产品: ASC2 抗体
货号: DF7540
描述: Rabbit polyclonal antibody to ASC2
应用: WB IHC
文献验证: WB
反应: Human, Mouse, Rat
蛋白号: Q8WXC3
RRID: AB_2841039

浏览相似产品>>

   规格 价格 库存
 100ul RMB¥ 2300 现货
 200ul RMB¥ 3000 现货

货期: 当天发货

联系销售

产品描述

来源:
Rabbit
应用:
WB 1:1000-3000, IHC 1:50-1:200
*The optimal dilutions should be determined by the end user. For optimal experimental results, antibody reuse is not recommended.
*Tips:

WB: 适用于变性蛋白样本的免疫印迹检测. IHC: 适用于组织样本的石蜡(IHC-p)或冰冻(IHC-f)切片样本的免疫组化/荧光检测. IF/ICC: 适用于细胞样本的荧光检测. ELISA(peptide): 适用于抗原肽的ELISA检测.

反应:
Human, Mouse, Rat
克隆:
Polyclonal
特异性:
ASC2 Antibody detects endogenous levels of total ASC2.
RRID:
AB_2841039
引用格式: Affinity Biosciences Cat# DF7540, RRID:AB_2841039.
偶联:
Unconjugated.
纯化:
The antiserum was purified by peptide affinity chromatography using SulfoLink™ Coupling Resin (Thermo Fisher Scientific).
保存:
Rabbit IgG in phosphate buffered saline , pH 7.4, 150mM NaCl, 0.02% sodium azide and 50% glycerol. Store at -20 °C. Stable for 12 months from date of receipt.
别名:

展开/折叠

PAAD domain only protein; PAAD-only protein 1; POP1; PYC1; PYD (pyrin domain) containing 1; PYDC1; PYDC1_HUMAN; Pyrin domain containing 1; Pyrin domain-containing protein 1; Pyrin only protein 1; Pyrin-only protein 1;

抗原和靶标

免疫原:

A synthesized peptide derived from human ASC2, corresponding to a region within N-terminal amino acids.

基因/基因ID:

研究领域

· Organismal Systems > Immune system > NOD-like receptor signaling pathway.   (View pathway)

文献引用

1). Traditional Chinese Medicine formula Dai-Zong-Fang alleviating hepatic steatosis in db/db mice via gut microbiota modulation. Frontiers in pharmacology, 2024 (PubMed: 38327989) [IF=5.6]

2). Integrated metabolomics and network pharmacology to explore the mechanism of Huzhang Erjin Decoction against ANIT-induced cholestatic hepatitis. Journal of ethnopharmacology, 2025 (PubMed: 40466881) [IF=4.8]

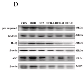
Application: WB    Species: Mouse    Sample:

Fig. 6. Mechanism validation results of HED in the treatment of cholestatic hepatitis. (A–G) Protein expression of PPARγ, NLRP3, pro caspase-1, IL-1β, and ASC was detected by Western blotting (n = 3). Compared with the control group, ∗P < 0.05, ∗∗P < 0.01. Compared with the model group, #P < 0.05, ##P < 0.01.

3). lncRNA‑MALAT1 promotes high glucose‑induced H9C2 cardiomyocyte pyroptosis by downregulating miR‑141‑3p expression. Molecular Medicine Reports, 2021 (PubMed: 33576445) [IF=3.4]

Application: WB    Species: Human    Sample: H9C2 cells

Figure 3. Effects of MALAT1 on pyroptosis-associated protein expression levels. ASC, GSDMD-N, caspase-1, NLRP3 and GSDMD protein expression levels were measured via western blotting. *P<0.05 and **P<0.01 vs. NG; #P<0.05 and ##P<0.01 vs. HG; ^P<0.05 and ^^P<0.01 vs. NC1; %P<0.05 vs. NC2. MALAT1, metastasis-associated lung adenocarcinoma transcript-1; ASC, apoptosis-associated speck-like protein; GSDMD, gasdermin D; NLRP3, nucleotide oligomerization domain-like receptor protein 3; NG, normal glucose; HG, high glucose; NC, negative control; NC1, MALAT1 overexpression NC group; NC2, MALAT1 knockdown NC group; si, small interfering RNA.

限制条款

产品的规格、报价、验证数据请以官网为准,官网链接:www.affbiotech.com | www.affbiotech.cn(简体中文)| www.affbiotech.jp(日本語)

产品的数据信息为Affinity所有,未经授权不得收集Affinity官网数据或资料用于商业用途,对抄袭产品数据的行为我们将保留诉诸法律的权利。

产品相关数据会因产品批次、产品检测情况随时调整,如您已订购该产品,请以订购时随货说明书为准,否则请以官网内容为准,官网内容有改动时恕不另行通知。

Affinity保证所销售产品均经过严格质量检测。如您购买的商品在规定时间内出现问题需要售后时,请您在Affinity官方渠道提交售后申请。

产品仅供科学研究使用。不用于诊断和治疗。 

产品未经授权不得转售。

Affinity Biosciences将不会对在使用我们的产品时可能发生的专利侵权或其他侵权行为负责。Affinity Biosciences, Affinity Biosciences标志和所有其他商标所有权归Affinity Biosciences LTD.