treatment compared to control expression of EGFR across all cell lines. (n = 3).

6). PTPRH Alleviates Airway Obstruction and Th2 Inflammation in Asthma as a Protective Factor. Journal of Asthma and Allergy, 2022 (PubMed: 35140475) [IF=3.7]

Application: WB    Species: Human    Sample: HBECs

Figure 7 The expression of PTPRH was induced by cytokine IL-13 and the effect of PTPRH on EGFR, ERK1/2, and AKT in HBECs. (A) The transcript levels of PTPRH and EGFR with or without IL-13 stimulation were detected by qRT-PCR. (B) The protein expression in HBECs with or without IL-13 stimulation were detected by Western blotting. (C) The protein expression in HBECs transfected with empty or PTPRH over expression vector were detected by Western blotting. (D) The protein expression in HBECs transfected with empty or PTPRH siRNA were detected by Western blotting. The transcript levels are expressed as log2 transformed and relative to the mean of control group. Data are mean ± SD. *p < 0.05; **p < 0.01.

7). Ethoxy-erianin phosphate and afatinib synergistically inhibit liver tumor growth and angiogenesis via regulating VEGF and EGFR signaling pathways. Toxicology and Applied Pharmacology, 2022 (PubMed: 35143806) [IF=3.3]

8). Astragaloside IV Improves Cognitive Impairment by Reducing β-Amyloid and Tau Protein Deposition in Hippocampal Tissue of db/db Mice: A PET/CT Imaging-Based Study. Diabetes, metabolic syndrome and obesity : targets and therapy, 2025 (PubMed: 40970224) [IF=2.8]

Application: WB    Species: Mouse    Sample:

Figure 6 The effects of AS-IV on the EGFR/NF-κB pathway in db/db mice. Representative Western blot bands and grayscale analysis results for p-EGFR/EGFR (A), p-NF-ΚB/NF-ΚB (B). Values represented as means ± SEM (n = 3). *P < 0.05, **P < 0.01, ***P < 0.001, compared with the model group.

9). Inorganic arsenic exposure promotes malignant progression by HDAC6-mediated down-regulation of HTRA1. Journal of Applied Toxicology, 2023 (PubMed: 36861143) [IF=2.7]

Application: WB    Species: Human    Sample: Caco-2 cells

FIGURE 3 Molecular profiling for iAs-induced changes in Caco-2 cells. (A) Protein levels of claudin 3 and cofilin were determined by Western blot analysis. (B) Transcript levels of IL-6, TNF-α, and MMP13 were determined by RT-qPCR, with GAPDH as an internal control. (C) The levels of EGF in the culture supernatant were examined by ELISA. (D) A marked increase in the phosphorylated levels of EGFR, Src, AKT, and p38 was shown by Western blot analysis. RT-qPCR (E) and Western blot analysis (F) results showed the down-regulation of HTRA1 expression caused by chronic iAs exposure. Data were representatives of at least three independent experiments, shown as mean ± SD. The significance threshold for Student's t-test:

10). Network pharmacology and experimental verification to explore the molecular mechanisms of Astragaloside IV against diabetic encephalopathy. Biochemical and biophysical research communications, 2025 (PubMed: 40239538) [IF=2.5]

加载更多

限制条款

产品的规格、报价、验证数据请以官网为准,官网链接:www.affbiotech.com | www.affbiotech.cn(简体中文)| www.affbiotech.jp(日本語)

产品的数据信息为Affinity所有,未经授权不得收集Affinity官网数据或资料用于商业用途,对抄袭产品数据的行为我们将保留诉诸法律的权利。

产品相关数据会因产品批次、产品检测情况随时调整,如您已订购该产品,请以订购时随货说明书为准,否则请以官网内容为准,官网内容有改动时恕不另行通知。

Affinity保证所销售产品均经过严格质量检测。如您购买的商品在规定时间内出现问题需要售后时,请您在Affinity官方渠道提交售后申请。

产品仅供科学研究使用。不用于诊断和治疗。 

产品未经授权不得转售。

Affinity Biosciences将不会对在使用我们的产品时可能发生的专利侵权或其他侵权行为负责。Affinity Biosciences, Affinity Biosciences标志和所有其他商标所有权归Affinity Biosciences LTD.