产品: HIPK2 抗体
货号: DF7982
描述: Rabbit polyclonal antibody to HIPK2
应用: WB IHC IF/ICC
文献验证: WB
反应: Human, Mouse
预测: Pig, Zebrafish, Bovine, Horse, Rabbit, Chicken
蛋白ID: Q9H2X6
RRID: AB_2841369

浏览相似产品>>

   规格 价格 库存
 50ul RMB¥ 1250 现货
 100ul RMB¥ 2300 现货
 200ul RMB¥ 3000 现货

货期: 当天发货

联系销售

产品描述

来源:
Rabbit
应用:
WB 1:1000-3000, IHC 1:50-1:200, IF/ICC 1:100-1:500
*The optimal dilutions should be determined by the end user. For optimal experimental results, antibody reuse is not recommended.
*Tips:

WB: 适用于变性蛋白样本的免疫印迹检测. IHC: 适用于组织样本的石蜡(IHC-p)或冰冻(IHC-f)切片样本的免疫组化/荧光检测. IF/ICC: 适用于细胞样本的荧光检测. ELISA(peptide): 适用于抗原肽的ELISA检测.

反应:
Human, Mouse
克隆:
Polyclonal
特异性:
HIPK2 Antibody detects endogenous levels of total HIPK2.
RRID:
AB_2841369
引用格式: Affinity Biosciences Cat# DF7982, RRID:AB_2841369.
偶联:
Unconjugated.
纯化:
The antiserum was purified by peptide affinity chromatography using SulfoLink™ Coupling Resin (Thermo Fisher Scientific).
保存:
Rabbit IgG in phosphate buffered saline , pH 7.4, 150mM NaCl, 0.02% sodium azide and 50% glycerol. Store at -20 °C. Stable for 12 months from date of receipt.
别名:

展开/折叠

hHIPk 2; hHIPk2; HIPK 2; Hipk2; HIPK2_HUMAN; Homeodomain interacting protein kinase 2; Homeodomain-interacting protein kinase 2; Nbak1; Nuclear body-associated kinase 1; PRO0593; Sialophorin tail-associated nuclear serine/threonine-protein kinase; Stank;

抗原和靶标

免疫原:

A synthesized peptide derived from human HIPK2, corresponding to a region within N-terminal amino acids.

基因/基因ID:

研究领域

· Cellular Processes > Cell growth and death > Cellular senescence.   (View pathway)

文献引用

1). miR-664a-5p promotes experimental membranous nephropathy progression through HIPK2/Calpain1/GSα-mediated autophagy inhibition. Journal of cellular and molecular medicine, 2024 (PubMed: 38186203) [IF=5.3]

Application: WB    Species: human    Sample: HK-2 cells

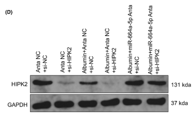
FIGURE 2 Binding detection of miR-664a-5p and the 3′UTR of HIPK2 mRNA and effects of HIPK2 knockdown on HIPK2 expression and damage in HK-2 cells treated with miR-664a-5p antagomir and albumin. (A) The predicted binding site and the mutation sequence of the binding site between miR-664a-5p and the HIPK2 mRNA 3′UTR. (B) HEK293T cells were transfected with the luciferase reporter plasmid HIPK2 3′-UTRWT or HIPK2 3′-UTRMT toghether with miRNA agomir NC or miR-664a-5p agomir, and then the intracellular luciferase activity was detected. (C) Western blot assay was used to detect HIPK2 protein expression in HK-2 cells treated with solvent or albumin (100 mg/mL) and transfected with miRNA antagomir NC or miR-664a-5p antagomir for 72 h. GAPDH was the internal parameter (left panel). The statistical results of grey value of WB strip are shown on the right. (D–F) HK-2 cells were treated with solvent or albumin (100 mg/mL), combined with miRNA antagomir NC or miR-664a-5p antagomir together with NC siRNA or HIPK2 siRNA for 72 h. (D) The intracellular HIPK2 protein content was detected by Western Blot, with GAPDH as the internal reference (left panel). The statistical results of grey value of WB strip are shown on the right. (E) CCK-8 kit was used to detect the ability of cell growth of HK-2 cells in each group. (F) Apoptosis was detected by flow cytometry with Annexin V-FITC/PI dye. Data were expressed as Mean ± SD. One-way analysis of variance was used for statistical analysis between groups, with ** indicating p  0.05.

2). Low dose Taxol ameliorated renal fibrosis in mice with diabetic kidney disease by downregulation of HIPK2. Life Sciences, 2023 (PubMed: 36907324) [IF=5.2]

限制条款

产品的规格、报价、验证数据请以官网为准,官网链接:www.affbiotech.com | www.affbiotech.cn(简体中文)| www.affbiotech.jp(日本語)

产品的数据信息为Affinity所有,未经授权不得收集Affinity官网数据或资料用于商业用途,对抄袭产品数据的行为我们将保留诉诸法律的权利。

产品相关数据会因产品批次、产品检测情况随时调整,如您已订购该产品,请以订购时随货说明书为准,否则请以官网内容为准,官网内容有改动时恕不另行通知。

Affinity保证所销售产品均经过严格质量检测。如您购买的商品在规定时间内出现问题需要售后时,请您在Affinity官方渠道提交售后申请。

产品仅供科学研究使用。不用于诊断和治疗。 

产品未经授权不得转售。

Affinity Biosciences将不会对在使用我们的产品时可能发生的专利侵权或其他侵权行为负责。Affinity Biosciences, Affinity Biosciences标志和所有其他商标所有权归Affinity Biosciences LTD.