产品: 磷酸化 NFAT2 (Ser294) 抗体
货号: AF8012
描述: Rabbit polyclonal antibody to Phospho-NFAT2 (Ser294)
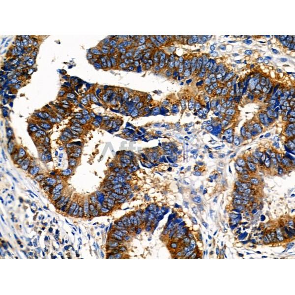
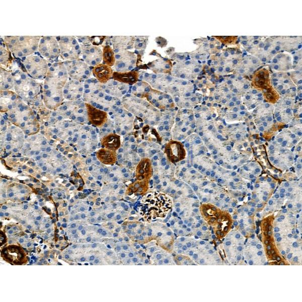
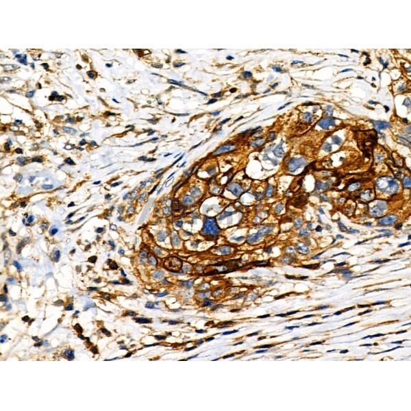
应用: WB IHC
文献验证: WB
反应: Human, Mouse, Rat
预测: Bovine, Rabbit
蛋白号: O95644
RRID: AB_2840075

浏览相似产品>>

   规格 价格 库存
 100ul RMB¥ 2800 现货
 200ul RMB¥ 3800 现货

货期: 当天发货

联系销售

产品描述

来源:
Rabbit
应用:
WB 1:1000-3000, IHC 1:50-1:200
*The optimal dilutions should be determined by the end user. For optimal experimental results, antibody reuse is not recommended.
*Tips:

WB: 适用于变性蛋白样本的免疫印迹检测. IHC: 适用于组织样本的石蜡(IHC-p)或冰冻(IHC-f)切片样本的免疫组化/荧光检测. IF/ICC: 适用于细胞样本的荧光检测. ELISA(peptide): 适用于抗原肽的ELISA检测.

反应:
Human, Mouse, Rat
克隆:
Polyclonal
特异性:
Phospho-NFAT2 (Ser294) Antibody detects endogenous levels of NFAT2 only when phosphorylated at Ser294.
RRID:
AB_2840075
引用格式: Affinity Biosciences Cat# AF8012, RRID:AB_2840075.
偶联:
Unconjugated.
纯化:
The antibody is from purified rabbit serum by affinity purification via sequential chromatography on phospho-peptide and non-phospho-peptide affinity columns.
保存:
Rabbit IgG in phosphate buffered saline , pH 7.4, 150mM NaCl, 0.02% sodium azide and 50% glycerol. Store at -20 °C. Stable for 12 months from date of receipt.
别名:

展开/折叠

cytoplasmic 1; MGC138448; NF ATc; NF ATc1; NF-ATc; NF-ATc1; NF-ATc1.2; NFAC1_HUMAN; NFAT 2; NFAT transcription complex cytosolic component; NFATC 1; NFATc; NFATc1; Nuclear factor of activated T cells cytoplasmic 1; Nuclear factor of activated T cells cytoplasmic calcineurin dependent 1; Nuclear factor of activated T cells cytosolic component 1; nuclear factor of activated T-cells 'c'; Nuclear factor of activated T-cells;

抗原和靶标

免疫原:

A synthesized peptide derived from human NFAT2 around the phosphorylation site of Ser294.

基因/基因ID:

研究领域

· Cellular Processes > Cell growth and death > Cellular senescence.   (View pathway)

· Environmental Information Processing > Signal transduction > MAPK signaling pathway.   (View pathway)

· Environmental Information Processing > Signal transduction > cGMP-PKG signaling pathway.   (View pathway)

· Environmental Information Processing > Signal transduction > cAMP signaling pathway.   (View pathway)

· Environmental Information Processing > Signal transduction > Wnt signaling pathway.   (View pathway)

· Human Diseases > Infectious diseases: Viral > Hepatitis B.

· Human Diseases > Infectious diseases: Viral > HTLV-I infection.

· Human Diseases > Immune diseases > Inflammatory bowel disease (IBD).

