产品: DAB2 抗体
货号: DF7792
描述: Rabbit polyclonal antibody to DAB2
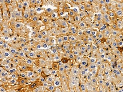
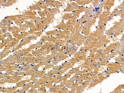
应用: WB IHC IF/ICC
文献验证: WB, IF/ICC
反应: Human, Mouse
预测: Pig, Bovine, Sheep, Rabbit, Dog, Xenopus
蛋白号: P98082
RRID: AB_2841249

浏览相似产品>>

   规格 价格 库存
 50ul RMB¥ 1000 1250 现货
 100ul RMB¥ 1840 2300 现货
 200ul RMB¥ 3000 现货

货期: 当天发货

联系销售

产品描述

来源:
Rabbit
应用:
IHC 1:50-1:200, WB 1:1000-3000, IF/ICC 1:100-1:500
*The optimal dilutions should be determined by the end user. For optimal experimental results, antibody reuse is not recommended.
*Tips:

WB: 适用于变性蛋白样本的免疫印迹检测. IHC: 适用于组织样本的石蜡(IHC-p)或冰冻(IHC-f)切片样本的免疫组化/荧光检测. IF/ICC: 适用于细胞样本的荧光检测. ELISA(peptide): 适用于抗原肽的ELISA检测.

反应:
Human, Mouse
克隆:
Polyclonal
特异性:
DAB2 Antibody detects endogenous levels of total DAB2.
RRID:
AB_2841249
引用格式: Affinity Biosciences Cat# DF7792, RRID:AB_2841249.
偶联:
Unconjugated.
纯化:
The antiserum was purified by peptide affinity chromatography using SulfoLink™ Coupling Resin (Thermo Fisher Scientific).
保存:
Rabbit IgG in phosphate buffered saline , pH 7.4, 150mM NaCl, 0.02% sodium azide and 50% glycerol. Store at -20 °C. Stable for 12 months from date of receipt.
别名:

展开/折叠

DAB 2; Dab, mitogen-responsive phosphoprotein, homolog 2 (Drosophila); DAB2; Differentially expressed in ovarian cancer 2; Differentially expressed protein 2; Disabled (Drosophila) homolog 2 (mitogen responsive phosphoprotein); Disabled homolog 2; Disabled homolog 2 mitogen responsive phosphoprotein (Drosophila); Disabled homolog 2 mitogen responsive phosphoprotein; Disabled, Drosophila, homolog of, 2; DOC 2; DOC2; FLJ26626; Mitogen responsive phosphoprotein;

抗原和靶标

免疫原:

A synthesized peptide derived from human DAB2, corresponding to a region within C-terminal amino acids.

基因/基因ID:

研究领域

· Cellular Processes > Transport and catabolism > Endocytosis.   (View pathway)

文献引用

1). DAB2 promotes pulmonary fibrosis and may act as an intermediate between IGF‑1R and PI3K/AKT signaling pathways. Experimental and Therapeutic Medicine, 2023 (PubMed: 37021069) [IF=2.4]

Application: WB    Species: Human    Sample: MRC-5 cells

Figure 2 Knockdown of DAB2 inhibits TGF-β1-induced proliferation of MRC-5 cells. Myofibroblast differentiation of MRC-5 cells (human embryonic lung fibroblasts) under TGF-β1 induction for 24 h. (A) Immunofluorescence staining of DAB2 in MRC-5 cells with TGF-β1 treatment (scale bar, 50 µm). (B) Relative mRNA level of DAB2 in TGF-β1-treated MRC-5 cells. ***P

Application: IF/ICC    Species: Human    Sample: MRC-5 cells

Figure 1 Expression of DAB2 is significantly upregulated in the bleomycin-induced fibrotic lung tissue. (A-C) Results from differential gene expression analysis based on Gene Expression Omnibus database. Lung samples from mice treated with saline (Control group) or bleomycin (BLM group) were set in GSE8553. (A) Volcano plot showing 244 differentially expressed genes with blue dots representing downregulated genes (Log2FC

限制条款

产品的规格、报价、验证数据请以官网为准,官网链接:www.affbiotech.com | www.affbiotech.cn(简体中文)| www.affbiotech.jp(日本語)

产品的数据信息为Affinity所有,未经授权不得收集Affinity官网数据或资料用于商业用途,对抄袭产品数据的行为我们将保留诉诸法律的权利。

产品相关数据会因产品批次、产品检测情况随时调整,如您已订购该产品,请以订购时随货说明书为准,否则请以官网内容为准,官网内容有改动时恕不另行通知。

Affinity保证所销售产品均经过严格质量检测。如您购买的商品在规定时间内出现问题需要售后时,请您在Affinity官方渠道提交售后申请。

产品仅供科学研究使用。不用于诊断和治疗。 

产品未经授权不得转售。

Affinity Biosciences将不会对在使用我们的产品时可能发生的专利侵权或其他侵权行为负责。Affinity Biosciences, Affinity Biosciences标志和所有其他商标所有权归Affinity Biosciences LTD.