· Organismal Systems > Development > Osteoclast differentiation.   (View pathway)

· Organismal Systems > Immune system > Natural killer cell mediated cytotoxicity.   (View pathway)

· Organismal Systems > Immune system > Th1 and Th2 cell differentiation.   (View pathway)

· Organismal Systems > Immune system > Th17 cell differentiation.   (View pathway)

· Organismal Systems > Immune system > T cell receptor signaling pathway.   (View pathway)

· Organismal Systems > Immune system > B cell receptor signaling pathway.   (View pathway)

· Organismal Systems > Endocrine system > Oxytocin signaling pathway.

文献引用

1). The role of NPY2R/NFATc1/DYRK1A regulatory axis in sebaceous glands for sebum synthesis. Cellular & Molecular Biology Letters, 2023 (PubMed: 37501148) [IF=9.2]

Application: WB    Species: Rat    Sample:

Fig. 5 The activity of NFATc1 induced by DYRK1A in early puberty. A Western blot show the expression of NFATc1 related phosphokinases and their phosphorylation in VS of PND-25 and PND-35. B Western blot show the phosphorylation of NFATc1 affected by DYRK1A inhibitor. C IF show the localization of NFATc1 and phosphorylated NFATc1 in VS of PND-25, PND25 with DYRK1A inhibitor and PND-35 (magnification ×200). The SG specimens from two individuals were used for western blot. The SG specimens from three individuals were used for immunofluorescence

Application: IF/ICC    Species: Rat    Sample:

Fig. 5 The activity of NFATc1 induced by DYRK1A in early puberty. A Western blot show the expression of NFATc1 related phosphokinases and their phosphorylation in VS of PND-25 and PND-35. B Western blot show the phosphorylation of NFATc1 affected by DYRK1A inhibitor. C IF show the localization of NFATc1 and phosphorylated NFATc1 in VS of PND-25, PND25 with DYRK1A inhibitor and PND-35 (magnification ×200). The SG specimens from two individuals were used for western blot. The SG specimens from three individuals were used for immunofluorescence

2). Cerium Oxide Nanoparticles Regulate Osteoclast Differentiation Bidirectionally by Modulating the Cellular Production of Reactive Oxygen Species. International Journal of Nanomedicine, 2020 (PubMed: 32922006) [IF=6.6]

Application: WB    Species: mouse    Sample: BMMs

Figure 6 CeO2NPs modulate osteoclast-specific gene expression via up- or downregulating the MAPK pathway, NF-κB pathway, and Nfatc1 signaling in a concentrationdependent manner. Notes: (A–F) qPCR analysis of expression of the osteoclast-specific genes Acp5, Ctsk, Dcstamp, Traf6, C-fos, and Calcr relative to Beta-actin in BMMs that were stimulated with RANKL for 4 days in the presence of various concentrations of CeO2NPs (n=3 per group). (G and H) Western blot analysis of the MAPK and NF-κB pathways. BMMs were pretreated with different concentrations of CeO2NPs for 24 h before stimulation with RANKL for 20 min. (I) Western blot of the translocation of dephosphorylated Nfatc1 into the nuclei of BMMs. BMMs were pretreated with different concentrations of CeO2NPs for 24 h before stimulation with RANKL for 40 min. All bar graphs are presented as the mean ± SD. **Indicates p<0.01 compared with the vehicle group (0 mg/L, RANKL+).

限制条款

产品的规格、报价、验证数据请以官网为准,官网链接:www.affbiotech.com | www.affbiotech.cn(简体中文)| www.affbiotech.jp(日本語)

产品的数据信息为Affinity所有,未经授权不得收集Affinity官网数据或资料用于商业用途,对抄袭产品数据的行为我们将保留诉诸法律的权利。

产品相关数据会因产品批次、产品检测情况随时调整,如您已订购该产品,请以订购时随货说明书为准,否则请以官网内容为准,官网内容有改动时恕不另行通知。

Affinity保证所销售产品均经过严格质量检测。如您购买的商品在规定时间内出现问题需要售后时,请您在Affinity官方渠道提交售后申请。

产品仅供科学研究使用。不用于诊断和治疗。 

产品未经授权不得转售。

Affinity Biosciences将不会对在使用我们的产品时可能发生的专利侵权或其他侵权行为负责。Affinity Biosciences, Affinity Biosciences标志和所有其他商标所有权归Affinity Biosciences LTD.